Skip to main content

Triosephosphate isomerase Antibody (3711) - Azide and BSA Free

Novus Biologicals, part of Bio-Techne | Catalog # NBP2-43825

Novus Biologicals, part of Bio-Techne
Catalog #
Availability
Size / Price
Qty
Loading...
NBP2-43825

Key Product Details

Validated by

Knockout/Knockdown

Species Reactivity

Human, Mouse, Rat

Applications

Immunohistochemistry, Immunohistochemistry-Paraffin, Western Blot

Label

Unconjugated

Antibody Source

Monoclonal Mouse IgG2A Clone # 3711

Format

Azide and BSA Free

Concentration

Concentrations vary lot to lot. See vial label for concentration. If unlisted please contact technical services.

Product Specifications

Immunogen

Carrier-protein conjugated synthetic peptide encompassing a sequence within the C-terminus region of human Triosephosphate isomerase. The exact sequence is proprietary.

Clonality

Monoclonal

Host

Mouse

Isotype

IgG2A

Theoretical MW

31 kDa.
Disclaimer note: The observed molecular weight of the protein may vary from the listed predicted molecular weight due to post translational modifications, post translation cleavages, relative charges, and other experimental factors.

Description

Novus Biologicals Mouse Triosephosphate isomerase Antibody (3711) - Azide and BSA Free (NBP2-43825) is a monoclonal antibody validated for use in IHC and WB. All Novus Biologicals antibodies are covered by our 100% guarantee.

Scientific Data Images for Triosephosphate isomerase Antibody (3711) - Azide and BSA Free

Western Blot: Triosephosphate isomerase Antibody (3711) [NBP2-43825]

Western Blot: Triosephosphate isomerase Antibody (3711) [NBP2-43825]

Western Blot: Triosephosphate isomerase Antibody (3711) [NBP2-43825] - Triosephosphate isomerase antibody (3711) detects Triosephosphate isomerase protein by western blot analysis. A. 30 ug Neuro2A whole cell extract. B. 30 ug C8D30 whole cell extract. C. 30 ug NIH-3T3 whole cell extract. D. 30 ug Raw264.7 whole cell extract. E. 30 ug C2C12 whole cell extract. 12 % SDS-PAGE. Triosephosphate isomerase antibody (3711) dilution: 1:1000
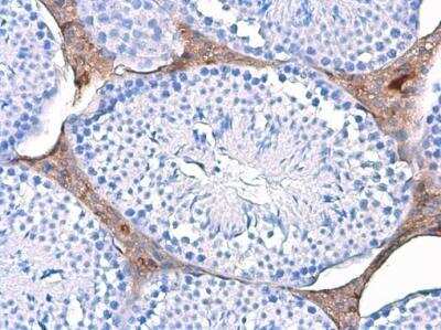
Immunohistochemistry-Paraffin: Triosephosphate isomerase Antibody (3711) [NBP2-43825]

Immunohistochemistry-Paraffin: Triosephosphate isomerase Antibody (3711) [NBP2-43825]

Immunohistochemistry-Paraffin: Triosephosphate isomerase Antibody (3711) [NBP2-43825] - Triosephosphate isomerase antibody (3711) detects Triosephosphate isomerase protein at cytoplasm by immunohistochemical analysis. Sample: Paraffin-embedded mouse testis. Triosephosphate isomerase stained by Triosephosphate isomerase antibody (3711) diluted at 1:100.
Western Blot: Triosephosphate isomerase Antibody (3711) [NBP2-43825]

Western Blot: Triosephosphate isomerase Antibody (3711) [NBP2-43825]

Western Blot: Triosephosphate isomerase Antibody (3711) [NBP2-43825] - Analysis of A. 30 ug 293T whole cell extract B. 30 ug A431 whole cell extract C. 30 ug HeLa whole cell extract D. 30 ug HepG2 whole cell extract 12 % SDS-PAGE Triosephosphate isomerase antibody [3711] dilution: 1:1000

Applications for Triosephosphate isomerase Antibody (3711) - Azide and BSA Free

Application
Recommended Usage

Immunohistochemistry

1:100-1:1000

Immunohistochemistry-Paraffin

1:100-1:1000

Western Blot

1:500-1:3000

Formulation, Preparation, and Storage

Purification

Protein G purified

Formulation

PBS

Format

Azide and BSA Free

Preservative

No Preservative

Concentration

Concentrations vary lot to lot. See vial label for concentration. If unlisted please contact technical services.

Shipping

The product is shipped with polar packs. Upon receipt, store it immediately at the temperature recommended below.

Stability & Storage

Aliquot and store at -20C or -80C. Avoid freeze-thaw cycles.

Background: Triosephosphate isomerase

Triosephosphate isomerase (TIM) catalyses the reversible interconversion of G3P and DHAP. Only G3P can be used in glycolysis, therefore TIM is essential for energy production, allowing two molecules of G3P to be produced for every glucose molecule, thereby doubling the energy yield. Defects in TPI1 are the cause of triosephosphate isomerase deficiency (TPI deficiency) . TPI deficiency is an autosomal recessive disorder. It is the most severe clinical disorder of glycolysis. It is associated with neonatal jaundice, chronic hemolytic anemia, progressive neuromuscular dysfunction, cardiomyopathy and increased susceptibility to infection.

Alternate Names

EC 5.3.1.1, MGC88108, TIM, TPI, triosephosphate isomerase, Triose-phosphate isomerase, triosephosphate isomerase 1

Gene Symbol

TPI1

Additional Triosephosphate isomerase Products

Product Documents for Triosephosphate isomerase Antibody (3711) - Azide and BSA Free

Certificate of Analysis

To download a Certificate of Analysis, please enter a lot number in the search box below.

Product Specific Notices for Triosephosphate isomerase Antibody (3711) - Azide and BSA Free

This product is for research use only and is not approved for use in humans or in clinical diagnosis. Primary Antibodies are guaranteed for 1 year from date of receipt.

Loading...
Loading...
Loading...
Loading...