Transketolase Antibody - BSA Free
Novus Biologicals, part of Bio-Techne | Catalog # NBP3-38242
Key Product Details
Species Reactivity
Human, Mouse, Rat
Applications
Immunohistochemistry, Immunohistochemistry-Paraffin, Western Blot, ELISA
Label
Unconjugated
Antibody Source
Polyclonal Rabbit IgG
Format
BSA Free
Concentration
Please see the vial label for concentration. If unlisted please contact technical services.
Product Specifications
Immunogen
Recombinant fusion protein containing a sequence corresponding to amino acids 1-280 of human Transketolase (NP_001128527.1).
Sequence:
MESYHKPDQQKLQALKDTANRLRISSIQATTAAGSGHPTSCCSAAEIMAVLFFHTMRYKSQDPRNPHNDRFVLSKGHAAPILYAVWAEAGFLAEAELLNLRKISSDLDGHPVPKQAFTDVATGSLGQGLGAACGMAYTGKYFDKASYRVYCLLGDGELSEGSVWEAMAFASIYKLDNLVAILDINRLGQSDPAPLQHQMDIYQKRCEAFGWHAIIVDGHSVEELCKAFGQAKHQPTAIIAKTFKGRGITGVEDKESWHGKPLPKNMAEQIIQEIYSQIQS
Sequence:
MESYHKPDQQKLQALKDTANRLRISSIQATTAAGSGHPTSCCSAAEIMAVLFFHTMRYKSQDPRNPHNDRFVLSKGHAAPILYAVWAEAGFLAEAELLNLRKISSDLDGHPVPKQAFTDVATGSLGQGLGAACGMAYTGKYFDKASYRVYCLLGDGELSEGSVWEAMAFASIYKLDNLVAILDINRLGQSDPAPLQHQMDIYQKRCEAFGWHAIIVDGHSVEELCKAFGQAKHQPTAIIAKTFKGRGITGVEDKESWHGKPLPKNMAEQIIQEIYSQIQS
Clonality
Polyclonal
Host
Rabbit
Isotype
IgG
Theoretical MW
68 kDa.
Disclaimer note: The observed molecular weight of the protein may vary from the listed predicted molecular weight due to post translational modifications, post translation cleavages, relative charges, and other experimental factors.
Disclaimer note: The observed molecular weight of the protein may vary from the listed predicted molecular weight due to post translational modifications, post translation cleavages, relative charges, and other experimental factors.
Description
Novus Biologicals Rabbit Transketolase Antibody - BSA Free (NBP3-38242) is a polyclonal antibody validated for use in IHC, WB and ELISA. All Novus Biologicals antibodies are covered by our 100% guarantee.
Scientific Data Images for Transketolase Antibody - BSA Free
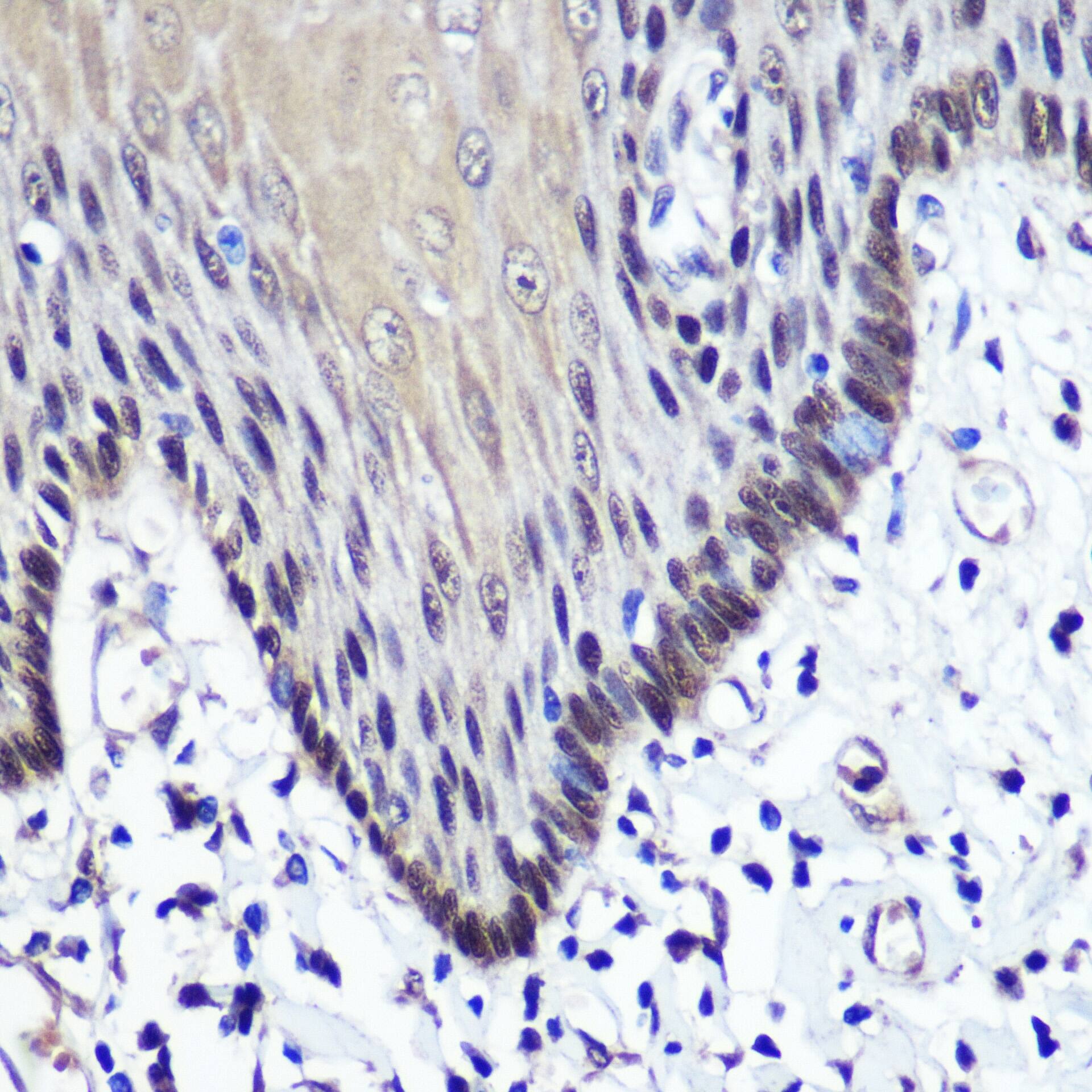
Immunohistochemistry: Transketolase Antibody [NBP3-38242] -
Immunohistochemistry: Transketolase Antibody [NBP3-38242] - Immunohistochemistry analysis of paraffin-embedded Rat liver using Transketolase Rabbit pAb at dilution of 1:100 (40x lens). Microwave antigen retrieval performed with 0.01M PBS Buffer (pH 7.2) prior to IHC staining.Immunohistochemistry: Transketolase Antibody [NBP3-38242] -
Immunohistochemistry: Transketolase Antibody [NBP3-38242] - Immunohistochemistry analysis of paraffin-embedded Human esophageal using Transketolase Rabbit pAb at dilution of 1:100 (40x lens). Microwave antigen retrieval performed with 0.01M PBS Buffer (pH 7.2) prior to IHC staining.Western Blot: Transketolase Antibody [NBP3-38242] -
Western Blot: Transketolase Antibody [NBP3-38242] - Western blot analysis of various lysates, using Transketolase Rabbit pAb at 1:2000 dilution.Secondary antibody: HRP-conjugated Goat anti-Rabbit IgG (H+L) at 1:10000 dilution.
Lysates/proteins: 25ug per lane.
Blocking buffer: 3% nonfat dry milk in TBST.
Detection: ECL Basic Kit.
Exposure time: 30s.
Applications for Transketolase Antibody - BSA Free
Application
Recommended Usage
Immunohistochemistry-Paraffin
1:50 - 1:200
Western Blot
1:1000 - 1:5000
Formulation, Preparation, and Storage
Purification
Affinity purified
Formulation
PBS (pH 7.3), 50% glycerol
Format
BSA Free
Preservative
0.02% Sodium Azide
Concentration
Please see the vial label for concentration. If unlisted please contact technical services.
Shipping
The product is shipped with polar packs. Upon receipt, store it immediately at the temperature recommended below.
Stability & Storage
Store at -20C. Avoid freeze-thaw cycles.
Background: Transketolase
Alternate Names
EC 2.2.1.1, FLJ34765, TK, TKT1, transketolase
Gene Symbol
TKT
Additional Transketolase Products
Product Documents for Transketolase Antibody - BSA Free
Product Specific Notices for Transketolase Antibody - BSA Free
This product is for research use only and is not approved for use in humans or in clinical diagnosis. Primary Antibodies are guaranteed for 1 year from date of receipt.
Loading...
Loading...
Loading...
Loading...