Skip to main content

TPSD1 Antibody - BSA Free

Novus Biologicals, part of Bio-Techne | Catalog # NBP3-41363

Novus Biologicals, part of Bio-Techne
Catalog #
Availability
Size / Price
Qty
Loading...
NBP3-41363

Key Product Details

Species Reactivity

Human

Applications

Immunohistochemistry, Immunohistochemistry-Paraffin, Western Blot

Label

Unconjugated

Antibody Source

Polyclonal Rabbit

Format

BSA Free

Concentration

0.5 mg/ml

Product Specifications

Immunogen

Immunized with recombinant Human TPSD1 (Uniprot#: Q9BZJ3; Glu99-Glu191 (Uniprot#: Q9BZJ3)

Clonality

Polyclonal

Host

Rabbit

Description

Novus Biologicals Rabbit TPSD1 Antibody - BSA Free (NBP3-41363) is a polyclonal antibody validated for use in IHC and WB. All Novus Biologicals antibodies are covered by our 100% guarantee.

Scientific Data Images for TPSD1 Antibody - BSA Free

TPSD1 Antibody

Western Blot: TPSD1 Antibody [NBP3-41363] -

Western Blot: TPSD1 Antibody [NBP3-41363] - Sample: Recombinant protein.
TPSD1 Antibody

Immunohistochemistry-Paraffin: TPSD1 Antibody [NBP3-41363] -

Immunohistochemistry-Paraffin: TPSD1 Antibody [NBP3-41363] - DAB staining on fromalin fixed paraffin-embedded Bowels tissue
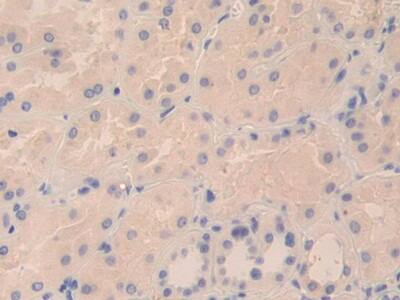
TPSD1 Antibody

Immunohistochemistry-Paraffin: TPSD1 Antibody [NBP3-41363] -

Immunohistochemistry-Paraffin: TPSD1 Antibody [NBP3-41363] - DAB staining on IHC-P; Samples: Human Kidney Tissue; Primary Ab: 10ug/ml NBP3-41363; Second Ab: 2ug/mL HRP-Linked Caprine Anti-Rabbit IgG Polyclonal Antibody

Applications for TPSD1 Antibody - BSA Free

Application
Recommended Usage

Immunohistochemistry

5-20ug/mL

Immunohistochemistry-Paraffin

5-20ug/mL

Western Blot

0.2-2ug/mL

Formulation, Preparation, and Storage

Purification

Antigen and protein A Affinity-purified

Formulation

PBS, pH7.4, 50% glycerol

Format

BSA Free

Preservative

0.02% Sodium Azide

Concentration

0.5 mg/ml

Shipping

The product is shipped with polar packs. Upon receipt, store it immediately at the temperature recommended below.

Stability & Storage

Store at 4C short term. Aliquot and store at -20C long term. Avoid freeze-thaw cycles.

Background: TPSD1

Tryptases comprise a family of trypsin-like serine proteases, the peptidase family S1. Tryptases are enzymatically active only as heparin-stabilized tetramers, and they are resistant to all known endogenous proteinase inhibitors. Several tryptase genes are clustered on chromosome 16p13.3. These genes are characterized by several distinct features. They have a highly conserved 3' UTR and contain tandem repeat sequences at the 5' flank and 3' UTR which are thought to play a role in regulation of the mRNA stability. Although this gene may be an exception, most of the tryptase genes have an intron immediately upstream of the initiator Met codon, which separates the site of transcription initiation from protein coding sequence. This feature is characteristic of tryptases but is unusual in other genes. Tryptases have been implicated as mediators in the pathogenesis of asthma and other allergic and inflammatory disorders. This gene was once considered to be a pseudogene, although it is now believed to be a functional gene that encodes a protein. [provided by RefSeq]

Long Name

Tryptase delta

Alternate Names

Delta-tryptase, EC 3.4.21.59, Tryptase-3

Gene Symbol

TPSD1

Additional TPSD1 Products

Product Documents for TPSD1 Antibody - BSA Free

Certificate of Analysis

To download a Certificate of Analysis, please enter a lot number in the search box below.

Product Specific Notices for TPSD1 Antibody - BSA Free

This product is for research use only and is not approved for use in humans or in clinical diagnosis. Primary Antibodies are guaranteed for 1 year from date of receipt.

Loading...
Loading...
Loading...
Loading...