Skip to main content

TRAPPC2L Antibody

Novus Biologicals, part of Bio-Techne | Catalog # NBP3-48547

Novus Biologicals, part of Bio-Techne
Catalog #
Availability
Size / Price
Qty
Loading...
NBP3-48547

Key Product Details

Species Reactivity

Human, Mouse

Applications

Immunohistochemistry, Immunohistochemistry-Paraffin, Western Blot

Label

Unconjugated

Antibody Source

Polyclonal Rabbit IgG

Concentration

Concentrations vary lot to lot. See vial label for concentration. If unlisted please contact technical services.

Product Specifications

Immunogen

Recombinant protein encompassing a sequence within the center region of human TRAPPC2L. The exact sequence is proprietary.

Clonality

Polyclonal

Host

Rabbit

Isotype

IgG

Description

Novus Biologicals Rabbit TRAPPC2L Antibody (NBP3-48547) is a polyclonal antibody validated for use in IHC and WB. All Novus Biologicals antibodies are covered by our 100% guarantee.

Scientific Data Images for TRAPPC2L Antibody

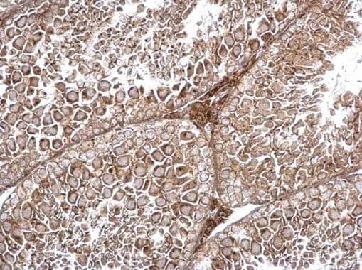
TRAPPC2L Antibody

Immunohistochemistry: TRAPPC2L Antibody [NBP3-48547] -

TRAPPC2L antibody detects TRAPPC2L protein at cytosol on mouse testis by immunohistochemical analysis.
Sample: Paraffin-embedded mouse testis.
TRAPPC2L antibody (NBP3-48547) dilution: 1:500.

Antigen Retrieval: (EDTA based, pH 8.0) buffer, 15min
TRAPPC2L Antibody

Immunohistochemistry: TRAPPC2L Antibody [NBP3-48547] -

TRAPPC2L antibody detects TRAPPC2L protein at cytosol on mouse hind brain by immunohistochemical analysis.
Sample: Paraffin-embedded mouse hind brain.
TRAPPC2L antibody (NBP3-48547) dilution: 1:500.


Antigen Retrieval: (EDTA based, pH 8.0) buffer, 15min
TRAPPC2L Antibody

Western Blot: TRAPPC2L Antibody [NBP3-48547] -

TRAPPC2L antibody detects TRAPPC2L protein by western blot analysis. Various whole cell extracts (30 ug) were separated by 15% SDS-PAGE, and the membrane was blotted with TRAPPC2L antibody (NBP3-48547) diluted by 1:1000.

Applications for TRAPPC2L Antibody

Application
Recommended Usage

Immunohistochemistry-Paraffin

1:100-1:1000

Western Blot

1:500-1:3000

Formulation, Preparation, and Storage

Purification

Antigen Affinity-purified

Formulation

0.1M Tris, 0.1M Glycine, 20% Glycerol

Preservative

0.01% Thimerosal

Concentration

Concentrations vary lot to lot. See vial label for concentration. If unlisted please contact technical services.

Shipping

The product is shipped with polar packs. Upon receipt, store it immediately at the temperature recommended below.

Stability & Storage

Store at 4C short term. Aliquot and store at -20C long term. Avoid freeze-thaw cycles.

Background: TRAPPC2L

Alternate Names

MGC111156, trafficking protein particle complex 2-like, trafficking protein particle complex subunit 2-like protein

Gene Symbol

TRAPPC2L

Additional TRAPPC2L Products

Product Documents for TRAPPC2L Antibody

Certificate of Analysis

To download a Certificate of Analysis, please enter a lot number in the search box below.

Product Specific Notices for TRAPPC2L Antibody

This product is for research use only and is not approved for use in humans or in clinical diagnosis. Primary Antibodies are guaranteed for 1 year from date of receipt.

Loading...
Loading...
Loading...
Loading...