Skip to main content

Transferrin Antibody - BSA Free

Novus Biologicals, part of Bio-Techne | Catalog # NBP1-87221

Novus Biologicals, part of Bio-Techne
Catalog #
Availability
Size / Price
Qty
Loading...
NBP1-87221
NBP1-87221-25ul

Key Product Details

Validated by

Independent Antibodies

Species Reactivity

Human

Applications

Immunohistochemistry, Immunohistochemistry-Paraffin, Western Blot

Label

Unconjugated

Antibody Source

Polyclonal Rabbit IgG

Format

BSA Free

Concentration

Concentrations vary lot to lot. See vial label for concentration. If unlisted please contact technical services.

Product Specifications

Immunogen

This antibody was developed against Recombinant Protein corresponding to amino acids: KDLLFKDSAHGFLKVPPRMDAKMYLGYEYVTAIRNLREGTCPEAPTDECKPVKWCALSHHERLKCDEWSVNSVGKIECVSAETTEDCIAKIMNGEADAMSLDGGFVYIAGKCGLVPVLAENYNKSDNCEDTPEAG

Clonality

Polyclonal

Host

Rabbit

Isotype

IgG

Description

Novus Biologicals Rabbit Transferrin Antibody - BSA Free (NBP1-87221) is a polyclonal antibody validated for use in IHC and WB. Anti-Transferrin Antibody: Cited in 1 publication. All Novus Biologicals antibodies are covered by our 100% guarantee.

Scientific Data Images for Transferrin Antibody - BSA Free

Western Blot: Transferrin Antibody [NBP1-87221]

Western Blot: Transferrin Antibody [NBP1-87221]

Western Blot: Transferrin Antibody [NBP1-87221] - Analysis using Anti-TF antibody NBP1-87221 (A) shows similar pattern to independent antibody NBP1-87222 (B).
Western Blot: Transferrin Antibody [NBP1-87221]

Western Blot: Transferrin Antibody [NBP1-87221]

Western Blot: Transferrin Antibody [NBP1-87221] - Analysis in human cell line HepG2.
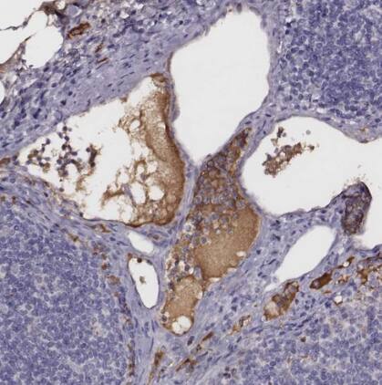
Immunohistochemistry-Paraffin: Transferrin Antibody [NBP1-87221]

Immunohistochemistry-Paraffin: Transferrin Antibody [NBP1-87221]

Immunohistochemistry-Paraffin: Transferrin Antibody [NBP1-87221] - Staining of human colon, liver, lymph node and ovary using Anti-TF antibody NBP1-87221 (A) shows similar protein distribution across tissues to independent antibody NBP1-87222 (B).

Applications for Transferrin Antibody - BSA Free

Application
Recommended Usage

Immunohistochemistry

1:2500 - 1:5000

Immunohistochemistry-Paraffin

1:2500 - 1:5000

Western Blot

0.04-0.4 ug/ml
Application Notes
For IHC-Paraffin, HIER pH 6 retrieval is recommended.

Formulation, Preparation, and Storage

Purification

Immunogen affinity purified

Formulation

PBS (pH 7.2) and 40% Glycerol

Format

BSA Free

Preservative

0.02% Sodium Azide

Concentration

Concentrations vary lot to lot. See vial label for concentration. If unlisted please contact technical services.

Shipping

The product is shipped with polar packs. Upon receipt, store it immediately at the temperature recommended below.

Stability & Storage

Store at 4C short term. Aliquot and store at -20C long term. Avoid freeze-thaw cycles.

Background: Transferrin

Transferrin is a single polypeptide chain glycoprotein and is a member of the iron binding family of proteins. It has a molecular weight of 77 kDa and a serum concentration range of 1800 to 2700 mg/L. It is synthesised in the liver and consists of two domains each having a high affinity reversible binding site for Fe3+. The iron is transported in blood and interstitial fluids to sites of use and disposal. Iron/transferrin is essential in haemoglobin synthesis and for certain types of cell division. Serum concentration rises in iron deficiency and pregnancy and falls in iron overload, infection and inflammatory conditions. The function of transferrin is to transport iron from the intestine, reticuloendothelial system, and liver parenchymal cells to all proliferating cells in the body. In addition to its function in iron transport, this protein may also have a physiologic role as granulocyte/pollen binding protein (GPBP) involved in the removal of certain organic matter/allergins from serum.

Alternate Names

Beta-1 metal-binding globulin, Serotransferrin, Siderophilin, TF

Gene Symbol

TF

Additional Transferrin Products

Product Documents for Transferrin Antibody - BSA Free

Certificate of Analysis

To download a Certificate of Analysis, please enter a lot number in the search box below.

Product Specific Notices for Transferrin Antibody - BSA Free

This product is for research use only and is not approved for use in humans or in clinical diagnosis. Primary Antibodies are guaranteed for 1 year from date of receipt.

Loading...
Loading...
Loading...
Loading...