Skip to main content

TRAILR4/TNFRSF10D/DcR2 Antibody (009) - Azide and BSA Free

Novus Biologicals, part of Bio-Techne | Catalog # NBP2-89478

Recombinant Monoclonal Antibody
Novus Biologicals, part of Bio-Techne

Key Product Details

Species Reactivity

Human

Applications

Immunohistochemistry-Paraffin

Label

Unconjugated

Antibody Source

Recombinant Monoclonal Rabbit IgG Clone # 009

Format

Azide and BSA Free

Concentration

Please see the vial label for concentration. If unlisted please contact technical services.

Product Specifications

Immunogen

This antibody was obtained from a rabbit immunized with purified, recombinant Human TRAILR4/TNFRSF10D/DcR2 (Accession#: NP_003831.2; Met1-His211).

Specificity

No cross-reactivity in ELISA with: Human TNFRSF10AHuman TNFRSF10BHuman TNFSF10Human TNFalphaHuman TNFbeta

Clonality

Monoclonal

Host

Rabbit

Isotype

IgG

Description

This antibody can be stored at 2C-8C for one month without detectable loss of activity. Antibody products are stable for twelve months from date of receipt when stored at -20C to -80C. Avoid repeated freeze-thaw cycles.

Scientific Data Images for TRAILR4/TNFRSF10D/DcR2 Antibody (009) - Azide and BSA Free

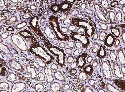
Immunohistochemistry-Paraffin: TRAILR4/TNFRSF10D/DcR2 Antibody (009) [NBP2-89478]

Immunohistochemistry-Paraffin: TRAILR4/TNFRSF10D/DcR2 Antibody (009) [NBP2-89478]

Immunohistochemistry-Paraffin: TRAILR4/TNFRSF10D/DcR2 Antibody (009) [NBP2-89478] - Staining of human TNFRSF10D in human kidney with rabbit monoclonal antibody (1:200). Positive staining was localized to kidney tubules and colleting duct.
Immunohistochemistry-Paraffin: TRAILR4/TNFRSF10D/DcR2 Antibody (009) [NBP2-89478]

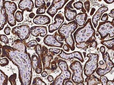
Immunohistochemistry-Paraffin: TRAILR4/TNFRSF10D/DcR2 Antibody (009) [NBP2-89478]

Immunohistochemistry-Paraffin: TRAILR4/TNFRSF10D/DcR2 Antibody (009) [NBP2-89478] - Staining of human TNFRSF10D in human placenta with rabbit monoclonal antibody (1:200). Positive staining was localized to trophocyte.

Applications for TRAILR4/TNFRSF10D/DcR2 Antibody (009) - Azide and BSA Free

Application
Recommended Usage

Immunohistochemistry-Paraffin

1:100-1:500

Formulation, Preparation, and Storage

Purification

Protein A purified

Formulation

0.2 um filtered solution in PBS

Format

Azide and BSA Free

Preservative

No Preservative

Concentration

Please see the vial label for concentration. If unlisted please contact technical services.

Shipping

The product is shipped with polar packs. Upon receipt, store it immediately at the temperature recommended below.

Stability & Storage

Store at 4C short term. Aliquot and store at -20C long term. Avoid freeze-thaw cycles.

Background: TRAILR4/TNFRSF10D

TRAIL (also known as Apo-2L) is a member of the tumor necrosis factor (TNF) ligand family that rapidly induces apoptosis in a variety of transformed cell lines. A fourth member of the emerging TRAIL receptor family, TRAIL-R4, has signaling capacity similar to that of TRAIL-R1 and TRAIL-R2 with respect to NF-kappaB activation, but differs in its inability to induce apoptosis. Like TRAIL-R1 and TRAIL-R2, this receptor shows widespread tissue expression. The human TRAIL-R4 gene has been mapped to chromosome 8p22-21, clustered with three other TRAIL receptors.

Long Name

TRAIL Receptor 4

Alternate Names

CD264, DcR2, TNFRSF10D, TRAIL R4

Gene Symbol

TNFRSF10D

Additional TRAILR4/TNFRSF10D Products

Product Documents for TRAILR4/TNFRSF10D/DcR2 Antibody (009) - Azide and BSA Free

Certificate of Analysis

To download a Certificate of Analysis, please enter a lot number in the search box below.

Product Specific Notices for TRAILR4/TNFRSF10D/DcR2 Antibody (009) - Azide and BSA Free

This product is for research use only and is not approved for use in humans or in clinical diagnosis. Primary Antibodies are guaranteed for 1 year from date of receipt.

Loading...
Loading...
Loading...
Loading...