Skip to main content

TMEM49 Antibody - BSA Free

Novus Biologicals, part of Bio-Techne | Catalog # NBP2-78784

Catalog #
Availability
Size / Price
Qty
Loading...
NBP2-78784
NBP2-78784SS
Conjugate
Catalog #

Key Product Details

Species Reactivity

Human, Mouse

Applications

Immunohistochemistry, Immunohistochemistry-Paraffin, Western Blot, Immunocytochemistry/ Immunofluorescence

Label

Unconjugated

Antibody Source

Polyclonal Rabbit IgG

Format

BSA Free

Concentration

0.7 mg/ml

Product Specifications

Immunogen

Synthetic peptide made to an N-terminal portion of human TMEM49 (between amino acids 1-75) [UniProt Q96GC9]

Clonality

Polyclonal

Host

Rabbit

Isotype

IgG

Scientific Data Images for TMEM49 Antibody - BSA Free

Western Blot: TMEM49 AntibodyBSA Free [NBP2-78784]

Western Blot: TMEM49 AntibodyBSA Free [NBP2-78784]

Western Blot: TMEM49 Antibody [NBP2-78784] - Total protein from human U2OS, HeLa, MCF7 and mouse 3T3 cell lines was separated on a 12% gel by SDS-PAGE, transferred to PVDF membrane and blocked in 5% non-fat milk in TBST. The membrane was probed with 2.0 ug/ml anti-TMEM49 in block buffer and detected with an anti-rabbit HRP secondary antibody using West Pico PLUS chemiluminescence detection reagent.
Immunocytochemistry/ Immunofluorescence: TMEM49 Antibody - BSA Free [NBP2-78784]

Immunocytochemistry/ Immunofluorescence: TMEM49 Antibody - BSA Free [NBP2-78784]

Immunocytochemistry/Immunofluorescence: TMEM49 Antibody [NBP2-78784] - HeLa cells were fixed for 10 minutes using 10% formalin and then permeabilized for 5 minutes using 1X PBS + 0.05% Triton-X100. The cells were incubated with anti-TMEM49 at 10 ug/ml overnight at 4C and detected with an anti-rabbit Dylight 488 (Green) at a 1:500 dilution. Alpha tubulin (DM1A) NB100-690 was used as a co-stain at a 1:1000 dilution and detected with an anti-mouse Dylight 550 (Red) at a 1:500 dilution. Nuclei were counterstained with DAPI (Blue). Cells were imaged using a 40X objective.
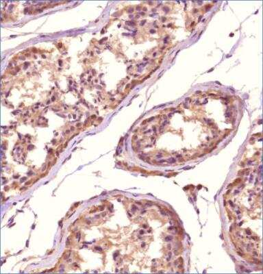
Immunohistochemistry-Paraffin: TMEM49 Antibody - BSA Free [NBP2-78784]

Immunohistochemistry-Paraffin: TMEM49 Antibody - BSA Free [NBP2-78784]

Immunohistochemistry-Paraffin: TMEM49 Antibody [NBP2-78784] - Analysis of a FFPE tissue section of the human testis using 1:200 dilution of TMEM49 antibody (NBP2-78784). The signal was developed using HRP-DAB method which followed counterstaining of the cells with hematoxylin. The antibody generated mainly strong cytoplasmic staining in cytoplasm and membrane in seminiferous tubules.

Applications for TMEM49 Antibody - BSA Free

Application
Recommended Usage

Immunocytochemistry/ Immunofluorescence

10 - 20 ug/ml

Immunohistochemistry

1:200 - 1:500

Immunohistochemistry-Paraffin

1:200 - 1:500

Western Blot

1 - 5 ug/ml

Formulation, Preparation, and Storage

Purification

Immunogen affinity purified

Formulation

PBS

Format

BSA Free

Preservative

0.02% Sodium Azide

Concentration

0.7 mg/ml

Shipping

The product is shipped with polar packs. Upon receipt, store it immediately at the temperature recommended below.

Stability & Storage

Store at 4C for up to 3 months. For longer storage, aliquot and store at -20C.

Background: TMEM49

Transmembrane protein 49 (TMEM49), also known as vacuole membrane protein 1 (VMP1), is an endoplasmic reticulum (ER)-localized protein that plays an important role in autophagy and, specifically, autophagosome formation (1). TMEM49/VMP1 is synthesized as 406 amino acid (aa) transmembrane protein containing a VTT (VMP1-TMEM41b-TVP38) domain and with a theoretical molecular weight of 46 kDa (1,2). TMEM49 helps regulate ER contacts with membranes such as isolation membranes, mitochondria, endosomes, and lipid droplets (1). TMEM49/VMP1 deficiency leads to tighter ER contacts and, in the context of autophagy, results in failure of the autophagosome and lysosome to fuse and eventual disruption of autophagic flux (1).

TMEM49/VMP1 was first implicated in pancreatitis and its overexpression, together with KRAS oncogene activation, leads to development of pancreatic ductal adenocarcinoma (PDAC) (3). Aside from pancreatitis, TMEM49/VMP1 is also associated with a number of other pathologies including cancer, inflammatory bowel disease, and, potentially, neurodegenerative disorders such as Parkinson's Disease (PD) and Alzheimer's Disease (AD) (1). It is suggested that TMEM49/VMP1 deficiency in neurons results in disrupted autophagy and protein aggregation, increased ER-membrane contacts, and dysfunctional mitochondrial homeostasis, all of which contribute to neurodegeneration (1).

References

1. Wang, P., Kou, D., & Le, W. (2020). Roles of VMP1 in Autophagy and ER-Membrane Contact: Potential Implications in Neurodegenerative Disorders. Frontiers in molecular neuroscience, 13, 42. https://doi.org/10.3389/fnmol.2020.00042

2. Uniprot (Q96GC9)

3. Iovanna J. L. (2016). Autophagy Induced during Pancreatitis Promotes KRAS-Dependent Transformation in the Pancreas. Frontiers in oncology, 6, 226. https://doi.org/10.3389/fonc.2016.00226

Alternate Names

DKFZp566I133, EPG3, TDC1, transmembrane protein 49TMEM49, vacuole membrane protein 1

Gene Symbol

VMP1

Additional TMEM49 Products

Product Documents for TMEM49 Antibody - BSA Free

Certificate of Analysis

To download a Certificate of Analysis, please enter a lot number in the search box below.

Product Specific Notices for TMEM49 Antibody - BSA Free

This product is for research use only and is not approved for use in humans or in clinical diagnosis. Primary Antibodies are guaranteed for 1 year from date of receipt.

Loading...
Loading...
Loading...
Loading...