Skip to main content

Transketolase Antibody - BSA Free

Novus Biologicals, part of Bio-Techne | Catalog # NBP1-87442

Novus Biologicals, part of Bio-Techne
Catalog #
Availability
Size / Price
Qty
Loading...
NBP1-87442
NBP1-87442-25ul

Key Product Details

Validated by

Orthogonal Validation, Independent Antibodies

Species Reactivity

Human, Mouse, Rat

Applications

Immunohistochemistry, Immunohistochemistry-Paraffin, Western Blot, Immunocytochemistry/ Immunofluorescence

Label

Unconjugated

Antibody Source

Polyclonal Rabbit IgG

Format

BSA Free

Concentration

Concentrations vary lot to lot. See vial label for concentration. If unlisted please contact technical services.

Product Specifications

Immunogen

This antibody was developed against Recombinant Protein corresponding to amino acids: HYYEGGIGEAVSSAVVGEPGITVTHLAVNRVPRSGKPAELLKMFGIDRDAIAQAVRGLITKA

Clonality

Polyclonal

Host

Rabbit

Isotype

IgG

Scientific Data Images for Transketolase Antibody - BSA Free

Western Blot: Transketolase Antibody [NBP1-87442]

Western Blot: Transketolase Antibody [NBP1-87442]

Western Blot: Transketolase Antibody [NBP1-87442] - Analysis in human cell lines A-549 and U2OS using anti-TKT antibody. Corresponding TKT RNA-seq data are presented for the same cell lines. Loading control: anti-HSP90B1.
Immunocytochemistry/ Immunofluorescence: Transketolase Antibody [NBP1-87442]

Immunocytochemistry/ Immunofluorescence: Transketolase Antibody [NBP1-87442]

Immunocytochemistry/Immunofluorescence: Transketolase Antibody [NBP1-87442] - Immunofluorescent staining of human cell line A-431 shows localization to nucleoplasm.
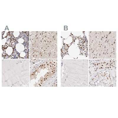
Immunohistochemistry-Paraffin: Transketolase Antibody [NBP1-87442]

Immunohistochemistry-Paraffin: Transketolase Antibody [NBP1-87442]

Immunohistochemistry-Paraffin: Transketolase Antibody [NBP1-87442] - Staining of human skeletal muscle using Anti-TKT antibody NBP1-87442.

Applications for Transketolase Antibody - BSA Free

Application
Recommended Usage

Immunocytochemistry/ Immunofluorescence

0.25-2 ug/ml

Immunohistochemistry

1:10-1:500

Immunohistochemistry-Paraffin

1:200-1:500

Western Blot

0.04 - 0.4 ug/ml
Application Notes
For IHC-Paraffin, HIER pH 6 retrieval is recommended. Immunocytochemistry/Immunofluorescence Fixation Permeabilization: Use PFA/Triton X-100.

Formulation, Preparation, and Storage

Purification

Affinity purified

Formulation

PBS (pH 7.2) and 40% Glycerol

Format

BSA Free

Preservative

0.02% Sodium Azide

Concentration

Concentrations vary lot to lot. See vial label for concentration. If unlisted please contact technical services.

Shipping

The product is shipped with polar packs. Upon receipt, store it immediately at the temperature recommended below.

Stability & Storage

Store at 4C short term. Aliquot and store at -20C long term. Avoid freeze-thaw cycles.

Background: Transketolase

Alternate Names

EC 2.2.1.1, FLJ34765, TK, TKT1, transketolase

Gene Symbol

TKT

Additional Transketolase Products

Product Documents for Transketolase Antibody - BSA Free

Certificate of Analysis

To download a Certificate of Analysis, please enter a lot number in the search box below.

Product Specific Notices for Transketolase Antibody - BSA Free

This product is for research use only and is not approved for use in humans or in clinical diagnosis. Primary Antibodies are guaranteed for 1 year from date of receipt.

Loading...
Loading...
Loading...
Loading...