TNIK Antibody - BSA Free
Novus Biologicals, part of Bio-Techne | Catalog # NLS7401
Key Product Details
Species Reactivity
Validated:
Human, Mouse, Rat, Bat, Bovine, Canine, Chicken, Equine, Hamster, Monkey, Primate, Rabbit
Predicted:
Opossum (100%). Backed by our 100% Guarantee.
Applications
Immunocytochemistry, Immunohistochemistry, Immunohistochemistry-Paraffin
Label
Unconjugated
Antibody Source
Polyclonal Rabbit IgG
Format
BSA Free
Concentration
1.0 mg/ml
Product Specifications
Immunogen
Synthetic 18 amino acid peptide from internal region of human TNIK.
Epitope
internal domain of human
Reactivity Notes
Predicted cross-reactivity based on sequence identity: Gorilla (100%), Gibbon (100%), Marmoset (100%).
Specificity
Human TNIK. BLAST analysis of the peptide immunogen showed no homology with other human proteins.
Clonality
Polyclonal
Host
Rabbit
Isotype
IgG
Description
Product can be stored undiluted at 4C for up to 1 month.
Scientific Data Images for TNIK Antibody - BSA Free
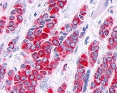
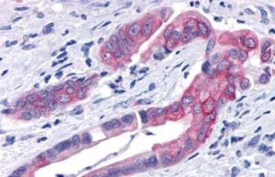
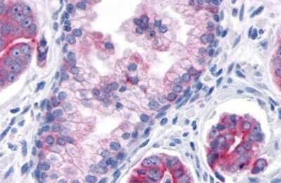
Immunohistochemistry-Paraffin: TNIK Antibody - BSA Free [NLS7401]
Immunohistochemistry-Paraffin: TNIK Antibody [NLS7401] - Anti-TNIK antibody IHC of human Colon, Carcinoma. Immunohistochemistry of formalin-fixed, paraffin-embedded tissue after heat-induced antigen retrieval.Immunohistochemistry-Paraffin: TNIK Antibody - BSA Free [NLS7401]
Immunohistochemistry-Paraffin: TNIK Antibody [NLS7401] - Analysis of anti-TNIK antibody with kidney at 2 ug/ml.Immunohistochemistry-Paraffin: TNIK Antibody - BSA Free [NLS7401]
Immunohistochemistry-Paraffin: TNIK Antibody [NLS7401] - Analysis of anti-TNIK antibody with human breast, carcinoma.Applications for TNIK Antibody - BSA Free
Application
Recommended Usage
Immunocytochemistry
1:10 - 1:500
Immunohistochemistry-Paraffin
2 ug/ml
Application Notes
.
Formulation, Preparation, and Storage
Purification
Immunogen affinity purified
Formulation
PBS
Format
BSA Free
Preservative
0.1% Sodium Azide
Concentration
1.0 mg/ml
Shipping
The product is shipped with polar packs. Upon receipt, store it immediately at the temperature recommended below.
Stability & Storage
Keep as concentrated solution. Aliquot and store at -20C or below. Avoid multiple freeze-thaw cycles.
Background: TNIK
Alternate Names
EC 2.7.11, KIAA0551EC 2.7.11.1, TRAF2 and NCK interacting kinase, TRAF2 and NCK-interacting protein kinase
Entrez Gene IDs
23043 (Human)
Gene Symbol
TNIK
Additional TNIK Products
Product Documents for TNIK Antibody - BSA Free
Product Specific Notices for TNIK Antibody - BSA Free
This product is for research use only and is not approved for use in humans or in clinical diagnosis. Primary Antibodies are guaranteed for 1 year from date of receipt.
Loading...
Loading...
Loading...
Loading...