Skip to main content

TRIM5 alpha Antibody - BSA Free

Novus Biologicals, part of Bio-Techne | Catalog # NBP1-77207

Novus Biologicals, part of Bio-Techne

Key Product Details

Species Reactivity

Human

Applications

Immunohistochemistry, Immunohistochemistry-Paraffin, Western Blot, ELISA

Label

Unconjugated

Antibody Source

Polyclonal Rabbit IgG

Format

BSA Free

Concentration

1 mg/ml

Product Specifications

Immunogen

Antibody was raised against a synthetic peptide corresponding to 19 amino acids near the center of rhesus monkey TRIM5 alpha. The immunogen is located within amino acids 390 - 440 of TRIM5 alpha. Amino Acid Squence: GLQEGVKYSVFQDG

Specificity

TRIM5 alpha antibody will not cross-react with other isoforms of TRIM5.

Clonality

Polyclonal

Host

Rabbit

Isotype

IgG

Theoretical MW

54 kDa.
Disclaimer note: The observed molecular weight of the protein may vary from the listed predicted molecular weight due to post translational modifications, post translation cleavages, relative charges, and other experimental factors.

Scientific Data Images for TRIM5 alpha Antibody - BSA Free

Western Blot: TRIM5 alpha AntibodyBSA Free [NBP1-77207]

Western Blot: TRIM5 alpha AntibodyBSA Free [NBP1-77207]

Western Blot: TRIM5 alpha Antibody [NBP1-77207] - Western blot analysis of TRIM5 alpha expression in (A) human stomach (B) thymus, and (C) uterus tissue lysate with TRIM5 alpha antibody at 2 ug/ml.
Western Blot: TRIM5 alpha AntibodyBSA Free [NBP1-77207]

Western Blot: TRIM5 alpha AntibodyBSA Free [NBP1-77207]

Western Blot: TRIM5 alpha Antibody [NBP1-77207] - Human stomach (A), thymus (B), and uterus (C) cell lysate with TRIM5 alpha antibody at 2 ug /ml.
TRIM5 alpha Antibody - BSA Free

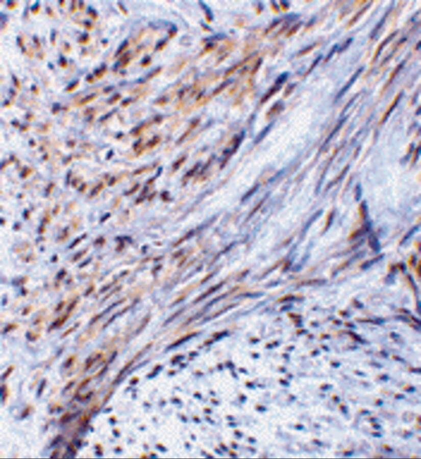
Immunohistochemistry: TRIM5 alpha Antibody - BSA Free [NBP1-77207] -

Immunohistochemistry: TRIM5 alpha Antibody - BSA Free [NBP1-77207] - Immunohistochemistry of TRIM5 alpha in human uterus tissue with TRIM5 alpha antibody at 2 ug/mL.

Applications for TRIM5 alpha Antibody - BSA Free

Application
Recommended Usage

ELISA

1:100-1:2000

Immunohistochemistry

2 ug/ml

Immunohistochemistry-Paraffin

2 ug/ml

Western Blot

2 ug/ml

Formulation, Preparation, and Storage

Purification

Peptide affinity purified

Formulation

PBS

Format

BSA Free

Preservative

0.02% Sodium Azide

Concentration

1 mg/ml

Shipping

The product is shipped with polar packs. Upon receipt, store it immediately at the temperature recommended below.

Stability & Storage

Store at 4C short term. Aliquot and store at -20C long term. Avoid freeze-thaw cycles.

Background: TRIM5 alpha

TRIM5 is a member of a broad family of otherwise unrelated proteins defined by the presence of a tripartite motif containing a RING domain, a B-box type 1, and a B-box type 2, followed by a coiled-coil region. TRIM5 has six alternately spliced isoforms, the longest of which is the alpha variant which also contains a carboxy-terminal B30.2 (SPRY) domain. Expression of TRIM5alpha variants from humans, rhesus monkeys, and African green monkeys enabled resistance to infection by various retroviruses including HIV-1, albeit at differing efficiencies. All TRIM5alpha variants could inhibit at least two different retroviruses, but not from those viruses isolated from the same species, suggesting that TRIM5alpha acts as a natural barrier to cross-species retrovirus transmission.

Alternate Names

EC 6.3.2, EC 6.3.2.-, RING finger protein 88, RNF88tripartite motif protein TRIM, TRIM5alpha, tripartite motif containing 5, tripartite motif protein TRIM5, tripartite motif-containing 5, tripartite motif-containing protein 5

Gene Symbol

TRIM5

Additional TRIM5 alpha Products

Product Documents for TRIM5 alpha Antibody - BSA Free

Certificate of Analysis

To download a Certificate of Analysis, please enter a lot number in the search box below.

Product Specific Notices for TRIM5 alpha Antibody - BSA Free

This product is for research use only and is not approved for use in humans or in clinical diagnosis. Primary Antibodies are guaranteed for 1 year from date of receipt.

Loading...
Loading...
Loading...
Loading...