Skip to main content

TPR Antibody - BSA Free

Novus Biologicals, part of Bio-Techne | Catalog # NBP1-89452

Novus Biologicals, part of Bio-Techne
Catalog #
Availability
Size / Price
Qty
Loading...
NBP1-89452
NBP1-89452-25ul

Key Product Details

Validated by

Independent Antibodies

Species Reactivity

Validated:

Human

Predicted:

Rat (90%). Backed by our 100% Guarantee.

Applications

Immunohistochemistry, Immunohistochemistry-Paraffin, Western Blot, Immunocytochemistry/ Immunofluorescence, Knockdown Validated

Label

Unconjugated

Antibody Source

Polyclonal Rabbit IgG

Format

BSA Free

Concentration

Concentrations vary lot to lot. See vial label for concentration. If unlisted please contact technical services.

Product Specifications

Immunogen

This antibody was developed against Recombinant Protein corresponding to amino acids: KMASVRQHLEETTQKAESQLLECKASWEERERMLKDEVSKCVCRCEDLEKQNRLLHDQIEKLSDKVVASVKEGVQGPLNVSLSEEGKSQE

Reactivity Notes

Immunogen displays the following percentage of sequence identity for non-tested species: Mouse (88%)

Clonality

Polyclonal

Host

Rabbit

Isotype

IgG

Description

Novus Biologicals Rabbit TPR Antibody - BSA Free (NBP1-89452) is a polyclonal antibody validated for use in IHC, WB and ICC/IF. All Novus Biologicals antibodies are covered by our 100% guarantee.

Scientific Data Images for TPR Antibody - BSA Free

Immunohistochemistry-Paraffin: TPR Antibody [NBP1-89452]

Immunohistochemistry-Paraffin: TPR Antibody [NBP1-89452]

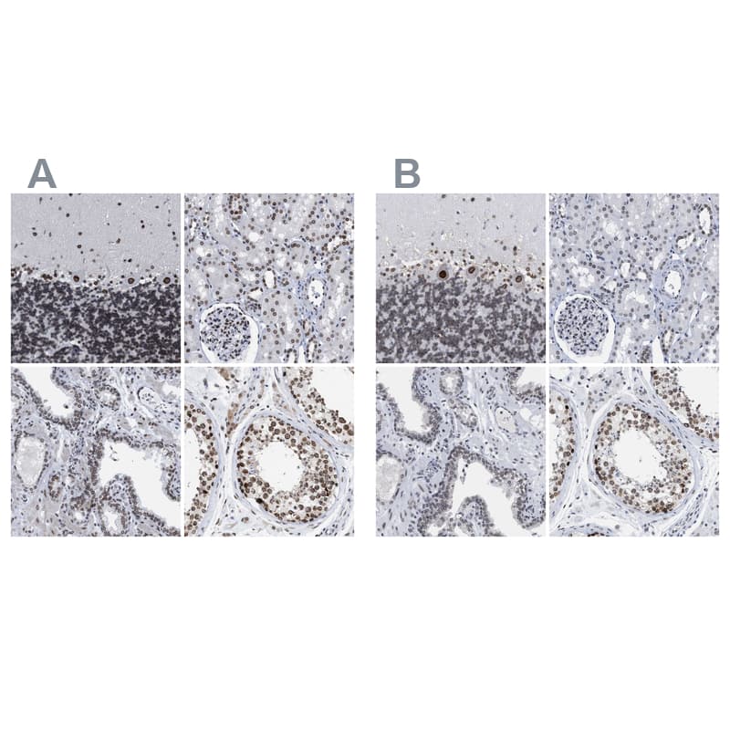
Immunohistochemistry-Paraffin: TPR Antibody [NBP1-89452] - Staining of human prostate shows strong positivity in nuclear membrane in glandular cells.
Immunohistochemistry-Paraffin: TPR Antibody [NBP1-89452]

Immunohistochemistry-Paraffin: TPR Antibody [NBP1-89452]

Immunohistochemistry-Paraffin: TPR Antibody [NBP1-89452] - Staining of human testis shows strong positivity in nuclear membrane in cells in seminiferous ducts.
Immunohistochemistry-Paraffin: TPR Antibody [NBP1-89452]

Immunohistochemistry-Paraffin: TPR Antibody [NBP1-89452]

Immunohistochemistry-Paraffin: TPR Antibody [NBP1-89452] - Staining of human kidney shows strong positivity in nuclear membrane in cells in tubules.

Applications for TPR Antibody - BSA Free

Application
Recommended Usage

Immunocytochemistry/ Immunofluorescence

0.25-2 ug/ml

Immunohistochemistry

1:10-1:500

Immunohistochemistry-Paraffin

1:50-1:200

Western Blot

0.04-0.4 ug/ml
Application Notes
For IHC-Paraffin, HIER pH 6 retrieval is recommended. Immunocytochemistry/Immunofluorescence Fixation Permeabilization: Use PFA/Triton X-100.

Formulation, Preparation, and Storage

Purification

Affinity purified

Formulation

PBS (pH 7.2) and 40% Glycerol

Format

BSA Free

Preservative

0.02% Sodium Azide

Concentration

Concentrations vary lot to lot. See vial label for concentration. If unlisted please contact technical services.

Shipping

The product is shipped with polar packs. Upon receipt, store it immediately at the temperature recommended below.

Stability & Storage

Store at 4C short term. Aliquot and store at -20C long term. Avoid freeze-thaw cycles.

Background: TPR

TPR encodes a large coiled-coil protein that forms intranuclear filaments attached to the inner surface of nuclear pore complexes (NPCs). The protein directly interacts with several components of the NPC. It is required for the nuclear export of mRNAs and some proteins. Oncogenic fusions of the 5' end of this gene with several different kinase genes occur in some neoplasias.

Alternate Names

nuclear pore complex-associated protein TPR, nucleoprotein TPR, translocated promoter region (to activated MET oncogene), tumor potentiating region

Gene Symbol

TPR

Additional TPR Products

Product Documents for TPR Antibody - BSA Free

Certificate of Analysis

To download a Certificate of Analysis, please enter a lot number in the search box below.

Product Specific Notices for TPR Antibody - BSA Free

This product is for research use only and is not approved for use in humans or in clinical diagnosis. Primary Antibodies are guaranteed for 1 year from date of receipt.

Loading...
Loading...
Loading...
Loading...