Tmp21/p23 Antibody - BSA Free
Novus Biologicals, part of Bio-Techne | Catalog # NBP2-48969
Key Product Details
Validated by
Orthogonal Validation, Independent Antibodies
Species Reactivity
Validated:
Human
Predicted:
Mouse (94%), Rat (94%). Backed by our 100% Guarantee.
Applications
Immunohistochemistry, Immunohistochemistry-Paraffin, Western Blot
Label
Unconjugated
Antibody Source
Polyclonal Rabbit IgG
Format
BSA Free
Concentration
Concentrations vary lot to lot. See vial label for concentration. If unlisted please contact technical services.
Product Specifications
Immunogen
This antibody was developed against a recombinant protein corresponding to amino acids: SFHLPINSRKCLREEIHKDLLVTGAYEISDQSGGAGGLRSHLKITDSAGHILYSKEDATKGKFAFTTEDYD
Clonality
Polyclonal
Host
Rabbit
Isotype
IgG
Description
Novus Biologicals Rabbit Tmp21/p23 Antibody - BSA Free (NBP2-48969) is a polyclonal antibody validated for use in IHC and WB. All Novus Biologicals antibodies are covered by our 100% guarantee.
Scientific Data Images for Tmp21/p23 Antibody - BSA Free
Western Blot: Tmp21/p23 Antibody [NBP2-48969]
Western Blot: Tmp21/p23 Antibody [NBP2-48969] - Lane 1: Marker [kDa] 250, 130, 95, 72, 55, 36, 28, 17, 10Lane 2: Human cell line RT-4
Lane 3: Human cell line U-251MG sp
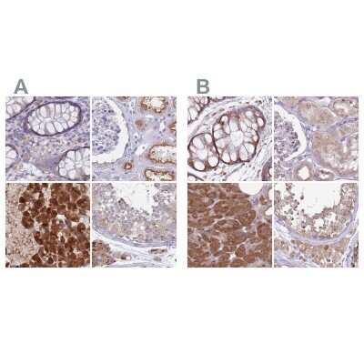
Immunohistochemistry-Paraffin: Tmp21/p23 Antibody [NBP2-48969]
Immunohistochemistry-Paraffin: Tmp21/p23 Antibody [NBP2-48969] - Staining of human kidney.Immunohistochemistry-Paraffin: Tmp21/p23 Antibody [NBP2-48969]
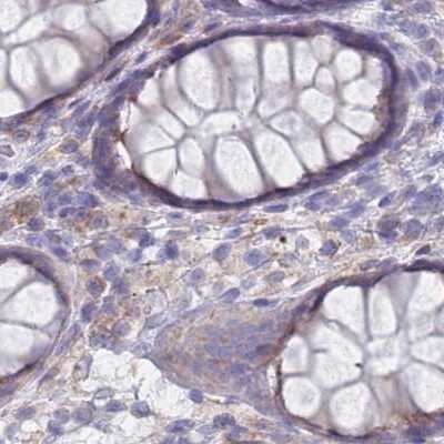
Immunohistochemistry-Paraffin: Tmp21/p23 Antibody [NBP2-48969] - Staining of human stomach shows cytoplasmic positivity in glandular cells.Applications for Tmp21/p23 Antibody - BSA Free
Application
Recommended Usage
Immunohistochemistry
1:50 - 1:200
Immunohistochemistry-Paraffin
1:50 - 1:200
Western Blot
0.04-0.4 ug/ml
Application Notes
For IHC-Paraffin, HIER pH 6 retrieval is recommended.
Formulation, Preparation, and Storage
Purification
Immunogen affinity purified
Formulation
PBS (pH 7.2) and 40% Glycerol
Format
BSA Free
Preservative
0.02% Sodium Azide
Concentration
Concentrations vary lot to lot. See vial label for concentration. If unlisted please contact technical services.
Shipping
The product is shipped with polar packs. Upon receipt, store it immediately at the temperature recommended below.
Stability & Storage
Store at 4C short term. Aliquot and store at -20C long term. Avoid freeze-thaw cycles.
Background: Tmp21/p23
Long Name
21 kDa Transmembrane Trafficking Protein
Alternate Names
p24delta, S31I125, S31III125, TMED10
Gene Symbol
TMED10
Additional Tmp21/p23 Products
Product Documents for Tmp21/p23 Antibody - BSA Free
Product Specific Notices for Tmp21/p23 Antibody - BSA Free
This product is for research use only and is not approved for use in humans or in clinical diagnosis. Primary Antibodies are guaranteed for 1 year from date of receipt.
Loading...
Loading...
Loading...
Loading...