Skip to main content

TPRKB Antibody - BSA Free

Novus Biologicals, part of Bio-Techne | Catalog # NBP1-31618

Novus Biologicals, part of Bio-Techne
Catalog #
Availability
Size / Price
Qty
Loading...
NBP1-31618

Key Product Details

Species Reactivity

Human

Applications

Immunohistochemistry, Immunohistochemistry-Paraffin, Western Blot, Immunocytochemistry/ Immunofluorescence

Label

Unconjugated

Antibody Source

Polyclonal Rabbit IgG

Format

BSA Free

Concentration

Concentrations vary lot to lot. See vial label for concentration. If unlisted please contact technical services.

Product Specifications

Immunogen

Recombinant protein encompassing a sequence within the center region of human TPRKB. The exact sequence is proprietary.

Localization

Cytoplasm, Nucleus

Clonality

Polyclonal

Host

Rabbit

Isotype

IgG

Theoretical MW

20 kDa.
Disclaimer note: The observed molecular weight of the protein may vary from the listed predicted molecular weight due to post translational modifications, post translation cleavages, relative charges, and other experimental factors.

Scientific Data Images for TPRKB Antibody - BSA Free

Western Blot: TPRKB Antibody [NBP1-31618]

Western Blot: TPRKB Antibody [NBP1-31618]

Western Blot: TPRKB Antibody [NBP1-31618] - Sample(30 ug whole cell lysate)A:293T 12% SDS PAGE, antibody diluted at 1:500.
Immunocytochemistry/ Immunofluorescence: TPRKB Antibody [NBP1-31618]

Immunocytochemistry/ Immunofluorescence: TPRKB Antibody [NBP1-31618]

Immunocytochemistry/Immunofluorescence: TPRKB Antibody [NBP1-31618] - Paraformaldehyde-fixed HeLa, using antibody at 1:500 dilution.
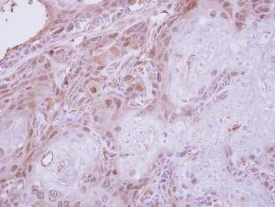
Immunohistochemistry-Paraffin: TPRKB Antibody [NBP1-31618]

Immunohistochemistry-Paraffin: TPRKB Antibody [NBP1-31618]

Immunohistochemistry-Paraffin: TPRKB Antibody [NBP1-31618] - Ca922 xenograft, using TPRKB antibody at 1:250 dilution. Antigen Retrieval: Trilogy™ (EDTA based, pH 8.0) buffer, 15min.

Applications for TPRKB Antibody - BSA Free

Application
Recommended Usage

Immunocytochemistry/ Immunofluorescence

1:100-1:1000

Immunohistochemistry

1:100-1:1000

Immunohistochemistry-Paraffin

1:100-1:1000

Western Blot

1:500-1:3000

Formulation, Preparation, and Storage

Purification

Antigen Affinity-purified

Formulation

0.1M Tris, 0.1M Glycine, 10% Glycerol

Format

BSA Free

Preservative

0.01% Thimerosal

Concentration

Concentrations vary lot to lot. See vial label for concentration. If unlisted please contact technical services.

Shipping

The product is shipped with polar packs. Upon receipt, store it immediately at the temperature recommended below.

Stability & Storage

Aliquot and store at -20C or -80C. Avoid freeze-thaw cycles.

Background: TPRKB

Alternate Names

CGI-121, PRPK (p53-related protein kinase)-binding protein, PRPK-binding protein, TP53RK binding protein, TP53RK-binding protein

Gene Symbol

TPRKB

Additional TPRKB Products

Product Documents for TPRKB Antibody - BSA Free

Certificate of Analysis

To download a Certificate of Analysis, please enter a lot number in the search box below.

Product Specific Notices for TPRKB Antibody - BSA Free

This product is for research use only and is not approved for use in humans or in clinical diagnosis. Primary Antibodies are guaranteed for 1 year from date of receipt.

Loading...
Loading...
Loading...
Loading...

⚠ WARNING: This product can expose you to chemicals including mercury, which is known to the State of California to cause reproductive toxicity with developmental effects.  For more information go to www.P65Warnings.ca.gov.