Skip to main content

TMIGD2 Antibody - BSA Free

Novus Biologicals, part of Bio-Techne | Catalog # NBP1-81164

Novus Biologicals, part of Bio-Techne
Catalog #
Availability
Size / Price
Qty
Loading...
NBP1-81164
NBP1-81164-25ul

Key Product Details

Species Reactivity

Human

Applications

Immunohistochemistry, Immunohistochemistry-Paraffin, Western Blot

Label

Unconjugated

Antibody Source

Polyclonal Rabbit IgG

Format

BSA Free

Concentration

Concentrations vary lot to lot. See vial label for concentration. If unlisted please contact technical services.

Product Specifications

Immunogen

This antibody was developed against Recombinant Protein corresponding to amino acids: CQVDQATAWERLRVKWTKDGAILCQPYITNGSLSLGVCGPQGRLSWQAPSHLTLQLDPVSLNHSGAYVCWAAVEIPELEEAEGNITRLFVDPDDPTQNRNRIA

Clonality

Polyclonal

Host

Rabbit

Isotype

IgG

Scientific Data Images for TMIGD2 Antibody - BSA Free

TMIGD2 Antibody

Western Blot: TMIGD2 Antibody [NBP1-81164] -

Western Blot: TMIGD2 Antibody [NBP1-81164] - Analysis in human lymph node tissue.
TMIGD2 Antibody

Immunohistochemistry-Paraffin: TMIGD2 Antibody [NBP1-81164] -

Immunohistochemistry-Paraffin: TMIGD2 Antibody [NBP1-81164] -Staining of human gallbladder shows strong membranous positivity in glandular cells.
TMIGD2 Antibody

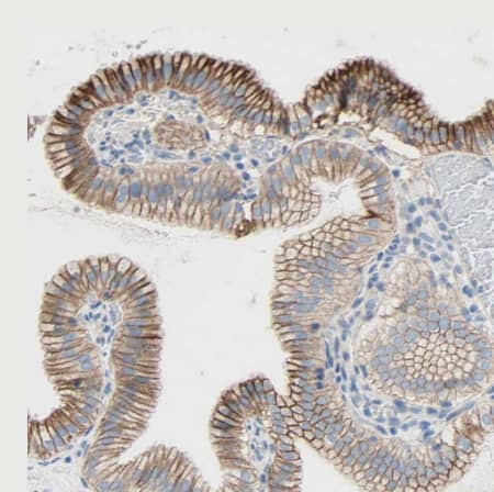
Immunohistochemistry-Paraffin: TMIGD2 Antibody [NBP1-81164] -

Immunohistochemistry-Paraffin: TMIGD2 Antibody [NBP1-81164] -Staining of human duodenum shows strong membranous positivity in glandular cells.

Applications for TMIGD2 Antibody - BSA Free

Application
Recommended Usage

Immunohistochemistry

1:50 - 1:200

Immunohistochemistry-Paraffin

1:50 - 1:200

Western Blot

0.04-0.4 ug/ml
Application Notes
For IHC-Paraffin, HIER pH 6 retrieval is recommended.

Formulation, Preparation, and Storage

Purification

Affinity purified

Formulation

PBS (pH 7.2) and 40% Glycerol

Format

BSA Free

Preservative

0.02% Sodium Azide

Concentration

Concentrations vary lot to lot. See vial label for concentration. If unlisted please contact technical services.

Shipping

The product is shipped with polar packs. Upon receipt, store it immediately at the temperature recommended below.

Stability & Storage

Store at 4C short term. Aliquot and store at -20C long term. Avoid freeze-thaw cycles.

Background: TMIGD2/CD28H

CD28 homolog (CD28H), also called TMIG2 and IGPR-1, is a 55 kDa glycosylated transmembrane protein that is constitutively expressed on naive T and NK cells. The interaction of CD28H with B7-H7 induces effector and memory T cell proliferation and activation. CD28H also regulates epithelial cell morphology, focal adhesion contact formation, and cell migration as well as angiogenesis. It interacts with multiple cytoskeletal proteins including Actin, Paxillin, SPIN90, CACNB2, and BPAG1.

Long Name

Transmembrane And Immunoglobulin Domain Containing 2

Alternate Names

CD28H, IGPR-1, IGPR1

Entrez Gene IDs

126259 (Human)

Gene Symbol

TMIGD2

UniProt

Additional TMIGD2/CD28H Products

Product Documents for TMIGD2 Antibody - BSA Free

Certificate of Analysis

To download a Certificate of Analysis, please enter a lot number in the search box below.

Product Specific Notices for TMIGD2 Antibody - BSA Free

This product is for research use only and is not approved for use in humans or in clinical diagnosis. Primary Antibodies are guaranteed for 1 year from date of receipt.

Loading...
Loading...
Loading...
Loading...