Skip to main content

TREML1/TLT-1 Antibody - BSA Free

Novus Biologicals, part of Bio-Techne | Catalog # NBP1-84234

Novus Biologicals, part of Bio-Techne
Catalog #
Availability
Size / Price
Qty
Loading...
NBP1-84234
NBP1-84234-25ul

Key Product Details

Validated by

Orthogonal Validation, Independent Antibodies

Species Reactivity

Human

Applications

Immunohistochemistry, Immunohistochemistry-Paraffin, Western Blot

Label

Unconjugated

Antibody Source

Polyclonal Rabbit IgG

Format

BSA Free

Concentration

Concentrations vary lot to lot. See vial label for concentration. If unlisted please contact technical services.

Product Specifications

Immunogen

This antibody was developed against Recombinant Protein corresponding to amino acids: APVGSSILVQCHYRLQDVKAQKVWCRFLPEGCQPLVSSAVDRRAPAGRRTFLTDLGGGLLQVEMVTLQEEDAGEYGCMVDGARGPQILHRVSLNILPPEEEEETHKIGSLAENAFSDPAGSANPLEPSQD

Clonality

Polyclonal

Host

Rabbit

Isotype

IgG

Description

Novus Biologicals Rabbit TREML1/TLT-1 Antibody - BSA Free (NBP1-84234) is a polyclonal antibody validated for use in IHC and WB. All Novus Biologicals antibodies are covered by our 100% guarantee.

Scientific Data Images for TREML1/TLT-1 Antibody - BSA Free

Immunohistochemistry-Paraffin: TREML1/TLT-1 Antibody [NBP1-84234]

Immunohistochemistry-Paraffin: TREML1/TLT-1 Antibody [NBP1-84234]

Immunohistochemistry-Paraffin: TREML1/TLT-1 Antibody [NBP1-84234] - Staining in human bone marrow and colon tissues using anti-TREML1 antibody. Corresponding TREML1 RNA-seq data are presented for the same tissues.
Immunohistochemistry-Paraffin: TREML1/TLT-1 Antibody [NBP1-84234]

Immunohistochemistry-Paraffin: TREML1/TLT-1 Antibody [NBP1-84234]

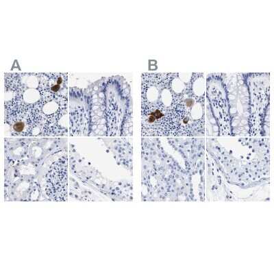
Immunohistochemistry-Paraffin: TREML1/TLT-1 Antibody [NBP1-84234] - Staining of human bone marrow, colon, kidney and testis using Anti-TREML1 antibody NBP1-84234 (A) shows similar protein distribution across tissues to independent antibody NBP1-84235 (B).
Immunohistochemistry-Paraffin: TREML1/TLT-1 Antibody [NBP1-84234]

Immunohistochemistry-Paraffin: TREML1/TLT-1 Antibody [NBP1-84234]

Immunohistochemistry-Paraffin: TREML1/TLT-1 Antibody [NBP1-84234] - Staining of human testis.

Applications for TREML1/TLT-1 Antibody - BSA Free

Application
Recommended Usage

Immunohistochemistry

1:200 - 1:500

Immunohistochemistry-Paraffin

1:200 - 1:500

Western Blot

0.04-0.4 ug/ml
Application Notes
For IHC-Paraffin, HIER pH 6 retrieval is recommended.

Formulation, Preparation, and Storage

Purification

Immunogen affinity purified

Formulation

PBS (pH 7.2) and 40% Glycerol

Format

BSA Free

Preservative

0.02% Sodium Azide

Concentration

Concentrations vary lot to lot. See vial label for concentration. If unlisted please contact technical services.

Shipping

The product is shipped with polar packs. Upon receipt, store it immediately at the temperature recommended below.

Stability & Storage

Store at 4C short term. Aliquot and store at -20C long term. Avoid freeze-thaw cycles.

Background: TREML1/TLT-1

TREML1 is located in a gene cluster on chromosome 6 with the single Ig variable (IgV) domain activating receptors TREM1(MIM 605085) and TREM2 (MIM 605086), but it has distinct structural and functional properties. TREML1 enhances calciumsignaling in an SHP2 (PTPN11; MIM 176876)-dependent manner (Allcock et al., 2003 (PubMed 12645956); Barrow et al.,2004 (PubMed 15128762)).(supplied by OMIM)

Long Name

Triggering Receptor Expressed on Myeloid Cells-like 1

Alternate Names

TLT-1, TLT1

Gene Symbol

TREML1

Additional TREML1/TLT-1 Products

Product Documents for TREML1/TLT-1 Antibody - BSA Free

Certificate of Analysis

To download a Certificate of Analysis, please enter a lot number in the search box below.

Product Specific Notices for TREML1/TLT-1 Antibody - BSA Free

This product is for research use only and is not approved for use in humans or in clinical diagnosis. Primary Antibodies are guaranteed for 1 year from date of receipt.

Loading...
Loading...
Loading...
Loading...