Skip to main content

TMEM194A Antibody - BSA Free

Novus Biologicals, part of Bio-Techne | Catalog # NBP3-05803

Novus Biologicals, part of Bio-Techne

Key Product Details

Species Reactivity

Human

Applications

Immunohistochemistry-Paraffin, Immunocytochemistry/ Immunofluorescence

Label

Unconjugated

Antibody Source

Polyclonal Rabbit IgG

Format

BSA Free

Concentration

Please see the vial label for concentration. If unlisted please contact technical services.

Product Specifications

Immunogen

Produced in rabbits immunized with E. coli-derived Human TMEM194A fragment.

Clonality

Polyclonal

Host

Rabbit

Isotype

IgG

Description

This antibody can be stored at 2C-8C for one month without detectable loss of activity. Antibody products are stable for twelve months from date of receipt when stored at -20C to -80C. Avoid repeated freeze-thaw cycles.

Scientific Data Images for TMEM194A Antibody - BSA Free

TMEM194A Antibody - BSA Free

Immunocytochemistry/ Immunofluorescence: TMEM194A Antibody - BSA Free [NBP3-05803] -

Immunocytochemistry/ Immunofluorescence: TMEM194A Antibody - BSA Free [NBP3-05803] - Immunofluorescence staining of TMEM194A in A431 cells. Cells were fixed with 4% PFA, permeabilzed with 0.3% Triton X-100 in PBS,blocked with 10% serum, and incubated with NBP3-05803 (dilution ratio 1:100) at 4 overnight. Then cells were stained with the Alexa Fluor488-conjugated Goat Anti-rabbit IgG secondary antibody (green). Positive staining was localized to Nucleus.
TMEM194A Antibody - BSA Free

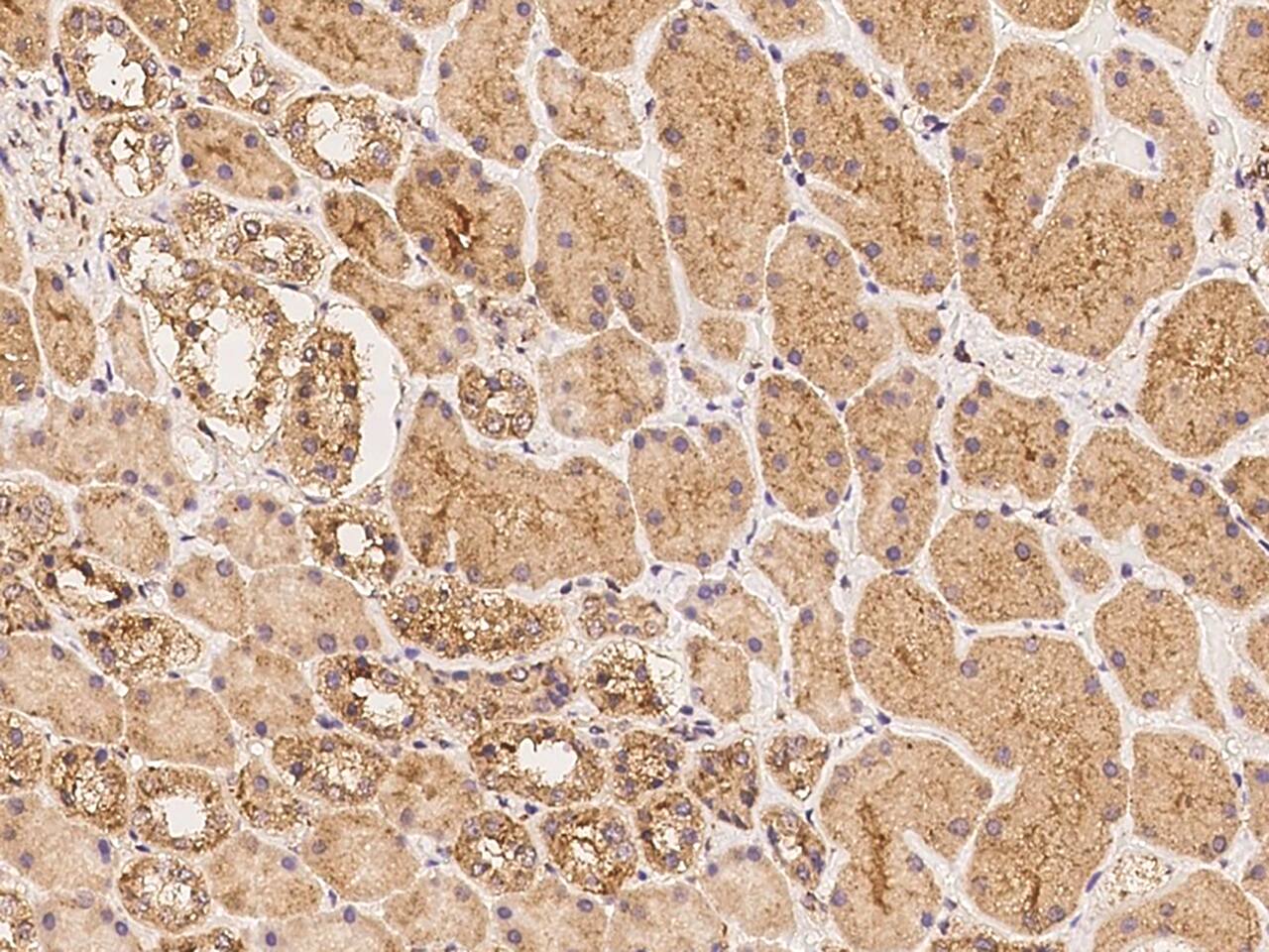
Immunohistochemistry-Paraffin: TMEM194A Antibody - BSA Free [NBP3-05803] -

Immunohistochemistry-Paraffin: TMEM194A Antibody - BSA Free [NBP3-05803] - Immunochemical staining of human TMEM194A in human kidney with NBP3-05803 at 1:100 dilution, formalin-fixed paraffin embedded sections.

Applications for TMEM194A Antibody - BSA Free

Application
Recommended Usage

Immunocytochemistry/ Immunofluorescence

1:50-1:200

Immunohistochemistry-Paraffin

1:50-1:200

Formulation, Preparation, and Storage

Purification

Antigen and protein A Affinity-purified

Formulation

PBS

Format

BSA Free

Preservative

0.03% Proclin 300

Concentration

Please see the vial label for concentration. If unlisted please contact technical services.

Shipping

The product is shipped with polar packs. Upon receipt, store it immediately at the temperature recommended below.

Stability & Storage

Store at 4C short term. Aliquot and store at -20C long term. Avoid freeze-thaw cycles.

Background: TMEM194A

Alternate Names

transmembrane protein 194A

Gene Symbol

NEMP1

Additional TMEM194A Products

Product Documents for TMEM194A Antibody - BSA Free

Certificate of Analysis

To download a Certificate of Analysis, please enter a lot number in the search box below.

Product Specific Notices for TMEM194A Antibody - BSA Free

This product is for research use only and is not approved for use in humans or in clinical diagnosis. Primary Antibodies are guaranteed for 1 year from date of receipt.

Loading...
Loading...
Loading...
Loading...