Skip to main content

TNFAIP1 Antibody (2H3) - BSA Free

Novus Biologicals, part of Bio-Techne | Catalog # NBP3-42948

Novus Biologicals, part of Bio-Techne
Catalog #
Availability
Size / Price
Qty
Loading...
NBP3-42948

Key Product Details

Species Reactivity

Human

Applications

ELISA, Immunohistochemistry, Western Blot

Label

Unconjugated

Antibody Source

Monoclonal Mouse IgG1 Clone # 2H3

Format

BSA Free

Concentration

Please see the vial label for concentration. If unlisted please contact technical services.

Product Specifications

Immunogen

tumor necrosis factor, alpha-induced protein 1(endothelial) - (Uniprot# Q13829)

Clonality

Monoclonal

Host

Mouse

Isotype

IgG1

Theoretical MW

36 kDa.
Disclaimer note: The observed molecular weight of the protein may vary from the listed predicted molecular weight due to post translational modifications, post translation cleavages, relative charges, and other experimental factors.

Description

Novus Biologicals Mouse TNFAIP1 Antibody (2H3) - BSA Free (NBP3-42948) is a monoclonal antibody validated for use in IHC, WB and ELISA. All Novus Biologicals antibodies are covered by our 100% guarantee.

Scientific Data Images for TNFAIP1 Antibody (2H3) - BSA Free

TNFAIP1 Antibody (2H3)

Western Blot: TNFAIP1 Antibody (2H3) [NBP3-42948] -

Western Blot: TNFAIP1 Antibody (2H3) [NBP3-42948] - HeLa cells were subjected to SDS PAGE followed by western blot with (TNFAIP1 antibody) at dilution of 1:3000
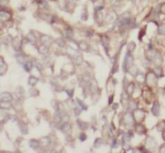
TNFAIP1 Antibody (2H3)

Immunohistochemistry: TNFAIP1 Antibody (2H3) [NBP3-42948] -

Immunohistochemistry: TNFAIP1 Antibody (2H3) [NBP3-42948] - Immunohistochemistry of paraffin-embedded human lung cancer tissue slide using (TNFAIP1 antibody) at dilution of 1:300

Applications for TNFAIP1 Antibody (2H3) - BSA Free

Application
Recommended Usage

Immunohistochemistry

1:50 - 1:600

Western Blot

1:1000 - 1:6000

Formulation, Preparation, and Storage

Purification

Protein A or G purified

Formulation

PBS (pH 7.3), 50% glycerol

Format

BSA Free

Preservative

0.02% Sodium Azide

Concentration

Please see the vial label for concentration. If unlisted please contact technical services.

Shipping

The product is shipped with polar packs. Upon receipt, store it immediately at the temperature recommended below.

Stability & Storage

Store at -20C. Avoid freeze-thaw cycles.

Background: TNFAIP1

TNFAIP1 - tumor necrosis factor, alpha-induced protein 1 (endothelial)

Alternate Names

B12, B61, BACURD2, BTB/POZ domain-containing adapter for CUL3-mediated RhoA degradation protein 2, BTB/POZ domain-containing protein TNFAIP1, EDP1, hBACURD2, MGC2317, Protein B12, tumor necrosis factor, alpha-induced protein 1 (endothelial), Tumor necrosis factor, alpha-induced protein 1, endothelial

Gene Symbol

TNFAIP1

Additional TNFAIP1 Products

Product Documents for TNFAIP1 Antibody (2H3) - BSA Free

Certificate of Analysis

To download a Certificate of Analysis, please enter a lot number in the search box below.

Product Specific Notices for TNFAIP1 Antibody (2H3) - BSA Free

This product is for research use only and is not approved for use in humans or in clinical diagnosis. Primary Antibodies are guaranteed for 1 year from date of receipt.

Loading...
Loading...
Loading...
Loading...