Skip to main content

TMEM171 Antibody - BSA Free

Novus Biologicals, part of Bio-Techne | Catalog # NBP1-80876

Novus Biologicals, part of Bio-Techne
Catalog #
Availability
Size / Price
Qty
Loading...
NBP1-80876
NBP1-80876-25ul

Key Product Details

Species Reactivity

Human

Applications

Validated:

Immunohistochemistry, Immunohistochemistry-Paraffin, Western Blot

Cited:

Western Blot, IF/IHC

Label

Unconjugated

Antibody Source

Polyclonal Rabbit IgG

Format

BSA Free

Concentration

Concentrations vary lot to lot. See vial label for concentration. If unlisted please contact technical services.

Product Specifications

Immunogen

This antibody was developed against Recombinant Protein corresponding to amino acids: SRAQLQLRAGLQRGQQMDPDRAFICGESRQFAQCL

Clonality

Polyclonal

Host

Rabbit

Isotype

IgG

Description

Novus Biologicals Rabbit TMEM171 Antibody - BSA Free (NBP1-80876) is a polyclonal antibody validated for use in IHC and WB. All Novus Biologicals antibodies are covered by our 100% guarantee.

Scientific Data Images for TMEM171 Antibody - BSA Free

Western Blot: TMEM171 Antibody [NBP1-80876]

Western Blot: TMEM171 Antibody [NBP1-80876]

Western Blot: TMEM171 Antibody [NBP1-80876] - Analysis in control (vector only transfected HEK293T lysate) and TMEM171 over-expression lysate (Co-expressed with a C-terminal myc-DDK tag (3.1 kDa) in mammalian HEK293T cells).
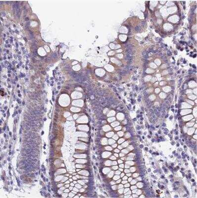
Immunohistochemistry-Paraffin: TMEM171 Antibody [NBP1-80876]

Immunohistochemistry-Paraffin: TMEM171 Antibody [NBP1-80876]

Immunohistochemistry-Paraffin: TMEM171 Antibody [NBP1-80876] - Staining of human colon shows moderate cytoplasmic positivity in glandular cells.

Applications for TMEM171 Antibody - BSA Free

Application
Recommended Usage

Immunohistochemistry

1:50 - 1:200

Immunohistochemistry-Paraffin

1:50 - 1:200

Western Blot

0.04 - 0.4 ug/ml
Application Notes
For IHC-Paraffin, HIER pH 6 retrieval is recommended.

Formulation, Preparation, and Storage

Purification

Affinity purified

Formulation

PBS (pH 7.2) and 40% Glycerol

Format

BSA Free

Preservative

0.02% Sodium Azide

Concentration

Concentrations vary lot to lot. See vial label for concentration. If unlisted please contact technical services.

Shipping

The product is shipped with polar packs. Upon receipt, store it immediately at the temperature recommended below.

Stability & Storage

Store at 4C short term. Aliquot and store at -20C long term. Avoid freeze-thaw cycles.

Background: TMEM171

Alternate Names

proline-rich protein PRP2, PRP2, transmembrane protein 171

Entrez Gene IDs

134285 (Human)

Gene Symbol

TMEM171

Additional TMEM171 Products

Product Documents for TMEM171 Antibody - BSA Free

Certificate of Analysis

To download a Certificate of Analysis, please enter a lot number in the search box below.

Product Specific Notices for TMEM171 Antibody - BSA Free

This product is for research use only and is not approved for use in humans or in clinical diagnosis. Primary Antibodies are guaranteed for 1 year from date of receipt.

Loading...
Loading...
Loading...
Loading...