Skip to main content

TOMM20 Antibody (ST04-72)

Novus Biologicals, part of Bio-Techne | Catalog # NBP2-67501

Recombinant Monoclonal Antibody.
Novus Biologicals, part of Bio-Techne
Catalog #
Availability
Size / Price
Qty
Loading...
NBP2-67501

Key Product Details

Species Reactivity

Validated:

Human, Mouse, Rat

Cited:

Human, Mouse, Rat

Applications

Validated:

Immunohistochemistry, Immunohistochemistry-Paraffin, Western Blot, Flow Cytometry, Immunocytochemistry/ Immunofluorescence, Immunoprecipitation

Cited:

Immunohistochemistry-Frozen, Western Blot, Immunocytochemistry/ Immunofluorescence

Label

Unconjugated

Antibody Source

Recombinant Monoclonal Rabbit IgG Clone # ST04-72 expressed in HEK293

Concentration

1 mg/ml

Product Specifications

Immunogen

Recombinant protein within Human TOMM20 aa 1-145 / 145. (SwissProt: Q15388 Human; SwissProt: Q9DCC8 Mouse; SwissProt: Q62760 Rat)

Localization

Mitochondrion outer membrane.

Clonality

Monoclonal

Host

Rabbit

Isotype

IgG

Description

Novus Biologicals Rabbit TOMM20 Antibody (ST04-72) (NBP2-67501) is a recombinant monoclonal antibody validated for use in IHC, WB, Flow, ICC/IF and IP. Anti-TOMM20 Antibody: Cited in 5 publications. All Novus Biologicals antibodies are covered by our 100% guarantee.

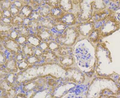
Scientific Data Images for TOMM20 Antibody (ST04-72)

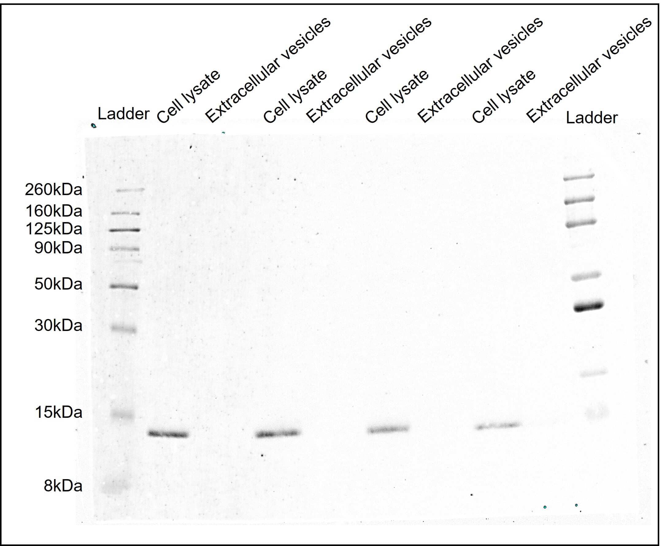
Western Blot: TOMM20 Antibody (ST04-72) [NBP2-67501]

Western Blot: TOMM20 Antibody (ST04-72) [NBP2-67501]

Western Blot: TOMM20 Antibody (ST04-72) [NBP2-67501] - Analysis of TOMM20 on different lysates using anti-TOMM20 antibody at 1/1,000 dilution. Positive control: Lane 1: Hela Lane 2: MCF-7 Lane 3: F9 Lane 4: PC12
Immunocytochemistry/ Immunofluorescence: TOMM20 Antibody (ST04-72) [NBP2-67501]

Immunocytochemistry/ Immunofluorescence: TOMM20 Antibody (ST04-72) [NBP2-67501]

Immunocytochemistry/Immunofluorescence: TOMM20 Antibody (ST04-72) [NBP2-67501] - Staining TOMM20 in HepG2 cells (green). The nuclear counter stain is DAPI (blue). Cells were fixed in paraformaldehyde, permeabilised with 0.25% Triton X100/PBS.
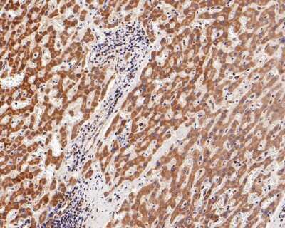
Immunohistochemistry-Paraffin: TOMM20 Antibody (ST04-72) [NBP2-67501]

Immunohistochemistry-Paraffin: TOMM20 Antibody (ST04-72) [NBP2-67501]

Immunohistochemistry-Paraffin: TOMM20 Antibody (ST04-72) [NBP2-67501] - Analysis of paraffin-embedded human liver tissue with Rabbit anti-TOMM20 antibody washed with ddH2O and PBS, and then probed with the primary antibody at 1/800 dilution for 1 hour at room temperature. The detection was performed using an HRP conjugated compact polymer system. DAB was used as the chromogen. Tissues were counterstained with hematoxylin and mounted with DPX.

Applications for TOMM20 Antibody (ST04-72)

Application
Recommended Usage

Flow Cytometry

1:50-1:100

Immunocytochemistry/ Immunofluorescence

IF-Cell:1:1,000, IF-Tissue:1:50-1:200

Immunohistochemistry-Paraffin

1:50-1:800

Immunoprecipitation

Use at an assay dependent concentration.

Western Blot

1:2,000

Reviewed Applications

Read 2 reviews rated 5 using NBP2-67501 in the following applications:

Formulation, Preparation, and Storage

Purification

Protein A purified

Formulation

TBS (pH7.4), 0.05% BSA, 40% Glycerol

Preservative

0.05% Sodium Azide

Concentration

1 mg/ml

Shipping

The product is shipped with polar packs. Upon receipt, store it immediately at the temperature recommended below.

Stability & Storage

Store at 4C short term. Aliquot and store at -20C long term. Avoid freeze-thaw cycles.

Background: TOMM20

Central component of the receptor complex responsible for the recognition and translocation of cytosolically synthesized mitochondrial preproteins. Together with TOM22 functions as the transit peptide receptor at the surface of the mitochondrion outer membrane and facilitates the movement of preproteins into the TOM40 translocation pore

Long Name

TOMM20

Alternate Names

MAS20, mitochondrial 20 kDa outer membrane protein, mitochondrial import receptor subunit TOM20 homolo, MOM19, outer mitochondrial membrane receptor Tom20, TOM20, translocase of outer mitochondrial membrane 20 hom

Gene Symbol

TOMM20

Additional TOMM20 Products

Product Documents for TOMM20 Antibody (ST04-72)

Certificate of Analysis

To download a Certificate of Analysis, please enter a lot number in the search box below.

Product Specific Notices for TOMM20 Antibody (ST04-72)

This product is for research use only and is not approved for use in humans or in clinical diagnosis. Primary Antibodies are guaranteed for 1 year from date of receipt.

Loading...
Loading...
Loading...
Loading...
Loading...