TPD52 Antibody - BSA Free
Novus Biologicals, part of Bio-Techne | Catalog # NBP1-85327
Key Product Details
Validated by
Orthogonal Validation, Independent Antibodies
Species Reactivity
Human
Applications
Immunohistochemistry, Immunohistochemistry-Paraffin
Label
Unconjugated
Antibody Source
Polyclonal Rabbit IgG
Format
BSA Free
Concentration
Concentrations vary lot to lot. See vial label for concentration. If unlisted please contact technical services.
Product Specifications
Immunogen
This antibody was developed against Recombinant Protein corresponding to amino acids: MDLYEDYQSPFDFDAGVNKSYLYLSPSGNSSPPGSPTLQKFGLLRTDPVPEEGEDVAATISATETLSEEEQEELRRELAKVEEEIQTL
Clonality
Polyclonal
Host
Rabbit
Isotype
IgG
Scientific Data Images for TPD52 Antibody - BSA Free
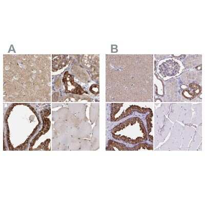
Immunohistochemistry-Paraffin: TPD52 Antibody [NBP1-85327]
Immunohistochemistry-Paraffin: TPD52 Antibody [NBP1-85327] - Staining of human kidney.Immunohistochemistry-Paraffin: TPD52 Antibody [NBP1-85327]
Immunohistochemistry-Paraffin: TPD52 Antibody [NBP1-85327] - Staining of human tonsil shows strong cytoplasmic positivity in most cells.Immunohistochemistry-Paraffin: TPD52 Antibody [NBP1-85327]
Immunohistochemistry-Paraffin: TPD52 Antibody [NBP1-85327] - Staining of human prostate shows high expression.Applications for TPD52 Antibody - BSA Free
Application
Recommended Usage
Immunohistochemistry
1:2500 - 1:5000
Immunohistochemistry-Paraffin
1:2500 - 1:5000
Application Notes
For IHC-Paraffin, HIER pH 6 retrieval is recommended.
Formulation, Preparation, and Storage
Purification
Affinity purified
Formulation
PBS (pH 7.2) and 40% Glycerol
Format
BSA Free
Preservative
0.02% Sodium Azide
Concentration
Concentrations vary lot to lot. See vial label for concentration. If unlisted please contact technical services.
Shipping
The product is shipped with polar packs. Upon receipt, store it immediately at the temperature recommended below.
Stability & Storage
Store at 4C short term. Aliquot and store at -20C long term. Avoid freeze-thaw cycles.
Background: TPD52
Alternate Names
D52, hD52, N8L, PC-1, PrLZ, prostate and colon associated protein, prostate leucine zipper, Protein N8, tumor protein D52
Gene Symbol
TPD52
Additional TPD52 Products
Product Documents for TPD52 Antibody - BSA Free
Product Specific Notices for TPD52 Antibody - BSA Free
This product is for research use only and is not approved for use in humans or in clinical diagnosis. Primary Antibodies are guaranteed for 1 year from date of receipt.
Loading...
Loading...
Loading...
Loading...