Skip to main content

TNIK Antibody - BSA Free

Novus Biologicals, part of Bio-Techne | Catalog # NBP1-82994

Novus Biologicals, part of Bio-Techne
Catalog #
Availability
Size / Price
Qty
Loading...
NBP1-82994
NBP1-82994-25ul

Key Product Details

Species Reactivity

Validated:

Human

Cited:

Human

Predicted:

Mouse (99%), Rat (99%). Backed by our 100% Guarantee.

Applications

Validated:

Immunohistochemistry, Immunohistochemistry-Paraffin, Immunocytochemistry/ Immunofluorescence

Cited:

Western Blot, Immunocytochemistry/ Immunofluorescence, IF/IHC

Label

Unconjugated

Antibody Source

Polyclonal Rabbit IgG

Format

BSA Free

Concentration

Concentrations vary lot to lot. See vial label for concentration. If unlisted please contact technical services.

Product Specifications

Immunogen

This antibody was developed against Recombinant Protein corresponding to amino acids: QGPALTASQSVHEQPTKGLSGFQEALNVTSHRVEMPRQNSDPTSENPPLPTRIEKFDRSSWLRQEEDIPPKVPQRTTSISPALARKNSPGNGSALGPRLGSQPIRASNPDLRRTEPILESPLQRTSSGSSSSSS

Clonality

Polyclonal

Host

Rabbit

Isotype

IgG

Description

Novus Biologicals Rabbit TNIK Antibody - BSA Free (NBP1-82994) is a polyclonal antibody validated for use in IHC, WB and ICC/IF. Anti-TNIK Antibody: Cited in 3 publications. All Novus Biologicals antibodies are covered by our 100% guarantee.

Scientific Data Images for TNIK Antibody - BSA Free

Immunocytochemistry/ Immunofluorescence: TNIK Antibody [NBP1-82994]

Immunocytochemistry/ Immunofluorescence: TNIK Antibody [NBP1-82994]

Immunocytochemistry/Immunofluorescence: TNIK Antibody [NBP1-82994] - Staining of human cell line U-2 OS shows localization to nucleoplasm & cytosol. Antibody staining is shown in green.
Immunohistochemistry-Paraffin: TNIK Antibody [NBP1-82994]

Immunohistochemistry-Paraffin: TNIK Antibody [NBP1-82994]

Immunohistochemistry-Paraffin: TNIK Antibody [NBP1-82994] - Staining of human skin shows very weak cytoplasmic positivity in a small subset of squamous epithelial cells.
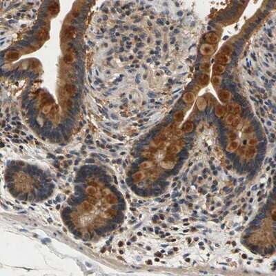
Immunohistochemistry-Paraffin: TNIK Antibody [NBP1-82994]

Immunohistochemistry-Paraffin: TNIK Antibody [NBP1-82994]

Immunohistochemistry-Paraffin: TNIK Antibody [NBP1-82994] - Staining of human colon shows strong cytoplasmic positivity in glandular cells.

Applications for TNIK Antibody - BSA Free

Application
Recommended Usage

Immunocytochemistry/ Immunofluorescence

0.25-2 ug/ml

Immunohistochemistry

1:50 - 1:200

Immunohistochemistry-Paraffin

1:50 - 1:200
Application Notes
For IHC-Paraffin, HIER pH 6 retrieval is recommended. ICC/IF Fixation Permeabilization: Use PFA/Triton X-100.

Formulation, Preparation, and Storage

Purification

Immunogen affinity purified

Formulation

PBS (pH 7.2) and 40% Glycerol

Format

BSA Free

Preservative

0.02% Sodium Azide

Concentration

Concentrations vary lot to lot. See vial label for concentration. If unlisted please contact technical services.

Shipping

The product is shipped with polar packs. Upon receipt, store it immediately at the temperature recommended below.

Stability & Storage

Store at 4C short term. Aliquot and store at -20C long term. Avoid freeze-thaw cycles.

Background: TNIK

Northern analysis indicates TNIK expression in human heart, skeletal muscle, and brain, with lower levels of expression in kidney, liver, lung, and pancreas. ESTs have been isolated from human tissue libraries, including normal amnion, gallbladder, skin, and testis and cancerous bone, germ cell, nerve, and placenta.

Alternate Names

EC 2.7.11, KIAA0551EC 2.7.11.1, TRAF2 and NCK interacting kinase, TRAF2 and NCK-interacting protein kinase

Gene Symbol

TNIK

Additional TNIK Products

Product Documents for TNIK Antibody - BSA Free

Certificate of Analysis

To download a Certificate of Analysis, please enter a lot number in the search box below.

Product Specific Notices for TNIK Antibody - BSA Free

This product is for research use only and is not approved for use in humans or in clinical diagnosis. Primary Antibodies are guaranteed for 1 year from date of receipt.

Loading...
Loading...
Loading...
Loading...