Skip to main content

transgelin 2 Antibody - BSA Free

Novus Biologicals, part of Bio-Techne | Catalog # NBP1-89722

Novus Biologicals, part of Bio-Techne
Catalog #
Availability
Size / Price
Qty
Loading...
NBP1-89722

Key Product Details

Validated by

Orthogonal Validation

Species Reactivity

Validated:

Human, Mouse, Rat

Cited:

Mouse

Applications

Validated:

Immunohistochemistry, Immunohistochemistry-Paraffin, Western Blot, Immunocytochemistry/ Immunofluorescence

Cited:

Western Blot

Label

Unconjugated

Antibody Source

Polyclonal Rabbit IgG

Format

BSA Free

Concentration

Concentrations vary lot to lot. See vial label for concentration. If unlisted please contact technical services.

Product Specifications

Immunogen

This antibody was developed against Recombinant Protein corresponding to amino acids: RGPAYGLSREVQQKIEKQYDADLEQILIQWITTQCRKDVGRPQPGRENFQNWLKDGTVLCELINALYPEGQAPVKKIQASTMAFKQMEQISQFLQAAERYGINTTDIFQTVDLWEGKNMACVQRTLMNLGGLA

Clonality

Polyclonal

Host

Rabbit

Isotype

IgG

Description

Novus Biologicals Rabbit transgelin 2 Antibody - BSA Free (NBP1-89722) is a polyclonal antibody validated for use in IHC, WB and ICC/IF. Anti-transgelin 2 Antibody: Cited in 5 publications. All Novus Biologicals antibodies are covered by our 100% guarantee.

Scientific Data Images for transgelin 2 Antibody - BSA Free

Immunocytochemistry/ Immunofluorescence: transgelin 2 Antibody [NBP1-89722]

Immunocytochemistry/ Immunofluorescence: transgelin 2 Antibody [NBP1-89722]

Immunocytochemistry/Immunofluorescence: transgelin 2 Antibody [NBP1-89722] - Staining of human cell line U-2 OS shows localization to cytosol & actin filaments. Antibody staining is shown in green.
Immunohistochemistry-Paraffin: transgelin 2 Antibody [NBP1-89722]

Immunohistochemistry-Paraffin: transgelin 2 Antibody [NBP1-89722]

Immunohistochemistry-Paraffin: transgelin 2 Antibody [NBP1-89722] - Staining of human tonsil shows moderate to strong positivity in germinal center cells.
Immunohistochemistry-Paraffin: transgelin 2 Antibody [NBP1-89722]

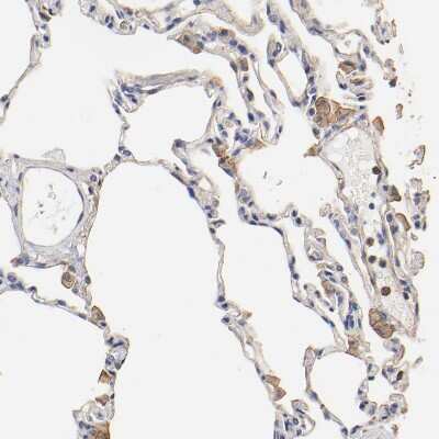
Immunohistochemistry-Paraffin: transgelin 2 Antibody [NBP1-89722]

Immunohistochemistry-Paraffin: transgelin 2 Antibody [NBP1-89722] - Staining of human placenta shows moderate to strong cytoplasmic positivity in trophoblastic cells.

Applications for transgelin 2 Antibody - BSA Free

Application
Recommended Usage

Immunocytochemistry/ Immunofluorescence

0.25-2 ug/ml

Immunohistochemistry

1:200 - 1:500

Immunohistochemistry-Paraffin

1:200 - 1:500

Western Blot

0.04-0.4 ug/ml
Application Notes
For IHC-Paraffin, HIER pH 6 retrieval is recommended. ICC/IF Fixation Permeabilization: Use PFA/Triton X-100.

Formulation, Preparation, and Storage

Purification

Affinity purified

Formulation

PBS (pH 7.2) and 40% Glycerol

Format

BSA Free

Preservative

0.02% Sodium Azide

Concentration

Concentrations vary lot to lot. See vial label for concentration. If unlisted please contact technical services.

Shipping

The product is shipped with polar packs. Upon receipt, store it immediately at the temperature recommended below.

Stability & Storage

Store at 4C short term. Aliquot and store at -20C long term. Avoid freeze-thaw cycles.

Background: transgelin 2

transgelin 2 is encoded by this gene is a homolog of the protein transgelin, which is one of the earliest markers of differentiated smooth muscle. The function of this protein has not yet been determined. [provided by RefSeq].

Alternate Names

KIAA0120HA1756, SM22-alpha homolog, transgelin 2, transgelin-2

Gene Symbol

TAGLN2

Additional transgelin 2 Products

Product Documents for transgelin 2 Antibody - BSA Free

Certificate of Analysis

To download a Certificate of Analysis, please enter a lot number in the search box below.

Product Specific Notices for transgelin 2 Antibody - BSA Free

This product is for research use only and is not approved for use in humans or in clinical diagnosis. Primary Antibodies are guaranteed for 1 year from date of receipt.

Loading...
Loading...
Loading...
Loading...