Skip to main content

transgelin 2 Antibody (7D0) - BSA Free

Novus Biologicals, part of Bio-Techne | Catalog # NBP3-43050

Novus Biologicals, part of Bio-Techne
Catalog #
Availability
Size / Price
Qty
Loading...
NBP3-43050

Key Product Details

Species Reactivity

Human, Mouse

Applications

Immunohistochemistry, Western Blot, ELISA, Immunoprecipitation

Label

Unconjugated

Antibody Source

Monoclonal Mouse IgG1 Clone # 7D0

Format

BSA Free

Concentration

Please see the vial label for concentration. If unlisted please contact technical services.

Product Specifications

Immunogen

transgelin 2 - (Uniprot# P37802)

Clonality

Monoclonal

Host

Mouse

Isotype

IgG1

Theoretical MW

22 kDa.
Disclaimer note: The observed molecular weight of the protein may vary from the listed predicted molecular weight due to post translational modifications, post translation cleavages, relative charges, and other experimental factors.

Description

Novus Biologicals Mouse transgelin 2 Antibody (7D0) - BSA Free (NBP3-43050) is a monoclonal antibody validated for use in IHC, WB, ELISA and IP. All Novus Biologicals antibodies are covered by our 100% guarantee.

Scientific Data Images for transgelin 2 Antibody (7D0) - BSA Free

transgelin 2 Antibody (7D0)

Western Blot: transgelin 2 Antibody (7D0) [NBP3-43050] -

Western Blot: transgelin 2 Antibody (7D0) [NBP3-43050] - K-562 cells were subjected to SDS PAGE followed by western blot with (transgelin 2 antibody) at dilution of 1:1000
transgelin 2 Antibody (7D0)

Immunoprecipitation: transgelin 2 Antibody (7D0) [NBP3-43050] -

Immunoprecipitation: transgelin 2 Antibody (7D0) [NBP3-43050] - IP Result of anti-Transgelin 2 (IP:FNab08933, 4ug; Detection:FNab08933 1:1000) with HEK-293 cells lysate 1000ug.
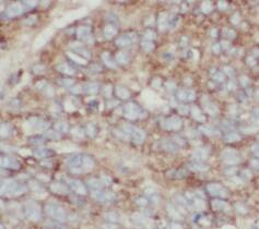
transgelin 2 Antibody (7D0)

Immunohistochemistry: transgelin 2 Antibody (7D0) [NBP3-43050] -

Immunohistochemistry: transgelin 2 Antibody (7D0) [NBP3-43050] - Immunohistochemistry of paraffin-embedded human colon cancer tissue slide using (transgelin 2 Antibody) at dilution of 1:50

Applications for transgelin 2 Antibody (7D0) - BSA Free

Application
Recommended Usage

Immunohistochemistry

1:20 - 1:200

Immunoprecipitation

1:500 - 1:5000

Western Blot

1:500 - 1:5000

Formulation, Preparation, and Storage

Purification

Protein A or G purified

Formulation

PBS (pH 7.3), 50% glycerol

Format

BSA Free

Preservative

0.02% Sodium Azide

Concentration

Please see the vial label for concentration. If unlisted please contact technical services.

Shipping

The product is shipped with polar packs. Upon receipt, store it immediately at the temperature recommended below.

Stability & Storage

Store at -20C. Avoid freeze-thaw cycles.

Background: transgelin 2

transgelin 2 is encoded by this gene is a homolog of the protein transgelin, which is one of the earliest markers of differentiated smooth muscle. The function of this protein has not yet been determined. [provided by RefSeq].

Alternate Names

KIAA0120HA1756, SM22-alpha homolog, transgelin 2, transgelin-2

Gene Symbol

TAGLN2

Additional transgelin 2 Products

Product Documents for transgelin 2 Antibody (7D0) - BSA Free

Certificate of Analysis

To download a Certificate of Analysis, please enter a lot number in the search box below.

Product Specific Notices for transgelin 2 Antibody (7D0) - BSA Free

This product is for research use only and is not approved for use in humans or in clinical diagnosis. Primary Antibodies are guaranteed for 1 year from date of receipt.

Loading...
Loading...
Loading...
Loading...