Skip to main content

TMEM39B Antibody - BSA Free

Novus Biologicals, part of Bio-Techne | Catalog # NBP1-83869

Novus Biologicals, part of Bio-Techne
Catalog #
Availability
Size / Price
Qty
Loading...
NBP1-83869
NBP1-83869-25ul

Key Product Details

Species Reactivity

Validated:

Human

Predicted:

Mouse (92%), Rat (90%). Backed by our 100% Guarantee.

Applications

Immunohistochemistry, Immunohistochemistry-Paraffin, Immunocytochemistry/ Immunofluorescence

Label

Unconjugated

Antibody Source

Polyclonal Rabbit IgG

Format

BSA Free

Concentration

Concentrations vary lot to lot. See vial label for concentration. If unlisted please contact technical services.

Product Specifications

Immunogen

This antibody was developed against Recombinant Protein corresponding to amino acids: LRKTSLFNHMASMGPREAVSGLAKSRDYLLTLRETWKQHTRQLYGPDAMPTHACCLSPSLIRSEVEFLKMDF

Clonality

Polyclonal

Host

Rabbit

Isotype

IgG

Scientific Data Images for TMEM39B Antibody - BSA Free

Immunocytochemistry/ Immunofluorescence: TMEM39B Antibody [NBP1-83869]

Immunocytochemistry/ Immunofluorescence: TMEM39B Antibody [NBP1-83869]

Immunocytochemistry/Immunofluorescence: TMEM39B Antibody [NBP1-83869] - Immunofluorescent staining of human cell line U-2 OS shows localization to vesicles.
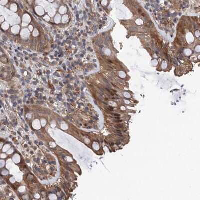
Immunohistochemistry-Paraffin: TMEM39B Antibody [NBP1-83869]

Immunohistochemistry-Paraffin: TMEM39B Antibody [NBP1-83869]

Immunohistochemistry-Paraffin: TMEM39B Antibody [NBP1-83869] - Staining of human rectum shows moderate cytoplasmic and nuclear positivity in glandular cells.

Applications for TMEM39B Antibody - BSA Free

Application
Recommended Usage

Immunocytochemistry/ Immunofluorescence

0.25-2 ug/ml

Immunohistochemistry

1:20 - 1:50

Immunohistochemistry-Paraffin

1:20 - 1:50
Application Notes
For IHC-Paraffin, HIER pH 6 retrieval is recommended. Immunocytochemistry/Immunofluorescence Fixation Permeabilization: Use PFA/Triton X-100.

Formulation, Preparation, and Storage

Purification

Affinity purified

Formulation

PBS (pH 7.2) and 40% Glycerol

Format

BSA Free

Preservative

0.02% Sodium Azide

Concentration

Concentrations vary lot to lot. See vial label for concentration. If unlisted please contact technical services.

Shipping

The product is shipped with polar packs. Upon receipt, store it immediately at the temperature recommended below.

Stability & Storage

Store at 4C short term. Aliquot and store at -20C long term. Avoid freeze-thaw cycles.

Background: TMEM39B

Alternate Names

FLJ10315, transmembrane protein 39B

Gene Symbol

TMEM39B

Additional TMEM39B Products

Product Documents for TMEM39B Antibody - BSA Free

Certificate of Analysis

To download a Certificate of Analysis, please enter a lot number in the search box below.

Product Specific Notices for TMEM39B Antibody - BSA Free

This product is for research use only and is not approved for use in humans or in clinical diagnosis. Primary Antibodies are guaranteed for 1 year from date of receipt.

Loading...
Loading...
Loading...
Loading...