Skip to main content

Tmp21/p23 Antibody - BSA Free

Novus Biologicals, part of Bio-Techne | Catalog # NBP2-47600

Novus Biologicals, part of Bio-Techne
Catalog #
Availability
Size / Price
Qty
Loading...
NBP2-47600
NBP2-47600-25ul

Key Product Details

Validated by

Orthogonal Validation, Independent Antibodies

Species Reactivity

Validated:

Human

Predicted:

Mouse (100%), Rat (100%). Backed by our 100% Guarantee.

Applications

Immunocytochemistry/ Immunofluorescence, Immunohistochemistry, Immunohistochemistry-Paraffin, Western Blot

Label

Unconjugated

Antibody Source

Polyclonal Rabbit IgG

Format

BSA Free

Concentration

Concentrations vary lot to lot. See vial label for concentration. If unlisted please contact technical services.

Product Specifications

Immunogen

This antibody was developed against a recombinant protein corresponding to amino acids: MFEVCFESKGTGRIPDQLVILDMKHGVEAKNYEEIAKVEKLKPLEVELRRLEDLSESIVNDFAYMKKREEEMRDTNESTN

Clonality

Polyclonal

Host

Rabbit

Isotype

IgG

Description

Novus Biologicals Rabbit Tmp21/p23 Antibody - BSA Free (NBP2-47600) is a polyclonal antibody validated for use in IHC, WB and ICC/IF. All Novus Biologicals antibodies are covered by our 100% guarantee.

Scientific Data Images for Tmp21/p23 Antibody - BSA Free

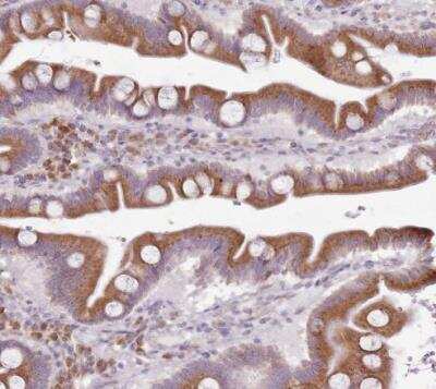
Immunohistochemistry-Paraffin: Tmp21/p23 Antibody [NBP2-47600]

Immunohistochemistry-Paraffin: Tmp21/p23 Antibody [NBP2-47600]

Immunohistochemistry-Paraffin: Tmp21/p23 Antibody [NBP2-47600] - Analysis in human endometrium and skeletal muscle tissues using NBP2-47600 antibody. Corresponding TMED10 RNA-seq data are presented for the same tissues
Immunohistochemistry-Paraffin: Tmp21/p23 Antibody [NBP2-47600]

Immunohistochemistry-Paraffin: Tmp21/p23 Antibody [NBP2-47600]

Immunohistochemistry-Paraffin: Tmp21/p23 Antibody [NBP2-47600] - Staining of human colon, kidney, pancreas and testis using Anti-TMED10 antibody NBP2-47600 (A) shows similar protein distribution across tissues to independent antibody NBP2-48969 (B).
Western Blot: Tmp21/p23 Antibody [NBP2-47600]

Western Blot: Tmp21/p23 Antibody [NBP2-47600]

Western Blot: Tmp21/p23 Antibody [NBP2-47600] - Lane 1: Marker [kDa] 250, 130, 95, 72, 55, 36, 28, 17, 10. Lane 2: Human cell line RT-4. Lane 3: Human cell line U-251MG. Lane 4: Human plasma (IgG/HSA depleted). Lane 5: Human liver tissue. Lane 6: Human tonsil tissue.

Applications for Tmp21/p23 Antibody - BSA Free

Application
Recommended Usage

Immunocytochemistry/ Immunofluorescence

0.25-2 ug/ml

Immunohistochemistry

1:200 - 1:500

Immunohistochemistry-Paraffin

1:200 - 1:500

Western Blot

0.04-0.4 ug/ml
Application Notes
For IHC-Paraffin, HIER pH 6 retrieval is recommended. ICC/IF, Fixation Permeabilization: Use PFA/Triton X-100.

Formulation, Preparation, and Storage

Purification

Immunogen affinity purified

Formulation

PBS (pH 7.2) and 40% Glycerol

Format

BSA Free

Preservative

0.02% Sodium Azide

Concentration

Concentrations vary lot to lot. See vial label for concentration. If unlisted please contact technical services.

Shipping

The product is shipped with polar packs. Upon receipt, store it immediately at the temperature recommended below.

Stability & Storage

Store at 4C short term. Aliquot and store at -20C long term. Avoid freeze-thaw cycles.

Background: Tmp21/p23

TMP21 is a ubiquitously expressed protein that is involved in vesicular targeting and protein transport. More recent experiments have shown that it is also a component in the presenilin complex and modulates the gamma-secretase, but not the epsilon-secretase cleavage activity of the amyloid precursor protein. The presenilin complex is composed of the proteins APH1, nicastrin, and PEN2 in addition to presenilin-1. Together, these proteins cleave the amyloid precursor protein at what is known as the gamma- and epsilon-sites, and can lead to the accumulation of the Abeta cleavage product that is associated with Alzheimer's disease. Co-immunoprecipitation experiments using antibodies against these proteins also yielded TMP21, indicating that TMP21 may play a role in the regulation of this complex. Suppression of TMP21 expression by siRNA in transfected cells caused increased gamma-secretase activity and Abeta production, but not epsilon-secretase activity, demonstrating that TMP21 can modulate gamma-secretase activity.

Long Name

21 kDa Transmembrane Trafficking Protein

Alternate Names

p24delta, S31I125, S31III125, TMED10

Gene Symbol

TMED10

Additional Tmp21/p23 Products

Product Documents for Tmp21/p23 Antibody - BSA Free

Certificate of Analysis

To download a Certificate of Analysis, please enter a lot number in the search box below.

Product Specific Notices for Tmp21/p23 Antibody - BSA Free

This product is for research use only and is not approved for use in humans or in clinical diagnosis. Primary Antibodies are guaranteed for 1 year from date of receipt.

Loading...
Loading...
Loading...
Loading...