Skip to main content

Triosephosphate isomerase Antibody - BSA Free

Novus Biologicals, part of Bio-Techne | Catalog # NBP2-58150

Novus Biologicals, part of Bio-Techne
Catalog #
Availability
Size / Price
Qty
Loading...
NBP2-58150

Key Product Details

Validated by

Independent Antibodies

Species Reactivity

Validated:

Human

Predicted:

Mouse (97%), Rat (96%). Backed by our 100% Guarantee.

Applications

Immunocytochemistry/ Immunofluorescence, Immunohistochemistry, Immunohistochemistry-Paraffin, Western Blot

Label

Unconjugated

Antibody Source

Polyclonal Rabbit IgG

Format

BSA Free

Concentration

Concentrations vary lot to lot. See vial label for concentration. If unlisted please contact technical services.

Product Specifications

Immunogen

This antibody was developed against a recombinant protein corresponding to the following amino acid sequence: NCYKVTNGAFTGEISPGMIKDCGATWVVLGHSERRHVFGESDELIGQKVAHALAEGLGVIACIGEKLDEREAGITE

Clonality

Polyclonal

Host

Rabbit

Isotype

IgG

Description

Novus Biologicals Rabbit Triosephosphate isomerase Antibody - BSA Free (NBP2-58150) is a polyclonal antibody validated for use in IHC, WB and ICC/IF. All Novus Biologicals antibodies are covered by our 100% guarantee.

Scientific Data Images for Triosephosphate isomerase Antibody - BSA Free

Western Blot: Triosephosphate isomerase Antibody [NBP2-58150]

Western Blot: Triosephosphate isomerase Antibody [NBP2-58150]

Western Blot: Triosephosphate isomerase Antibody [NBP2-58150] - Analysis using Anti-TPI1 antibody NBP2-58150 (A) shows similar pattern to independent antibody NBP2-56753 (B).
Immunocytochemistry/ Immunofluorescence: Triosephosphate isomerase Antibody [NBP2-58150]

Immunocytochemistry/ Immunofluorescence: Triosephosphate isomerase Antibody [NBP2-58150]

Immunocytochemistry/Immunofluorescence: Triosephosphate isomerase Antibody [NBP2-58150] - Staining of human cell line HEK 293 shows localization to nucleoplasm.
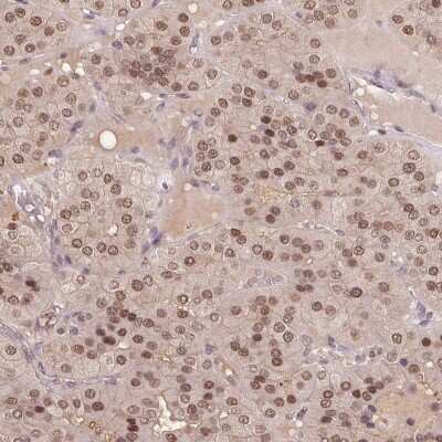
Immunohistochemistry-Paraffin: Triosephosphate isomerase Antibody [NBP2-58150]

Immunohistochemistry-Paraffin: Triosephosphate isomerase Antibody [NBP2-58150]

Immunohistochemistry-Paraffin: Triosephosphate isomerase Antibody [NBP2-58150] - Immunohistochemical staining of human parathyroid gland shows moderate nuclear positivity in glandular cells.

Applications for Triosephosphate isomerase Antibody - BSA Free

Application
Recommended Usage

Immunocytochemistry/ Immunofluorescence

0.25-2 ug/ml

Immunohistochemistry

1:1000 - 1:2500

Immunohistochemistry-Paraffin

1:1000 - 1:2500

Western Blot

0.04-0.4 ug/ml
Application Notes
For IHC-Paraffin, HIER pH 6 retrieval is recommended. Immunocytochemistry/Immunofluorescence Fixation Permeabilization: Use PFA/Triton X-100.

Formulation, Preparation, and Storage

Purification

Affinity purified

Formulation

PBS (pH 7.2) and 40% Glycerol

Format

BSA Free

Preservative

0.02% Sodium Azide

Concentration

Concentrations vary lot to lot. See vial label for concentration. If unlisted please contact technical services.

Shipping

The product is shipped with polar packs. Upon receipt, store it immediately at the temperature recommended below.

Stability & Storage

Store at 4C short term. Aliquot and store at -20C long term. Avoid freeze-thaw cycles.

Background: Triosephosphate isomerase

Triosephosphate isomerase (TIM) catalyses the reversible interconversion of G3P and DHAP. Only G3P can be used in glycolysis, therefore TIM is essential for energy production, allowing two molecules of G3P to be produced for every glucose molecule, thereby doubling the energy yield. Defects in TPI1 are the cause of triosephosphate isomerase deficiency (TPI deficiency) . TPI deficiency is an autosomal recessive disorder. It is the most severe clinical disorder of glycolysis. It is associated with neonatal jaundice, chronic hemolytic anemia, progressive neuromuscular dysfunction, cardiomyopathy and increased susceptibility to infection.

Alternate Names

EC 5.3.1.1, MGC88108, TIM, TPI, triosephosphate isomerase, Triose-phosphate isomerase, triosephosphate isomerase 1

Gene Symbol

TPI1

Additional Triosephosphate isomerase Products

Product Documents for Triosephosphate isomerase Antibody - BSA Free

Certificate of Analysis

To download a Certificate of Analysis, please enter a lot number in the search box below.

Product Specific Notices for Triosephosphate isomerase Antibody - BSA Free

This product is for research use only and is not approved for use in humans or in clinical diagnosis. Primary Antibodies are guaranteed for 1 year from date of receipt.

Loading...
Loading...
Loading...
Loading...