Skip to main content

Triosephosphate isomerase Antibody

Novus Biologicals, part of Bio-Techne | Catalog # NBP1-31470

Novus Biologicals, part of Bio-Techne
Catalog #
Availability
Size / Price
Qty
Loading...
NBP1-31470

Key Product Details

Validated by

Knockout/Knockdown

Species Reactivity

Validated:

Human, Mouse, Rat, Bovine

Cited:

Bovine

Predicted:

Canine (100%), Chimpanzee (100%). Backed by our 100% Guarantee.

Applications

Validated:

Immunohistochemistry, Immunohistochemistry-Paraffin, Western Blot, ELISA, Flow Cytometry, Immunocytochemistry/ Immunofluorescence

Cited:

Western Blot

Label

Unconjugated

Antibody Source

Polyclonal Rabbit IgG

Concentration

Concentrations vary lot to lot. See vial label for concentration. If unlisted please contact technical services.

Product Specifications

Immunogen

Carrier-protein conjugated synthetic peptide encompassing a sequence within the C-terminus region of human Triosephosphate isomerase. The exact sequence is proprietary.

Reactivity Notes

Bovine reactivity reported in scientific literature (PMID: 29892502).

Clonality

Polyclonal

Host

Rabbit

Isotype

IgG

Theoretical MW

31 kDa.
Disclaimer note: The observed molecular weight of the protein may vary from the listed predicted molecular weight due to post translational modifications, post translation cleavages, relative charges, and other experimental factors.

Description

Novus Biologicals Rabbit Triosephosphate isomerase Antibody (NBP1-31470) is a polyclonal antibody validated for use in IHC, WB, ELISA, Flow and ICC/IF. Anti-Triosephosphate isomerase Antibody: Cited in 9 publications. All Novus Biologicals antibodies are covered by our 100% guarantee.

Scientific Data Images for Triosephosphate isomerase Antibody

Western Blot: Triosephosphate isomerase Antibody [NBP1-31470]

Western Blot: Triosephosphate isomerase Antibody [NBP1-31470]

Triosephosphate-isomerase-Antibody-Western-Blot-NBP1-31470-img0022.jpg
Immunocytochemistry/ Immunofluorescence: Triosephosphate isomerase Antibody [NBP1-31470]

Immunocytochemistry/ Immunofluorescence: Triosephosphate isomerase Antibody [NBP1-31470]

Immunocytochemistry/Immunofluorescence: Triosephosphate isomerase Antibody [NBP1-31470] - HeLa cells were fixed in 4% paraformaldehyde at RT for 15 min. Green: Triosephosphate isomerase stained by Triosephosphate isomerase antibody [C2C3], C-term diluted at 1:500. Blue: Hoechst 33342 staining. Scale bar= 10um.
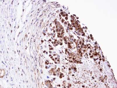
Immunohistochemistry-Paraffin: Triosephosphate isomerase Antibody [NBP1-31470]

Immunohistochemistry-Paraffin: Triosephosphate isomerase Antibody [NBP1-31470]

Immunohistochemistry-Paraffin: Triosephosphate isomerase Antibody [NBP1-31470] - Paraffin-embedded SNU-16 xenograft, using antibody at 1:100 dilution.

Applications for Triosephosphate isomerase Antibody

Application
Recommended Usage

ELISA

Assay dependent

Flow Cytometry

Reported in scientific literature (PMID: 22262862)

Immunocytochemistry/ Immunofluorescence

1:100-1:1000

Immunohistochemistry

1:100-1:1000

Immunohistochemistry-Paraffin

1:100-1:1000

Western Blot

1:500-1:3000

Reviewed Applications

Read 1 review rated 5 using NBP1-31470 in the following applications:

Formulation, Preparation, and Storage

Purification

Antigen Affinity-purified

Formulation

PBS, 1% BSA, 20% Glycerol

Preservative

0.025% Proclin 300

Concentration

Concentrations vary lot to lot. See vial label for concentration. If unlisted please contact technical services.

Shipping

The product is shipped with polar packs. Upon receipt, store it immediately at the temperature recommended below.

Stability & Storage

Aliquot and store at -20C or -80C. Avoid freeze-thaw cycles.

Background: Triosephosphate isomerase

Triosephosphate isomerase (TIM) catalyses the reversible interconversion of G3P and DHAP. Only G3P can be used in glycolysis, therefore TIM is essential for energy production, allowing two molecules of G3P to be produced for every glucose molecule, thereby doubling the energy yield. Defects in TPI1 are the cause of triosephosphate isomerase deficiency (TPI deficiency) . TPI deficiency is an autosomal recessive disorder. It is the most severe clinical disorder of glycolysis. It is associated with neonatal jaundice, chronic hemolytic anemia, progressive neuromuscular dysfunction, cardiomyopathy and increased susceptibility to infection.

Alternate Names

EC 5.3.1.1, MGC88108, TIM, TPI, triosephosphate isomerase, Triose-phosphate isomerase, triosephosphate isomerase 1

Entrez Gene IDs

7167 (Human)

Gene Symbol

TPI1

UniProt

Additional Triosephosphate isomerase Products

Product Documents for Triosephosphate isomerase Antibody

Certificate of Analysis

To download a Certificate of Analysis, please enter a lot number in the search box below.

Product Specific Notices for Triosephosphate isomerase Antibody

This product is for research use only and is not approved for use in humans or in clinical diagnosis. Primary Antibodies are guaranteed for 1 year from date of receipt.

Loading...
Loading...
Loading...
Loading...
Loading...