Skip to main content

TREX1 Antibody - BSA Free

Novus Biologicals, part of Bio-Techne | Catalog # NBP1-89202

Novus Biologicals, part of Bio-Techne
Catalog #
Availability
Size / Price
Qty
Loading...
NBP1-89202
NBP1-89202-25ul

Key Product Details

Species Reactivity

Validated:

Human

Cited:

Human

Applications

Validated:

Immunohistochemistry, Immunohistochemistry-Paraffin, Western Blot

Cited:

Western Blot

Label

Unconjugated

Antibody Source

Polyclonal Rabbit IgG

Format

BSA Free

Concentration

Concentrations vary lot to lot. See vial label for concentration. If unlisted please contact technical services.

Product Specifications

Immunogen

This antibody was developed against Recombinant Protein corresponding to amino acids: PPPTVPPPPRVVDKLSLCVAPGKACSPAASEITGLSTAVLAAHGRQCFDDNLANLLLAFLRRQPQPWCLVAHNGDRYD

Reactivity Notes

Mouse (81%).

Clonality

Polyclonal

Host

Rabbit

Isotype

IgG

Description

Novus Biologicals Rabbit TREX1 Antibody - BSA Free (NBP1-89202) is a polyclonal antibody validated for use in IHC and WB. Anti-TREX1 Antibody: Cited in 1 publication. All Novus Biologicals antibodies are covered by our 100% guarantee.

Scientific Data Images for TREX1 Antibody - BSA Free

Immunohistochemistry-Paraffin: TREX1 Antibody [NBP1-89202]

Immunohistochemistry-Paraffin: TREX1 Antibody [NBP1-89202]

Immunohistochemistry-Paraffin: TREX1 Antibody [NBP1-89202] - Staining of human colon shows strong nuclear positivity in glandular cells.
Immunohistochemistry-Paraffin: TREX1 Antibody [NBP1-89202]

Immunohistochemistry-Paraffin: TREX1 Antibody [NBP1-89202]

Immunohistochemistry-Paraffin: TREX1 Antibody [NBP1-89202] - Staining of human testis shows strong nuclear positivity in cells in seminiferous ducts.
Immunohistochemistry-Paraffin: TREX1 Antibody [NBP1-89202]

Immunohistochemistry-Paraffin: TREX1 Antibody [NBP1-89202]

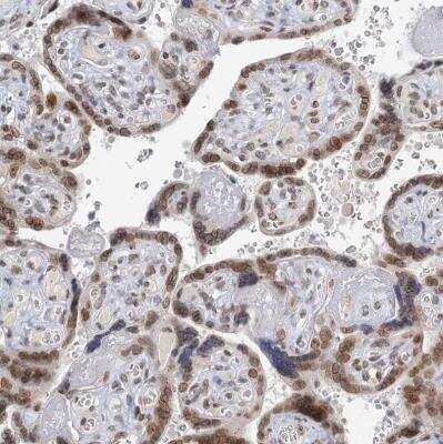
Immunohistochemistry-Paraffin: TREX1 Antibody [NBP1-89202] - Staining of human placenta shows strong nuclear positivity in trophoblastic cells.

Applications for TREX1 Antibody - BSA Free

Application
Recommended Usage

Immunohistochemistry

1:50 - 1:200

Immunohistochemistry-Paraffin

1:50 - 1:200

Western Blot

0.04-0.4 ug/ml
Application Notes
For IHC-Paraffin, HIER pH 6 retrieval is recommended. Use in WB reported in scientific literature (PMID 28325644).

Formulation, Preparation, and Storage

Purification

Affinity purified

Formulation

PBS (pH 7.2) and 40% Glycerol

Format

BSA Free

Preservative

0.02% Sodium Azide

Concentration

Concentrations vary lot to lot. See vial label for concentration. If unlisted please contact technical services.

Shipping

The product is shipped with polar packs. Upon receipt, store it immediately at the temperature recommended below.

Stability & Storage

Store at 4C short term. Aliquot and store at -20C long term. Avoid freeze-thaw cycles.

Background: TREX1

TREX1 encodes the major 3'->5' DNA exonuclease in human cells. The protein is a non-processive exonuclease that may serve a proofreading function for a human DNA polymerase. It is also a component of the SET complex, and acts to rapidly degrade 3' ends of nicked DNA during granzyme A-mediated cell death. Mutations in this gene result in Aicardi-Goutieres syndrome, chilblain lupus, and Cree encephalitis. Multiple transcript variants encoding different isoforms have been found for this gene. [provided by RefSeq]

Alternate Names

3'-5' exonuclease TREX1, AGS1, Aicardi-Goutieres syndrome 1, CRV, DKFZp434J0310, DNase III, DRN3, EC 3.1.11.2, HERNS, three prime repair exonuclease 1,3' repair exonuclease 1

Gene Symbol

TREX1

Additional TREX1 Products

Product Documents for TREX1 Antibody - BSA Free

Certificate of Analysis

To download a Certificate of Analysis, please enter a lot number in the search box below.

Product Specific Notices for TREX1 Antibody - BSA Free

This product is for research use only and is not approved for use in humans or in clinical diagnosis. Primary Antibodies are guaranteed for 1 year from date of receipt.

Loading...
Loading...
Loading...
Loading...
Loading...