TPGS2 Antibody - BSA Free
Novus Biologicals, part of Bio-Techne | Catalog # NBP1-85062
Key Product Details
Species Reactivity
Validated:
Human
Predicted:
Mouse (95%), Rat (95%). Backed by our 100% Guarantee.
Applications
Immunohistochemistry, Immunohistochemistry-Paraffin, Western Blot
Label
Unconjugated
Antibody Source
Polyclonal Rabbit IgG
Format
BSA Free
Concentration
Concentrations vary lot to lot. See vial label for concentration. If unlisted please contact technical services.
Product Specifications
Immunogen
This antibody was developed against Recombinant Protein corresponding to amino acids: TFTAYYRLLITHLGLPQWQYAFTSYGISPQAKQWFSMYKPITYNTNLLTEETDSFVNKLDPSKVFKSKNKIVIPK
Clonality
Polyclonal
Host
Rabbit
Isotype
IgG
Scientific Data Images for TPGS2 Antibody - BSA Free
Western Blot: TPGS2 Antibody [NBP1-85062]
Western Blot: TPGS2 Antibody [NBP1-85062] - Analysis in control (vector only transfected HEK293T lysate) and TPGS2 over-expression lysate (Co-expressed with a C-terminal myc-DDK tag (3.1 kDa) in mammalian HEK293T cells).Immunohistochemistry-Paraffin: TPGS2 Antibody [NBP1-85062]
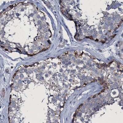
Immunohistochemistry-Paraffin: TPGS2 Antibody [NBP1-85062] - Staining of human testis shows cytoplasmic positivity in cells in seminiferous ducts.Applications for TPGS2 Antibody - BSA Free
Application
Recommended Usage
Immunohistochemistry
1:50 - 1:200
Immunohistochemistry-Paraffin
1:50 - 1:200
Western Blot
0.04-0.4 ug/ml
Application Notes
For IHC-Paraffin, HIER pH 6 retrieval is recommended.
Formulation, Preparation, and Storage
Purification
Affinity purified
Formulation
PBS (pH 7.2) and 40% Glycerol
Format
BSA Free
Preservative
0.02% Sodium Azide
Concentration
Concentrations vary lot to lot. See vial label for concentration. If unlisted please contact technical services.
Shipping
The product is shipped with polar packs. Upon receipt, store it immediately at the temperature recommended below.
Stability & Storage
Store at 4C short term. Aliquot and store at -20C long term. Avoid freeze-thaw cycles.
Background: TPGS2
Alternate Names
chromosome 18 open reading frame 10, DKFZp586M1523, HsT3006, L17, PGs2, tubulin polyglutamylase complex subunit 2
Gene Symbol
TPGS2
Additional TPGS2 Products
Product Documents for TPGS2 Antibody - BSA Free
Product Specific Notices for TPGS2 Antibody - BSA Free
This product is for research use only and is not approved for use in humans or in clinical diagnosis. Primary Antibodies are guaranteed for 1 year from date of receipt.
Loading...
Loading...
Loading...
Loading...