Skip to main content

Tmp21/p23 Antibody - BSA Free

Novus Biologicals, part of Bio-Techne | Catalog # NBP3-03691

Novus Biologicals, part of Bio-Techne
Catalog #
Availability
Size / Price
Qty
Loading...
NBP3-03691-100ul
NBP3-03691-20ul

Key Product Details

Validated by

Knockout/Knockdown

Species Reactivity

Human, Mouse, Rat

Applications

Knockout Validated, Western Blot, Immunocytochemistry/ Immunofluorescence

Label

Unconjugated

Antibody Source

Polyclonal Rabbit IgG

Format

BSA Free

Concentration

Please see the vial label for concentration. If unlisted please contact technical services.

Product Specifications

Immunogen

Recombinant fusion protein containing a sequence corresponding to amino acids 35-190 of human Tmp21/p23 (NP_006818.3). HLPINSRKCLREEIHKDLLVTGAYEISDQSGGAGGLRSHLKITDSAGHILYSKEDATKGKFAFTTEDYDMFEVCFESKGTGRIPDQLVILDMKHGVEAKNYEEIAKVEKLKPLEVELRRLEDLSESIVNDFAYMKKREEEMRDTNESTNTRVLYFS

Clonality

Polyclonal

Host

Rabbit

Isotype

IgG

Theoretical MW

24 kDa.
Disclaimer note: The observed molecular weight of the protein may vary from the listed predicted molecular weight due to post translational modifications, post translation cleavages, relative charges, and other experimental factors.

Description

Novus Biologicals Knockout (KO) Validated Rabbit Tmp21/p23 Antibody - BSA Free (NBP3-03691) is a polyclonal antibody validated for use in WB and ICC/IF. All Novus Biologicals antibodies are covered by our 100% guarantee.

Scientific Data Images for Tmp21/p23 Antibody - BSA Free

Knockout Validated: Tmp21/p23 Antibody - Azide and BSA Free [NBP3-03691]

Western Blot: Tmp21/p23 Antibody - Azide and BSA Free [NBP3-03691]

Western Blot: Tmp21/p23 Antibody [NBP3-03691] - Analysis of extracts from normal (control) and TMED10 knockout (KO) 293T cells, using Tmp21/p23 antibody at 1:1000 dilution. Secondary antibody: HRP Goat Anti-Rabbit IgG (H+L) at 1:10000 dilution. Lysates/proteins: 25ug per lane. Blocking buffer: 3% nonfat dry milk in TBST.
Tmp21/p23 Antibody - Azide and BSA Free

Immunocytochemistry/ Immunofluorescence: Tmp21/p23 Antibody - Azide and BSA Free [Tmp21/p23] -

Immunocytochemistry/ Immunofluorescence: Tmp21/p23 Antibody - Azide and BSA Free [Tmp21/p23] - Immunofluorescence analysis of NIH-3T3 cells using Tmp21/p23 Rabbit pAb at dilution of 1:100. Secondary antibody: Cy3-conjugated Goat anti-Rabbit IgG (H+L) at 1:500 dilution. Blue: DAPI for nuclear staining.
Tmp21/p23 Antibody - Azide and BSA Free

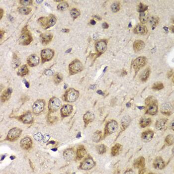
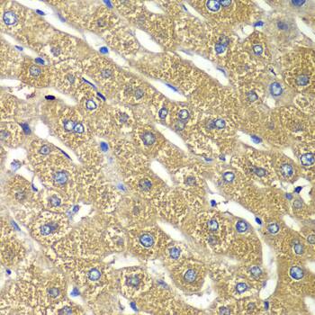
Immunohistochemistry: Tmp21/p23 Antibody - Azide and BSA Free [Tmp21/p23] -

Immunohistochemistry: Tmp21/p23 Antibody - Azide and BSA Free [Tmp21/p23] - Immunohistochemistry analysis of paraffin-embedded Rat kidney using Tmp21/p23 Rabbit pAb at dilution of 1:100 (40x lens). Microwave antigen retrieval performed with 0.01M PBS Buffer (pH 7.2) prior to IHC staining.

Applications for Tmp21/p23 Antibody - BSA Free

Application
Recommended Usage

Immunocytochemistry/ Immunofluorescence

1:50-1:200

Western Blot

1:500-1:2000

Formulation, Preparation, and Storage

Purification

Affinity purified

Formulation

PBS (pH 7.3), 50% glycerol

Format

BSA Free

Preservative

0.09% Sodium Azide

Concentration

Please see the vial label for concentration. If unlisted please contact technical services.

Shipping

The product is shipped with polar packs. Upon receipt, store it immediately at the temperature recommended below.

Stability & Storage

Store at -20C. Avoid freeze-thaw cycles.

Background: Tmp21/p23

TMP21 is a ubiquitously expressed protein that is involved in vesicular targeting and protein transport. More recent experiments have shown that it is also a component in the presenilin complex and modulates the gamma-secretase, but not the epsilon-secretase cleavage activity of the amyloid precursor protein. The presenilin complex is composed of the proteins APH1, nicastrin, and PEN2 in addition to presenilin-1. Together, these proteins cleave the amyloid precursor protein at what is known as the gamma- and epsilon-sites, and can lead to the accumulation of the Abeta cleavage product that is associated with Alzheimer's disease. Co-immunoprecipitation experiments using antibodies against these proteins also yielded TMP21, indicating that TMP21 may play a role in the regulation of this complex. Suppression of TMP21 expression by siRNA in transfected cells caused increased gamma-secretase activity and Abeta production, but not epsilon-secretase activity, demonstrating that TMP21 can modulate gamma-secretase activity.

Long Name

21 kDa Transmembrane Trafficking Protein

Alternate Names

p24delta, S31I125, S31III125, TMED10

Gene Symbol

TMED10

Additional Tmp21/p23 Products

Product Documents for Tmp21/p23 Antibody - BSA Free

Certificate of Analysis

To download a Certificate of Analysis, please enter a lot number in the search box below.

Product Specific Notices for Tmp21/p23 Antibody - BSA Free

This product is for research use only and is not approved for use in humans or in clinical diagnosis. Primary Antibodies are guaranteed for 1 year from date of receipt.

Loading...
Loading...
Loading...
Loading...

⚠ WARNING: This product can expose you to chemicals including Methotrexate, which is known to the State of California to cause reproductive toxicity with developmental effects. For more information, go to www.P65Warnings.ca.gov