Skip to main content

TNRC4 Antibody - BSA Free

Novus Biologicals, part of Bio-Techne | Catalog # NBP3-45168

Novus Biologicals, part of Bio-Techne
Catalog #
Availability
Size / Price
Qty
Loading...
NBP3-45168

Key Product Details

Species Reactivity

Human, Mouse

Applications

Immunohistochemistry, Western Blot, ELISA

Label

Unconjugated

Antibody Source

Polyclonal Rabbit IgG

Format

BSA Free

Concentration

Please see the vial label for concentration. If unlisted please contact technical services.

Product Specifications

Immunogen

trinucleotide repeat containing 4. (Uniprot# Q5SZQ8)

Clonality

Polyclonal

Host

Rabbit

Isotype

IgG

Theoretical MW

55 kDa.
Disclaimer note: The observed molecular weight of the protein may vary from the listed predicted molecular weight due to post translational modifications, post translation cleavages, relative charges, and other experimental factors.

Description

Novus Biologicals Rabbit TNRC4 Antibody - BSA Free (NBP3-45168) is a polyclonal antibody validated for use in IHC, WB and ELISA. All Novus Biologicals antibodies are covered by our 100% guarantee.

Scientific Data Images for TNRC4 Antibody - BSA Free

TNRC4 Antibody - BSA Free

Western Blot: TNRC4 Antibody - BSA Free [NBP3-45168] -

Western Blot: TNRC4 Antibody - BSA Free [NBP3-45168] - Mouse lung tissue were subjected to SDS PAGE followed by western blot with (TNRC4 Antibody) at dilution of 1:1000
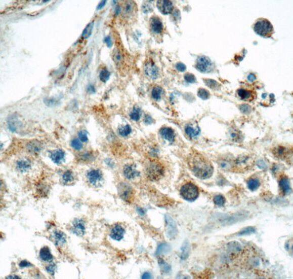
TNRC4 Antibody - BSA Free

Immunohistochemistry: TNRC4 Antibody - BSA Free [NBP3-45168] -

Immunohistochemistry: TNRC4 Antibody - BSA Free [NBP3-45168] - Immunohistochemistry of paraffin-embedded human cerebellum tissue slide using (TNRC4 Antibody) at dilution of 1:50

Applications for TNRC4 Antibody - BSA Free

Application
Recommended Usage

Immunohistochemistry

1:20-1:200

Western Blot

1:500-1:2000

Formulation, Preparation, and Storage

Purification

Immunogen affinity purified

Formulation

PBS, 50% Glycerol, pH (7.3)

Format

BSA Free

Preservative

0.02% Sodium Azide

Concentration

Please see the vial label for concentration. If unlisted please contact technical services.

Shipping

The product is shipped with polar packs. Upon receipt, store it immediately at the temperature recommended below.

Stability & Storage

Store at -20C. Avoid freeze-thaw cycles.

Background: TNRC4

Members of the CELF/BRUNOL protein family contain two N-terminal RNA recognition motif (RRM) domains, one C-terminal RRM domain, and a divergent segment of 160-230 aa between the second and third RRM domains. Members of this protein family regulate pre-mRNA alternative splicing and may also be involved in mRNA editing, and translation. While several transcript variants may exist for this gene, the full-length nature of only one has been biologically validated to date. (provided by RefSeq)

Alternate Names

BRUNOL1CAG repeat protein 4, CAG/CTG 4, CAGH4CUG-BP- and ETR-3-like factor 3, CELF-3, CUGBP, Elav-like family member 3, ERDA4ELAV-type RNA-binding protein 1, ETR-1, MGC57297, TNRC4RNA-binding protein BRUNOL-1

Gene Symbol

CELF3

Additional TNRC4 Products

Product Documents for TNRC4 Antibody - BSA Free

Certificate of Analysis

To download a Certificate of Analysis, please enter a lot number in the search box below.

Product Specific Notices for TNRC4 Antibody - BSA Free

This product is for research use only and is not approved for use in humans or in clinical diagnosis. Primary Antibodies are guaranteed for 1 year from date of receipt.

Loading...
Loading...
Loading...
Loading...