Skip to main content

TRIM13 Antibody - BSA Free

Novus Biologicals, part of Bio-Techne | Catalog # NBP1-85016

Novus Biologicals, part of Bio-Techne
Catalog #
Availability
Size / Price
Qty
Loading...
NBP1-85016
NBP1-85016-25ul

Key Product Details

Validated by

Orthogonal Validation

Species Reactivity

Validated:

Human

Predicted:

Rat (97%). Backed by our 100% Guarantee.

Applications

Immunohistochemistry, Immunohistochemistry-Paraffin, Western Blot

Label

Unconjugated

Antibody Source

Polyclonal Rabbit IgG

Format

BSA Free

Concentration

Concentrations vary lot to lot. See vial label for concentration. If unlisted please contact technical services.

Product Specifications

Immunogen

This antibody was developed against Recombinant Protein corresponding to amino acids: LSRLDTLETSKRKSLQLLTKDSDKVKEFFEKLQHTLDQKKNEILSDFETMKLAVMQAYDPEINKLNTILQEQRMAFNIAEAFKDVSEPIVFLQQMQEFREKIKVIKETPLPPSNLPASPLMKNFDTSQWEDIKLVDVDKLSLP

Clonality

Polyclonal

Host

Rabbit

Isotype

IgG

Scientific Data Images for TRIM13 Antibody - BSA Free

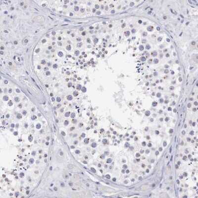
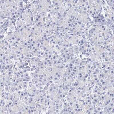
Immunohistochemistry-Paraffin: TRIM13 Antibody [NBP1-85016]

Immunohistochemistry-Paraffin: TRIM13 Antibody [NBP1-85016]

Immunohistochemistry-Paraffin: TRIM13 Antibody [NBP1-85016] - Analysis in human testis and pancreas tissues. Corresponding TRIM13 RNA-seq data are presented for the same tissues.
Western Blot: TRIM13 Antibody [NBP1-85016]

Western Blot: TRIM13 Antibody [NBP1-85016]

Western Blot: TRIM13 Antibody [NBP1-85016] - Analysis in control (vector only transfected HEK293T lysate) and TRIM13 over-expression lysate (Co-expressed with a C-terminal myc-DDK tag (3.1 kDa) in mammalian HEK293T cells).
Immunohistochemistry-Paraffin: TRIM13 Antibody [NBP1-85016]

Immunohistochemistry-Paraffin: TRIM13 Antibody [NBP1-85016]

Immunohistochemistry-Paraffin: TRIM13 Antibody [NBP1-85016] - Staining of human testis shows moderate dot-like cytoplasmic positivity in cells in seminiferous ducts.

Applications for TRIM13 Antibody - BSA Free

Application
Recommended Usage

Immunohistochemistry

1:200 - 1:500

Immunohistochemistry-Paraffin

1:200-1:500

Western Blot

0.04-0.4 ug/ml
Application Notes
For IHC-Paraffin, HIER pH 6 retrieval is recommended.

Formulation, Preparation, and Storage

Purification

Affinity purified

Formulation

PBS (pH 7.2) and 40% Glycerol

Format

BSA Free

Preservative

0.02% Sodium Azide

Concentration

Concentrations vary lot to lot. See vial label for concentration. If unlisted please contact technical services.

Shipping

The product is shipped with polar packs. Upon receipt, store it immediately at the temperature recommended below.

Stability & Storage

Store at 4C short term. Aliquot and store at -20C long term. Avoid freeze-thaw cycles.

Background: TRIM13

Ret finger protein 2 This gene encodes a member of the tripartite motif (TRIM) family. The TRIM motif includes three zinc-binding domains, a RING, a B-box type 1 and a B-box type 2, and a coiled-coil region. This gene is located on chromosome 6. Multiple alternatively spliced transcript variants have been found for this gene. Mouse polyclonal antibody raised against a partial recombinant RFP2.

Alternate Names

B-cell chronic lymphocytic leukemia tumor suppressor Leu5, CLL-associated RING finger, E3 ubiquitin-protein ligase TRIM13, EC 6.3.2.-, LEU5CAR, Leukemia-associated protein 5, Putative tumor suppressor RFP2, Ret finger protein 2RING finger protein 77, RFP2DLEU5, RNF77Leu5, tripartite motif containing 13, tripartite motif protein 13, tripartite motif-containing 13, Tripartite motif-containing protein 13

Gene Symbol

TRIM13

Additional TRIM13 Products

Product Documents for TRIM13 Antibody - BSA Free

Certificate of Analysis

To download a Certificate of Analysis, please enter a lot number in the search box below.

Product Specific Notices for TRIM13 Antibody - BSA Free

This product is for research use only and is not approved for use in humans or in clinical diagnosis. Primary Antibodies are guaranteed for 1 year from date of receipt.

Loading...
Loading...
Loading...
Loading...