Skip to main content

TPR Antibody - BSA Free

Novus Biologicals, part of Bio-Techne | Catalog # NBP1-89448

Novus Biologicals, part of Bio-Techne
Catalog #
Availability
Size / Price
Qty
Loading...
NBP1-89448
NBP1-89448-25ul

Key Product Details

Validated by

Independent Antibodies

Species Reactivity

Validated:

Human

Predicted:

Mouse (100%), Rat (100%). Backed by our 100% Guarantee.

Applications

Immunohistochemistry, Immunohistochemistry-Paraffin, Immunocytochemistry/ Immunofluorescence

Label

Unconjugated

Antibody Source

Polyclonal Rabbit IgG

Format

BSA Free

Concentration

Concentrations vary lot to lot. See vial label for concentration. If unlisted please contact technical services.

Product Specifications

Immunogen

This antibody was developed against Recombinant Protein corresponding to amino acids: RRPPHPLPPRLTIHAPPQELGPPVQRIQMTRRQSVGRGLQLTPGIGGMQQHFFDDEDRTVPSTPTLVVPHRTDGFAEAIHSPQVAGVPRFRFGPPEDMPQTSSSHS

Clonality

Polyclonal

Host

Rabbit

Isotype

IgG

Scientific Data Images for TPR Antibody - BSA Free

Immunocytochemistry/ Immunofluorescence: TPR Antibody [NBP1-89448]

Immunocytochemistry/ Immunofluorescence: TPR Antibody [NBP1-89448]

Immunocytochemistry/Immunofluorescence: TPR Antibody [NBP1-89448] - Staining of human cell line A-431 shows localization to nuclear membrane.
TPR Antibody - BSA Free Immunohistochemistry-Paraffin: TPR Antibody - BSA Free [NBP1-89448]

Immunohistochemistry-Paraffin: TPR Antibody - BSA Free [NBP1-89448]

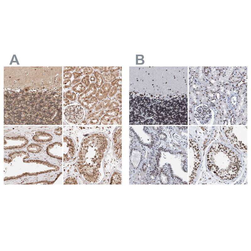
Staining of human cerebellum, kidney, prostate and testis using Anti-TPR antibody NBP1-89448 (A) shows similar protein distribution across tissues to independent antibody NBP1-89452 (B).
Immunohistochemistry-Paraffin: TPR Antibody [NBP1-89448]

Immunohistochemistry-Paraffin: TPR Antibody [NBP1-89448]

Immunohistochemistry-Paraffin: TPR Antibody [NBP1-89448] - Staining of human cerebellum shows strong positivity in nuclear membrane in Purkinje cells.

Applications for TPR Antibody - BSA Free

Application
Recommended Usage

Immunocytochemistry/ Immunofluorescence

0.25-2 ug/ml

Immunohistochemistry

1:20 - 1:50

Immunohistochemistry-Paraffin

1:20 - 1:50
Application Notes
For IHC-Paraffin, HIER pH 6 retrieval is recommended. ICC/IF,Fixation Permeabilization: Use PFA/Triton X-100.

Formulation, Preparation, and Storage

Purification

Affinity purified

Formulation

PBS (pH 7.2) and 40% Glycerol

Format

BSA Free

Preservative

0.02% Sodium Azide

Concentration

Concentrations vary lot to lot. See vial label for concentration. If unlisted please contact technical services.

Shipping

The product is shipped with polar packs. Upon receipt, store it immediately at the temperature recommended below.

Stability & Storage

Store at 4C short term. Aliquot and store at -20C long term. Avoid freeze-thaw cycles.

Background: TPR

TPR encodes a large coiled-coil protein that forms intranuclear filaments attached to the inner surface of nuclear pore complexes (NPCs). The protein directly interacts with several components of the NPC. It is required for the nuclear export of mRNAs and some proteins. Oncogenic fusions of the 5' end of this gene with several different kinase genes occur in some neoplasias.

Alternate Names

nuclear pore complex-associated protein TPR, nucleoprotein TPR, translocated promoter region (to activated MET oncogene), tumor potentiating region

Gene Symbol

TPR

Additional TPR Products

Product Documents for TPR Antibody - BSA Free

Certificate of Analysis

To download a Certificate of Analysis, please enter a lot number in the search box below.

Product Specific Notices for TPR Antibody - BSA Free

This product is for research use only and is not approved for use in humans or in clinical diagnosis. Primary Antibodies are guaranteed for 1 year from date of receipt.

Loading...
Loading...
Loading...
Loading...