Skip to main content

TMEM208 Antibody - BSA Free

Novus Biologicals, part of Bio-Techne | Catalog # NBP1-92518

Novus Biologicals, part of Bio-Techne
Catalog #
Availability
Size / Price
Qty
Loading...
NBP1-92518
NBP1-92518-25ul

Key Product Details

Species Reactivity

Validated:

Human

Predicted:

Mouse (95%), Rat (92%). Backed by our 100% Guarantee.

Applications

Immunohistochemistry, Immunohistochemistry-Paraffin

Label

Unconjugated

Antibody Source

Polyclonal Rabbit IgG

Format

BSA Free

Concentration

Concentrations vary lot to lot. See vial label for concentration. If unlisted please contact technical services.

Product Specifications

Immunogen

This antibody was developed against Recombinant Protein corresponding to amino acids: SYHSMSSMARAAFSEDGALMDGGMDLNMEQGMAEHLKDV

Clonality

Polyclonal

Host

Rabbit

Isotype

IgG

Scientific Data Images for TMEM208 Antibody - BSA Free

Immunohistochemistry-Paraffin: TMEM208 Antibody [NBP1-92518]

Immunohistochemistry-Paraffin: TMEM208 Antibody [NBP1-92518]

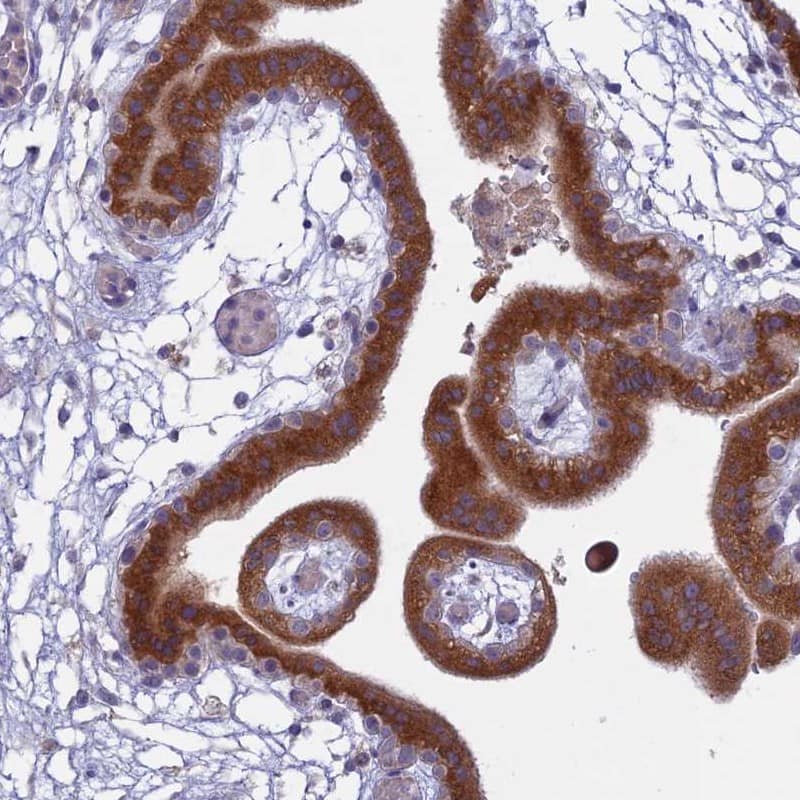
Immunohistochemistry-Paraffin: TMEM208 Antibody [NBP1-92518] - Staining of human placenta shows strong cytoplasmic positivity in trophoblastic cells.
TMEM208 Antibody - BSA Free Immunohistochemistry: TMEM208 Antibody - BSA Free [NBP1-92518]

Immunohistochemistry: TMEM208 Antibody - BSA Free [NBP1-92518]

Staining of human placenta shows strong cytoplasmic positivity in trophoblastic cells.

Applications for TMEM208 Antibody - BSA Free

Application
Recommended Usage

Immunohistochemistry

1:20 - 1:50

Immunohistochemistry-Paraffin

1:20 - 1:50
Application Notes
For IHC-Paraffin, HIER pH 6 retrieval is recommended.

Formulation, Preparation, and Storage

Purification

Affinity purified

Formulation

PBS (pH 7.2) and 40% Glycerol

Format

BSA Free

Preservative

0.02% Sodium Azide

Concentration

Concentrations vary lot to lot. See vial label for concentration. If unlisted please contact technical services.

Shipping

The product is shipped with polar packs. Upon receipt, store it immediately at the temperature recommended below.

Stability & Storage

Store at 4C short term. Aliquot and store at -20C long term. Avoid freeze-thaw cycles.

Background: TMEM208

Alternate Names

HSPC171, transmembrane protein 208

Gene Symbol

TMEM208

Additional TMEM208 Products

Product Documents for TMEM208 Antibody - BSA Free

Certificate of Analysis

To download a Certificate of Analysis, please enter a lot number in the search box below.

Product Specific Notices for TMEM208 Antibody - BSA Free

This product is for research use only and is not approved for use in humans or in clinical diagnosis. Primary Antibodies are guaranteed for 1 year from date of receipt.

Loading...
Loading...
Loading...
Loading...