Skip to main content

TP73-AS1 Antibody (OTI2B9)

Novus Biologicals, part of Bio-Techne | Catalog # NBP2-01283

Novus Biologicals, part of Bio-Techne

Key Product Details

Species Reactivity

Human

Applications

Immunohistochemistry, Immunohistochemistry-Paraffin, Western Blot, Immunocytochemistry/ Immunofluorescence

Label

Unconjugated

Antibody Source

Monoclonal Mouse IgG2A Clone # OTI2B9

Concentration

0.65 mg/ml

Product Specifications

Immunogen

Full length human recombinant protein of human KIAA0495(NP_997198)

Clonality

Monoclonal

Host

Mouse

Isotype

IgG2A

Theoretical MW

20.4 kDa.
Disclaimer note: The observed molecular weight of the protein may vary from the listed predicted molecular weight due to post translational modifications, post translation cleavages, relative charges, and other experimental factors.

Description

Novus Biologicals Mouse TP73-AS1 Antibody (OTI2B9) (NBP2-01283) is a monoclonal antibody validated for use in IHC, WB and ICC/IF. All Novus Biologicals antibodies are covered by our 100% guarantee.

Scientific Data Images for TP73-AS1 Antibody (OTI2B9)

Western Blot: TP73-AS1 Antibody (OTI2B9) [NBP2-01283]

Western Blot: TP73-AS1 Antibody (OTI2B9) [NBP2-01283]

Western Blot: TP73-AS1 Antibody (2B9) [NBP2-01283] - HEK293T cells were transfected with the pCMV6-ENTRY control (Left lane) or pCMV6-ENTRY TP73-AS1 (Right lane) cDNA for 48 hrs and lysed. Equivalent amounts of cell lysates (5 ug per lane) were separated by SDS-PAGE and immunoblotted with anti-TP73-AS1.
Immunocytochemistry/ Immunofluorescence: TP73-AS1 Antibody (OTI2B9) [NBP2-01283]

Immunocytochemistry/ Immunofluorescence: TP73-AS1 Antibody (OTI2B9) [NBP2-01283]

Immunocytochemistry/Immunofluorescence: TP73-AS1 Antibody (OTI2B9) [NBP2-01283] - Staining of COS7 cells transiently transfected by pCMV6-ENTRY TP73-AS1.
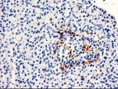
Immunohistochemistry-Paraffin: TP73-AS1 Antibody (OTI2B9) [NBP2-01283]

Immunohistochemistry-Paraffin: TP73-AS1 Antibody (OTI2B9) [NBP2-01283]

Immunohistochemistry-Paraffin: TP73-AS1 Antibody (2B9) [NBP2-01283] - Staining of paraffin-embedded Human pancreas tissue using anti-TP73-AS1 mouse monoclonal antibody.

Applications for TP73-AS1 Antibody (OTI2B9)

Application
Recommended Usage

Immunocytochemistry/ Immunofluorescence

1:100

Immunohistochemistry

1:150

Immunohistochemistry-Paraffin

1:150

Western Blot

1:2000

Formulation, Preparation, and Storage

Purification

Immunogen affinity purified

Formulation

PBS (pH 7.3), 1.0% BSA and 50% Glycerol

Preservative

0.02% Sodium Azide

Concentration

0.65 mg/ml

Shipping

The product is shipped with polar packs. Upon receipt, store it immediately at the temperature recommended below.

Stability & Storage

Store at -20C. Avoid freeze-thaw cycles.

Background: TP73-AS1

Alternate Names

KIAA0495, MGC138189, PDAM

Entrez Gene IDs

57212 (Human)

Gene Symbol

TP73-AS1

Additional TP73-AS1 Products

Product Documents for TP73-AS1 Antibody (OTI2B9)

Certificate of Analysis

To download a Certificate of Analysis, please enter a lot number in the search box below.

Product Specific Notices for TP73-AS1 Antibody (OTI2B9)

This product is for research use only and is not approved for use in humans or in clinical diagnosis. Primary Antibodies are guaranteed for 1 year from date of receipt.

Loading...
Loading...
Loading...
Loading...