Skip to main content

TPD52L2/D54 Antibody - BSA Free

Novus Biologicals, part of Bio-Techne | Catalog # NBP3-45753

Novus Biologicals, part of Bio-Techne
Catalog #
Availability
Size / Price
Qty
Loading...
NBP3-45753

Key Product Details

Species Reactivity

Human, Mouse, Rat

Applications

Immunohistochemistry, Western Blot, ELISA, Immunocytochemistry/ Immunofluorescence, Immunoprecipitation

Label

Unconjugated

Antibody Source

Polyclonal Rabbit IgG

Format

BSA Free

Concentration

Please see the vial label for concentration. If unlisted please contact technical services.

Product Specifications

Immunogen

tumor protein D52-like 2. (Uniprot# O43399)

Clonality

Polyclonal

Host

Rabbit

Isotype

IgG

Description

Novus Biologicals Rabbit TPD52L2/D54 Antibody - BSA Free (NBP3-45753) is a polyclonal antibody validated for use in IHC, WB, ELISA, ICC/IF and IP. All Novus Biologicals antibodies are covered by our 100% guarantee.

Scientific Data Images for TPD52L2/D54 Antibody - BSA Free

TPD52L2/D54 Antibody - BSA Free

Immunoprecipitation: TPD52L2/D54 Antibody - BSA Free [NBP3-45753] -

Immunoprecipitation: TPD52L2/D54 Antibody - BSA Free [NBP3-45753] - IP Result of anti-TPD52L2/D54 (IP:, 3ug; Detection: 1:800) with HEK-293 cells lysate 2400ug.
TPD52L2/D54 Antibody - BSA Free

Western Blot: TPD52L2/D54 Antibody - BSA Free [NBP3-45753] -

Western Blot: TPD52L2/D54 Antibody - BSA Free [NBP3-45753] - HEK-293 cells were subjected to SDS PAGE followed by western blot with (TPD52L2/D54 antibody) at dilution of 1:800
TPD52L2/D54 Antibody - BSA Free

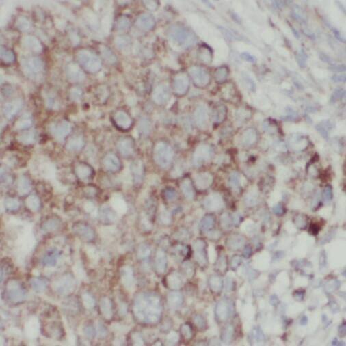
Immunohistochemistry: TPD52L2/D54 Antibody - BSA Free [NBP3-45753] -

Immunohistochemistry: TPD52L2/D54 Antibody - BSA Free [NBP3-45753] - Immunohistochemistry of paraffin-embedded human breast cancer using (TPD52L2/D54 antibody) at dilution of 1:50

Applications for TPD52L2/D54 Antibody - BSA Free

Application
Recommended Usage

Immunocytochemistry/ Immunofluorescence

1:20-1:200

Immunohistochemistry

1:20-1:200

Immunoprecipitation

1:200-1:1000

Western Blot

1:500-1:2000
Application Notes
Theoretical Molecular Weight is 25-30 kDa

Formulation, Preparation, and Storage

Purification

Immunogen affinity purified

Formulation

PBS, 50% Glycerol, pH (7.3)

Format

BSA Free

Preservative

0.02% Sodium Azide

Concentration

Please see the vial label for concentration. If unlisted please contact technical services.

Shipping

The product is shipped with polar packs. Upon receipt, store it immediately at the temperature recommended below.

Stability & Storage

Store at -20C. Avoid freeze-thaw cycles.

Background: TPD52L2/D54

Alternate Names

DKFZp686A1765, HCCR-binding protein 2, tumor protein D52-like 2hD54D54, tumor protein D54

Gene Symbol

TPD52L2

Additional TPD52L2/D54 Products

Product Documents for TPD52L2/D54 Antibody - BSA Free

Certificate of Analysis

To download a Certificate of Analysis, please enter a lot number in the search box below.

Product Specific Notices for TPD52L2/D54 Antibody - BSA Free

This product is for research use only and is not approved for use in humans or in clinical diagnosis. Primary Antibodies are guaranteed for 1 year from date of receipt.

Loading...
Loading...
Loading...
Loading...