Transglutaminase 2/TGM2 Antibody (CUB7402)
Novus Biologicals, part of Bio-Techne | Catalog # NBP2-26458
Key Product Details
Species Reactivity
Validated:
Human, Guinea Pig
Cited:
Mouse, Rat
Applications
Validated:
Immunohistochemistry, Immunohistochemistry-Paraffin
Cited:
Immunoprecipitation
Label
Unconjugated
Antibody Source
Monoclonal Mouse IgG1 Clone # CUB7402
Concentration
Please see the vial label for concentration. If unlisted please contact technical services.
Product Specifications
Immunogen
BALB/C mice were injected with purified guinea pig liver TGase II.
Localization
Cytoplasmic, cell membrane, extracellular matrix
Clonality
Monoclonal
Host
Mouse
Isotype
IgG1
Scientific Data Images for Transglutaminase 2/TGM2 Antibody (CUB7402)
Immunohistochemistry-Paraffin: Transglutaminase 2/TGM2 Antibody (CUB7402) [NBP2-26458]
Immunohistochemistry-Paraffin: Transglutaminase 2/TGM2 Antibody (CUB7402) [NBP2-26458] - Formalin fixed paraffin embedded breast carcinoma stained with Transglutaminase 2/TGM2 antibody (NBP2-26458).Western Blot: Transglutaminase 2/TGM2 Antibody (CUB7402) [NBP2-26458] -
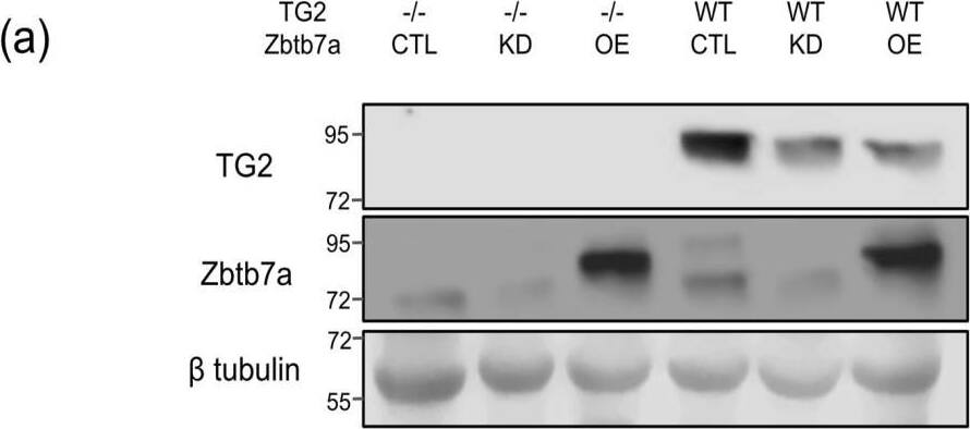
Manipulating the expression of Zbtb7a in WT and TG2−/− astrocytes differentially impacts morphology. (a) Immunoblots showing knockdown (KD) or overexpression (OE) of Zbtb7a, compared to control (CTL), in WT and TG2−/− astrocytes. Since the Zbtb7a OE virus encodes human Zbtb7a, the Zbtb7a bands in these samples migrated slightly faster than bands in the CTL and KD samples from mouse astrocytes. (b) Representative images of the astrocyte GFAP network in the different conditions (scale bar = 20 um) and (c) Quantitation of GFAP network area (n = 34–50 astrocytes per condition from two independent biological replicates, Two-way ANOVA * p < 0.05, *** p < 0.001). Image collected and cropped by CiteAb from the following open publication (https://pubmed.ncbi.nlm.nih.gov/37047031), licensed under a CC-BY license. Not internally tested by Novus Biologicals.Applications for Transglutaminase 2/TGM2 Antibody (CUB7402)
Application
Recommended Usage
Immunohistochemistry
1:50-1:75
Immunohistochemistry-Paraffin
1:50-1:75
Application Notes
IHC-P: recommended pretreatment of citrate buffer, pH 6.0. Recommended incubation time of 30 min at RT.
Formulation, Preparation, and Storage
Purification
Protein A or G purified
Formulation
PBS (pH 7.4), 0.2% BSA, Tween-20
Preservative
0.05% Sodium Azide
Concentration
Please see the vial label for concentration. If unlisted please contact technical services.
Shipping
The product is shipped with polar packs. Upon receipt, store it immediately at the temperature recommended below.
Stability & Storage
Store at 4C. Do not freeze.
Background: Transglutaminase 2/TGM2
Alternate Names
TGC, TGM2, Transglutaminase 2, tTG
Gene Symbol
TGM2
Additional Transglutaminase 2/TGM2 Products
Product Documents for Transglutaminase 2/TGM2 Antibody (CUB7402)
Product Specific Notices for Transglutaminase 2/TGM2 Antibody (CUB7402)
This product is for research use only and is not approved for use in humans or in clinical diagnosis. Primary Antibodies are guaranteed for 1 year from date of receipt.
Loading...
Loading...
Loading...
Loading...