Skip to main content

TRAF-5 Antibody - BSA Free

Novus Biologicals, part of Bio-Techne | Catalog # NB100-56178

Novus Biologicals, part of Bio-Techne
Catalog #
Availability
Size / Price
Qty
Loading...
NB100-56178
NB100-56178SS

Key Product Details

Species Reactivity

Human, Mouse, Rat, Gerbil

Applications

Validated:

Immunohistochemistry, Immunohistochemistry-Paraffin, Immunohistochemistry-Frozen, Western Blot, Immunoprecipitation

Cited:

Immunohistochemistry-Paraffin, Western Blot

Label

Unconjugated

Antibody Source

Polyclonal Rabbit IgG

Format

BSA Free

Concentration

This product is unpurified. The exact concentration of antibody is not quantifiable.

Product Specifications

Immunogen

A synthetic peptide corresponding to amino acids 1-20 ([BLAST]MAHSEEQAAVPCAFIRQNSG[/BLAST]) of mouse TRAF5 was used as immunogen, GenBank no. AAH12702.1

Clonality

Polyclonal

Host

Rabbit

Isotype

IgG

Description

Novus Biologicals Rabbit TRAF-5 Antibody - BSA Free (NB100-56178) is a polyclonal antibody validated for use in IHC, WB and IP. Anti-TRAF-5 Antibody: Cited in 1 publication. All Novus Biologicals antibodies are covered by our 100% guarantee.

Scientific Data Images for TRAF-5 Antibody - BSA Free

Western Blot: TRAF-5 Antibody [NB100-56178]

Western Blot: TRAF-5 Antibody [NB100-56178]

Western Blot: TRAF-5 Antibody [NB100-56178] - TRAF5 in normal human tissues using this antibody. TRAF5 is observed at ~64 kDa. Additional bands of lower molecular weight were seen in some cases, and may represent TRAF5 degradation fragments.
Immunohistochemistry-Paraffin: TRAF-5 Antibody [NB100-56178]

Immunohistochemistry-Paraffin: TRAF-5 Antibody [NB100-56178]

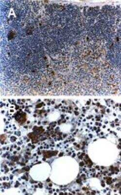
Immunohistochemistry-Paraffin: TRAF-5 Antibody [NB100-56178] - Formalin-fixed, paraffin-embedded mouse tissue stained for TRAF5 expression using NB100-56178 at 1:2000. Hematoxylin-eosin counterstain. A, thymus. B, bone marrow.
Immunohistochemistry: TRAF-5 Antibody [NB100-56178]

Immunohistochemistry: TRAF-5 Antibody [NB100-56178]

Immunohistochemistry: TRAF-5 Antibody [NB100-56178] - Formalin-fixed, paraffin-embedded mouse spleen stained for TRAF5 expression using NB100-56178 at 1:2000. Hematoxylin-eosin counterstain. A1 is a higher magnification of A.

Applications for TRAF-5 Antibody - BSA Free

Application
Recommended Usage

Immunoprecipitation

1:50 - 1:200

Western Blot

1:1000 - 1:2000

Formulation, Preparation, and Storage

Purification

Unpurified

Formulation

Whole antisera

Format

BSA Free

Preservative

0.05% Sodium Azide

Concentration

This product is unpurified. The exact concentration of antibody is not quantifiable.

Shipping

The product is shipped with polar packs. Upon receipt, store it immediately at the temperature recommended below.

Stability & Storage

Store at 4C short term. Aliquot and store at -20C long term. Avoid freeze-thaw cycles.

Background: TRAF-5

The TRAF (TNF receptor-associated factor) family is a group of adapter proteins (TRAFs 1-6) that link a wide variety of cell surface receptors to diverse signaling cascades leading to the activation of NF-kB and mitogen-activated protein kinases (reviewed in Chung et al, 2002). TRAFs are major signal transducers for both the TNF and IL- 1/TLR receptor superfamilies and collectively play important functions in both adaptive and innate immunity. The carboxy-terminal region of TRAFs is required for self-association and interaction with receptor cytoplasmic domains following ligand-induced oligomerization. TRAFs interact with a variety of proteins that regulate receptor-induced cell death or survival, and TRAF-mediated signaling can promote cell survival or interfere with death receptor-induced apoptosis. NB100-56178 recognizes TRAF5. Mouse TRAF5 is a 558 amino acid protein.

Long Name

TNF Receptor-Associated Factor 5

Alternate Names

RNF84, TRAF5

Entrez Gene IDs

7188 (Human); 22033 (Mouse)

Gene Symbol

TRAF5

Additional TRAF-5 Products

Product Documents for TRAF-5 Antibody - BSA Free

Certificate of Analysis

To download a Certificate of Analysis, please enter a lot number in the search box below.

Product Specific Notices for TRAF-5 Antibody - BSA Free

This product is for research use only and is not approved for use in humans or in clinical diagnosis. Primary Antibodies are guaranteed for 1 year from date of receipt.

Loading...
Loading...
Loading...
Loading...