Skip to main content

TRIM26 Antibody

Novus Biologicals, part of Bio-Techne | Catalog # NBP1-83910

Novus Biologicals, part of Bio-Techne
Catalog #
Availability
Size / Price
Qty
Loading...
NBP1-83910-25ul
NBP1-83910

Key Product Details

Species Reactivity

Validated:

Human

Cited:

Human, Mouse

Applications

Validated:

Immunohistochemistry, Immunohistochemistry-Paraffin, Western Blot, Knockdown Validated

Cited:

Immunocytochemistry/ Immunofluorescence, IF/IHC

Label

Unconjugated

Antibody Source

Polyclonal Rabbit IgG

Concentration

Concentrations vary lot to lot. See vial label for concentration. If unlisted please contact technical services.

Product Specifications

Immunogen

This antibody was developed against Recombinant Protein corresponding to amino acids: FAQFVQEATYKEVSKMVKDALTAIEKPTGDEQSSGCLENQLPAFLEELCHEKEILEKYGHSDCCSQSEEGRHNCFLAHKKPTPASIPLFQVPEPVTSCEAYEEDRETFMNKFIYEIARRHPFLYAPTILLWAAR

Reactivity Notes

Mouse reactivity reported in scientific literature (PMID: 25390333).

Clonality

Polyclonal

Host

Rabbit

Isotype

IgG

Scientific Data Images for TRIM26 Antibody

TRIM26 Antibody Western Blot: TRIM26 Antibody [NBP1-83910]

Western Blot: TRIM26 Antibody [NBP1-83910]

Analysis in control (vector only transfected HEK293T lysate) and AFP over-expression lysate (Co-expressed with a C-terminal myc-DDK tag (~3.1 kDa) in mammalian HEK293T cells).
TRIM26 Antibody Western Blot: BTN1A1/Butyrophilin Antibody [NBP1-83910]

Western Blot: BTN1A1/Butyrophilin Antibody [NBP1-83910]

Analysis in Hep-G2 cells transfected with control siRNA, target specific siRNA probe #1 and #2, using Anti-AFP antibody. Remaining relative intensity is presented. Loading control: Anti-GAPDH.
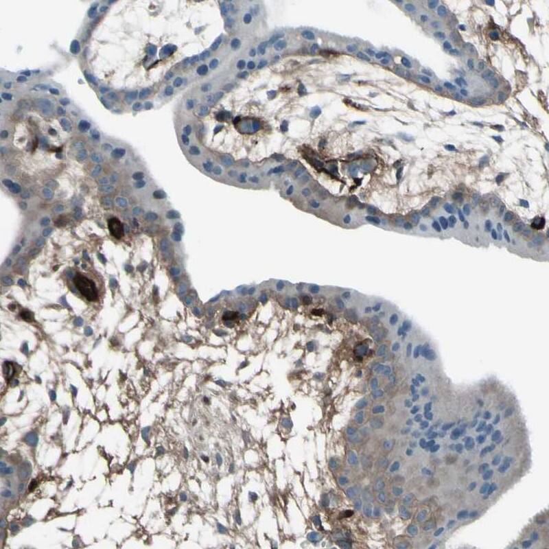
TRIM26 Antibody Immunohistochemistry-Paraffin: TRIM26 Antibody [NBP1-83910]

Immunohistochemistry-Paraffin: TRIM26 Antibody [NBP1-83910]

Staining of human placenta shows extra cellular positivity.

Applications for TRIM26 Antibody

Application
Recommended Usage

Immunohistochemistry

1:200 - 1:500

Immunohistochemistry-Paraffin

1:200 - 1:500

Western Blot

0.04-0.4 ug/ml
Application Notes
For IHC-Paraffin, HIER pH 6 retrieval is recommended.

Formulation, Preparation, and Storage

Purification

Affinity purified

Formulation

PBS (pH 7.2) and 40% Glycerol

Preservative

0.02% Sodium Azide

Concentration

Concentrations vary lot to lot. See vial label for concentration. If unlisted please contact technical services.

Shipping

The product is shipped with polar packs. Upon receipt, store it immediately at the temperature recommended below.

Stability & Storage

Store at 4C short term. Aliquot and store at -20C long term. Avoid freeze-thaw cycles.

Background: TRIM26

TRIM26 is encoded by this gene is a member of the tripartite motif (TRIM) family. The TRIM motif includes three zinc-binding domains, a RING, a B-box type 1 and a B-box type 2, and a coiled-coil region. The protein localizes to cytoplasmic bodies. Although the function of the protein is unknown, the RING domain suggests that the protein may have DNA-binding activity. The gene localizes to the major histocompatibility complex (MHC) class I region on chromosome 6. [provided by RefSeq]

Alternate Names

Acid finger protein, AFP, RNF95RING finger protein 95, tripartite motif containing 26, tripartite motif-containing protein 26, widely expressed acid zinc finger protein, Zinc finger protein 173, ZNF173tripartite motif-containing 26

Gene Symbol

TRIM26

Additional TRIM26 Products

Product Documents for TRIM26 Antibody

Certificate of Analysis

To download a Certificate of Analysis, please enter a lot number in the search box below.

Product Specific Notices for TRIM26 Antibody

This product is for research use only and is not approved for use in humans or in clinical diagnosis. Primary Antibodies are guaranteed for 1 year from date of receipt.

Loading...
Loading...
Loading...
Loading...