Skip to main content

TR alpha/NR1A1/Thyroid Hormone Receptor alpha Antibody

Novus Biologicals, part of Bio-Techne | Catalog # NBP2-22523

Catalog #
Availability
Size / Price
Qty
Loading...
NBP2-22523
NBP2-22523-50ug

Key Product Details

Species Reactivity

Validated:

Human, Mouse

Cited:

Mouse

Applications

Validated:

Immunohistochemistry, Immunohistochemistry-Paraffin, Western Blot, Immunocytochemistry/ Immunofluorescence

Cited:

Immunohistochemistry-Frozen

Label

Unconjugated

Antibody Source

Polyclonal Rabbit IgG

Concentration

1 mg/ml

Product Specifications

Immunogen

Synthetic Peptide: S(455) R A V C G E D D S S E A S S(469)

Clonality

Polyclonal

Host

Rabbit

Isotype

IgG

Scientific Data Images for TR alpha/NR1A1/Thyroid Hormone Receptor alpha Antibody

Western Blot: TR alpha/NR1A1/Thyroid Hormone Receptor alpha Antibody [NBP2-22523]

Western Blot: TR alpha/NR1A1/Thyroid Hormone Receptor alpha Antibody [NBP2-22523]

Western Blot: TR alpha/NR1A1/Thyroid Hormone Receptor alpha Antibody [NBP2-22523] - Analysis of 25 ug of mouse thyroid (lane 1), NIH-3T3 (lane 2) and A431 (lane 3) cell lysates onto an SDS polyacrylamide gel.
Immunocytochemistry/ Immunofluorescence: TR alpha/NR1A1/Thyroid Hormone Receptor alpha Antibody [NBP2-22523]

Immunocytochemistry/ Immunofluorescence: TR alpha/NR1A1/Thyroid Hormone Receptor alpha Antibody [NBP2-22523]

Immunocytochemistry/Immunofluorescence: TR alpha/NR1A1/Thyroid Hormone Receptor alpha Antibody [NBP2-22523] - Analysis of Thyroid Hormone Receptor alpha-2 (green) showing staining in the nucleus and cytoplasm of A431 cells (right) compared to a negative control without primary antibody (left).
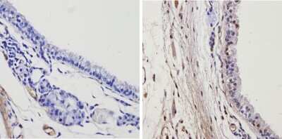
Immunohistochemistry-Paraffin: TR alpha/NR1A1/Thyroid Hormone Receptor alpha Antibody [NBP2-22523]

Immunohistochemistry-Paraffin: TR alpha/NR1A1/Thyroid Hormone Receptor alpha Antibody [NBP2-22523]

Immunohistochemistry-Paraffin: TR alpha/NR1A1/Thyroid Hormone Receptor alpha Antibody [NBP2-22523] - Analysis showing positive staining in the cytoplasm and nucleus of Human thyroid tissue (right) compared with a negative control in the absence of primary antibody (left).

Applications for TR alpha/NR1A1/Thyroid Hormone Receptor alpha Antibody

Application
Recommended Usage

Immunocytochemistry/ Immunofluorescence

1:10 - 1:200

Immunohistochemistry

1:100 - 1:500

Immunohistochemistry-Paraffin

1:100 - 1:500

Western Blot

1:100
Application Notes
WB: Detects an approx. 58 kDa representing Tra2 in mouse tissue. This antibody also detects a ~43 kDa protein which is believed to be non-specific.

Formulation, Preparation, and Storage

Purification

Immunogen affinity purified

Formulation

PBS with 1 mg/ml BSA

Preservative

0.05% Sodium Azide

Concentration

1 mg/ml

Shipping

The product is shipped with polar packs. Upon receipt, store it immediately at the temperature recommended below.

Stability & Storage

Store at -20C. Avoid freeze-thaw cycles.

Background: TR alpha/NR1A1

Thyroid Hormone Receptor alpha is encoded by this gene is a nuclear hormone receptor for triiodothyronine. It is one of the several receptors for thyroid hormone, and has been shown to mediate the biological activities of thyroid hormone. Knockout studies in mice suggest that the different receptors, while having certain extent of redundancy, may mediate different functions of thyroid hormone. Alternatively spliced transcript variants encoding distinct isoforms have been reported.

Long Name

Thyroid Hormone Receptor alpha

Alternate Names

NR1A1, THRA, v-ErbA1

Entrez Gene IDs

21833 (Mouse)

Gene Symbol

THRA

Additional TR alpha/NR1A1 Products

Product Documents for TR alpha/NR1A1/Thyroid Hormone Receptor alpha Antibody

Certificate of Analysis

To download a Certificate of Analysis, please enter a lot number in the search box below.

Product Specific Notices for TR alpha/NR1A1/Thyroid Hormone Receptor alpha Antibody

This product is for research use only and is not approved for use in humans or in clinical diagnosis. Primary Antibodies are guaranteed for 1 year from date of receipt.

Loading...
Loading...
Loading...
Loading...