Skip to main content

TPR Antibody

Novus Biologicals, part of Bio-Techne | Catalog # NB100-2864

Novus Biologicals, part of Bio-Techne
Catalog #
Availability
Size / Price
Qty
Loading...
NB100-2864

Key Product Details

Validated by

Independent Antibodies, Biological Validation

Species Reactivity

Human

Applications

Immunoprecipitation, Western Blot

Label

Unconjugated

Antibody Source

Polyclonal Rabbit IgG

Concentration

0.2 mg/ml

Product Specifications

Immunogen

The immunogen recognized by this antibody maps to a region between residue 600 and 650 of human Translocated Promoter Region Protein using the numbering given in entry NP_003283.1 (GeneID 7175).

Clonality

Polyclonal

Host

Rabbit

Isotype

IgG

Theoretical MW

267 kDa.
Disclaimer note: The observed molecular weight of the protein may vary from the listed predicted molecular weight due to post translational modifications, post translation cleavages, relative charges, and other experimental factors.

Description

Novus Biologicals Rabbit TPR Antibody (NB100-2864) is a polyclonal antibody validated for use in WB and IP. All Novus Biologicals antibodies are covered by our 100% guarantee.

Scientific Data Images for TPR Antibody

Western Blot: TPR Antibody [NB100-2864]

Western Blot: TPR Antibody [NB100-2864]

Western Blot: TPR Antibody [NB100-2864] - Extracts from human cancer (HCC44) cell line. Image from verified customer review.
Western Blot: TPR Antibody [NB100-2864]

Western Blot: TPR Antibody [NB100-2864]

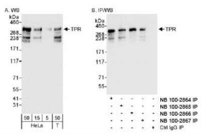
Western Blot: TPR Antibody [NB100-2864] - Detection of Human TPR on HeLa whole cell lysate using NB100-2864. TPR was also immunoprecipitated by rabbit anti-TPR antibodies NB100-2865, NB100-2866 and NB100-2867.

Applications for TPR Antibody

Application
Recommended Usage

Immunoprecipitation

2-5 ug/mg lysate

Western Blot

1:2000-1:10000

Reviewed Applications

Read 1 review rated 4 using NB100-2864 in the following applications:

Formulation, Preparation, and Storage

Purification

Immunogen affinity purified

Formulation

TBS and 0.1% BSA

Preservative

0.09% Sodium Azide

Concentration

0.2 mg/ml

Shipping

The product is shipped with polar packs. Upon receipt, store it immediately at the temperature recommended below.

Stability & Storage

Store at 4C. Do not freeze.

Background: TPR

Aspartylglucosaminidase is involved in the catabolism of N-linked oligosaccharides of glycoproteins. It cleaves asparagine from N-acetylglucosamines as one of the final steps in the lysosomal breakdown of glycoproteins. The lysosomal storage disease aspartylglycosaminuria is caused by a deficiency in the AGA enzyme.

Alternate Names

nuclear pore complex-associated protein TPR, nucleoprotein TPR, translocated promoter region (to activated MET oncogene), tumor potentiating region

Entrez Gene IDs

7175 (Human)

Gene Symbol

TPR

UniProt

Additional TPR Products

Product Documents for TPR Antibody

Certificate of Analysis

To download a Certificate of Analysis, please enter a lot number in the search box below.

Product Specific Notices for TPR Antibody

This product is for research use only and is not approved for use in humans or in clinical diagnosis. Primary Antibodies are guaranteed for 1 year from date of receipt.

Loading...
Loading...
Loading...
Loading...