Skip to main content

TPD52 Antibody - BSA Free

Novus Biologicals, part of Bio-Techne | Catalog # NBP3-35112

Novus Biologicals, part of Bio-Techne
Catalog #
Availability
Size / Price
Qty
Loading...
NBP3-35112-20ul
NBP3-35112-100ul

Key Product Details

Species Reactivity

Human, Mouse, Rat

Applications

ELISA, Immunohistochemistry, Immunohistochemistry-Paraffin, Western Blot

Label

Unconjugated

Antibody Source

Polyclonal Rabbit IgG

Format

BSA Free

Concentration

Please see the vial label for concentration. If unlisted please contact technical services.

Product Specifications

Immunogen

Recombinant fusion protein containing a sequence corresponding to amino acids 1-184 of human TPD52 (NP_005070.1).

Sequence:
MDRGEQGLLRTDPVPEEGEDVAATISATETLSEEEQEELRRELAKVEEEIQTLSQVLAAKEKHLAEIKRKLGINSLQELKQNIAKGWQDVTATSAYKKTSETLSQAGQKASAAFSSVGSVITKKLEDVKNSPTFKSFEEKVENLKSKVGGTKPAGGDFGEVLNSAANASATTTEPLPEKTQESL

Clonality

Polyclonal

Host

Rabbit

Isotype

IgG

Theoretical MW

24 kDa.
Disclaimer note: The observed molecular weight of the protein may vary from the listed predicted molecular weight due to post translational modifications, post translation cleavages, relative charges, and other experimental factors.

Description

Novus Biologicals Rabbit TPD52 Antibody - BSA Free (NBP3-35112) is a polyclonal antibody validated for use in IHC, WB and ELISA. All Novus Biologicals antibodies are covered by our 100% guarantee.

Scientific Data Images for TPD52 Antibody - BSA Free

TPD52 Antibody

Western Blot: TPD52 Antibody [NBP3-35112] -

Western Blot: TPD52 Antibody [NBP3-35112] - Western blot analysis of various lysates using TPD52 Rabbit pAb at 1:1000 dilution.
Secondary antibody: HRP-conjugated Goat anti-Rabbit IgG (H+L) at 1:10000 dilution.
Lysates/proteins: 25ug per lane.
Blocking buffer: 3% nonfat dry milk in TBST.
Detection: ECL Basic Kit.
Exposure time: 10s.
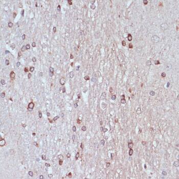
TPD52 Antibody

Immunohistochemistry: TPD52 Antibody [NBP3-35112] -

Immunohistochemistry: TPD52 Antibody [NBP3-35112] - Immunohistochemistry analysis of paraffin-embedded Rat brain using TPD52 Rabbit pAb at dilution of 1:100 (40x lens). Microwave antigen retrieval performed with 0.01M PBS Buffer (pH 7.2) prior to IHC staining.
TPD52 Antibody

Immunohistochemistry: TPD52 Antibody [NBP3-35112] -

Immunohistochemistry: TPD52 Antibody [NBP3-35112] - Immunohistochemistry analysis of paraffin-embedded Human tonsil using TPD52 Rabbit pAb at dilution of 1:100 (40x lens). Microwave antigen retrieval performed with 0.01M PBS Buffer (pH 7.2) prior to IHC staining.

Applications for TPD52 Antibody - BSA Free

Application
Recommended Usage

Immunohistochemistry-Paraffin

1:50 - 1:200

Western Blot

1:1000 - 1:2000

Formulation, Preparation, and Storage

Purification

Affinity purified

Formulation

PBS (pH 7.3), 50% glycerol

Format

BSA Free

Preservative

0.02% Sodium Azide

Concentration

Please see the vial label for concentration. If unlisted please contact technical services.

Shipping

The product is shipped with polar packs. Upon receipt, store it immediately at the temperature recommended below.

Stability & Storage

Store at -20C. Avoid freeze-thaw cycles.

Background: TPD52

Alternate Names

D52, hD52, N8L, PC-1, PrLZ, prostate and colon associated protein, prostate leucine zipper, Protein N8, tumor protein D52

Gene Symbol

TPD52

Additional TPD52 Products

Product Documents for TPD52 Antibody - BSA Free

Certificate of Analysis

To download a Certificate of Analysis, please enter a lot number in the search box below.

Product Specific Notices for TPD52 Antibody - BSA Free

This product is for research use only and is not approved for use in humans or in clinical diagnosis. Primary Antibodies are guaranteed for 1 year from date of receipt.

Loading...
Loading...
Loading...
Loading...