Skip to main content

TPRKB Antibody (OTI3H3)

Novus Biologicals, part of Bio-Techne | Catalog # NBP2-03885

Novus Biologicals, part of Bio-Techne

Key Product Details

Species Reactivity

Human, Mouse, Monkey, Primate

Applications

Immunohistochemistry, Immunohistochemistry-Paraffin, Western Blot, Flow Cytometry, Immunocytochemistry/ Immunofluorescence

Label

Unconjugated

Antibody Source

Monoclonal Mouse IgG1 Clone # OTI3H3

Concentration

1 mg/ml

Product Specifications

Immunogen

Full length human recombinant protein of human TPRKB (NP_057142) produced in E.coli.

Reactivity Notes

Please note that this antibody is reactive to Mouse and derived from the same host, Mouse. Mouse-On-Mouse blocking reagent may be needed for IHC and ICC experiments to reduce high background signal. You can find these reagents under catalog numbers PK-2200-NB and MP-2400-NB. Please contact Technical Support if you have any questions.

Clonality

Monoclonal

Host

Mouse

Isotype

IgG1

Theoretical MW

19.5 kDa.
Disclaimer note: The observed molecular weight of the protein may vary from the listed predicted molecular weight due to post translational modifications, post translation cleavages, relative charges, and other experimental factors.

Description

Novus Biologicals Mouse TPRKB Antibody (OTI3H3) (NBP2-03885) is a monoclonal antibody validated for use in IHC, WB, Flow and ICC/IF. All Novus Biologicals antibodies are covered by our 100% guarantee.

Scientific Data Images for TPRKB Antibody (OTI3H3)

Western Blot: TPRKB Antibody (3H3) [NBP2-03885] Analysis of extracts (35ug) from 9 different cell lines by usin g anti-TPRKB monoclonal antibody (HepG2: human; HeLa: human; SVT2: mouse; A549: human; COS7: monkey; Jurkat: human; MDCK: canine; PC12: rat; MCF7: human).
Immunocytochemistry/ Immunofluorescence: TPRKB Antibody (OTI3H3) [NBP2-03885]

Immunocytochemistry/ Immunofluorescence: TPRKB Antibody (OTI3H3) [NBP2-03885]

Immunocytochemistry/Immunofluorescence: TPRKB Antibody (3H3) [NBP2-03885] - Staining of COS7 cells transiently transfected by pCMV6-ENTRY TPRKB.
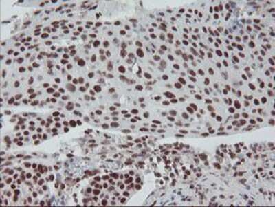
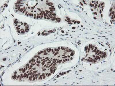
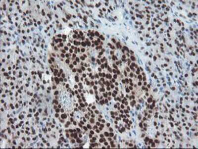
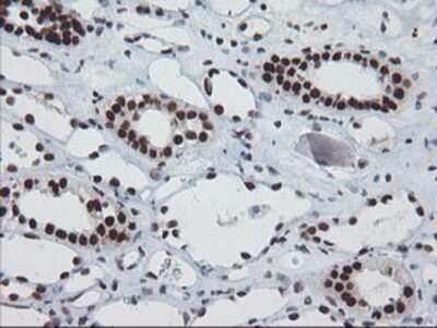
Immunohistochemistry-Paraffin: TPRKB Antibody (OTI3H3) [NBP2-03885]

Immunohistochemistry-Paraffin: TPRKB Antibody (OTI3H3) [NBP2-03885]

Immunohistochemistry-Paraffin: TPRKB Antibody (3H3) [NBP2-03885] - Staining of paraffin-embedded Human tonsil using anti-TPRKB mouse monoclonal antibody.

Applications for TPRKB Antibody (OTI3H3)

Application
Recommended Usage

Flow Cytometry

1:100

Immunocytochemistry/ Immunofluorescence

1:100

Immunohistochemistry

1:150

Immunohistochemistry-Paraffin

1:150

Western Blot

1:500-1000

Formulation, Preparation, and Storage

Purification

Immunogen affinity purified

Formulation

PBS (pH 7.3), 1.0% BSA and 50% Glycerol

Preservative

0.02% Sodium Azide

Concentration

1 mg/ml

Shipping

The product is shipped with polar packs. Upon receipt, store it immediately at the temperature recommended below.

Stability & Storage

Store at -20C. Avoid freeze-thaw cycles.

Background: TPRKB

Alternate Names

CGI-121, PRPK (p53-related protein kinase)-binding protein, PRPK-binding protein, TP53RK binding protein, TP53RK-binding protein

Entrez Gene IDs

51002 (Human)

Gene Symbol

TPRKB

Additional TPRKB Products

Product Documents for TPRKB Antibody (OTI3H3)

Certificate of Analysis

To download a Certificate of Analysis, please enter a lot number in the search box below.

Product Specific Notices for TPRKB Antibody (OTI3H3)

This product is for research use only and is not approved for use in humans or in clinical diagnosis. Primary Antibodies are guaranteed for 1 year from date of receipt.

Loading...
Loading...
Loading...
Loading...
Loading...