TMEM161B Antibody - BSA Free
Novus Biologicals, part of Bio-Techne | Catalog # NBP1-93488
Key Product Details
Species Reactivity
Human
Applications
Immunohistochemistry, Immunohistochemistry-Paraffin
Label
Unconjugated
Antibody Source
Polyclonal Rabbit IgG
Format
BSA Free
Concentration
Concentrations vary lot to lot. See vial label for concentration. If unlisted please contact technical services.
Product Specifications
Immunogen
This antibody was developed against Recombinant Protein corresponding to amino acids: TLGNHSWGIYPESISTLPVDNSLLSNSVYSELPSAEGKMKVTVTQITVALSSL
Reactivity Notes
Immunogen displays the following percentage of sequence identity for non-tested species: Rat (81%)
Clonality
Polyclonal
Host
Rabbit
Isotype
IgG
Scientific Data Images for TMEM161B Antibody - BSA Free
Immunohistochemistry-Paraffin: TMEM161B Antibody [NBP1-93488]
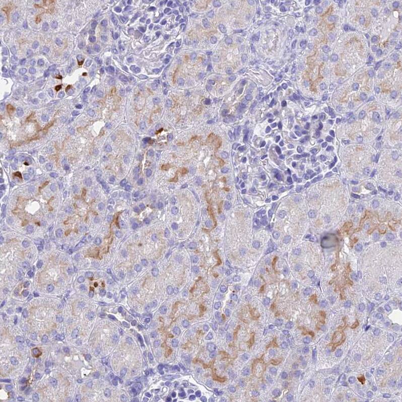
Immunohistochemistry-Paraffin: TMEM161B Antibody [NBP1-93488] - Staining of human kidney shows strong cytoplasmic positivity in fraction of cells in renal tubules.Immunohistochemistry: TMEM161B Antibody - BSA Free [NBP1-93488]
Staining of human kidney shows weak cytoplasmic positivity in cells in tubules.Immunohistochemistry: TMEM161B Antibody - BSA Free [NBP1-93488]
Staining of human cerebral cortex shows moderate cytoplasmic positivity in neuropil.Applications for TMEM161B Antibody - BSA Free
Application
Recommended Usage
Immunohistochemistry
1:20 - 1:50
Immunohistochemistry-Paraffin
1:20 - 1:50
Application Notes
For IHC-Paraffin, HIER pH 6 retrieval is recommended.
Formulation, Preparation, and Storage
Purification
Affinity purified
Formulation
PBS (pH 7.2) and 40% Glycerol
Format
BSA Free
Preservative
0.02% Sodium Azide
Concentration
Concentrations vary lot to lot. See vial label for concentration. If unlisted please contact technical services.
Shipping
The product is shipped with polar packs. Upon receipt, store it immediately at the temperature recommended below.
Stability & Storage
Store at 4C short term. Aliquot and store at -20C long term. Avoid freeze-thaw cycles.
Background: TMEM161B
Alternate Names
MGC33214, transmembrane protein 161B, UNQ679/PRO1313
Gene Symbol
TMEM161B
Additional TMEM161B Products
Product Documents for TMEM161B Antibody - BSA Free
Product Specific Notices for TMEM161B Antibody - BSA Free
This product is for research use only and is not approved for use in humans or in clinical diagnosis. Primary Antibodies are guaranteed for 1 year from date of receipt.
Loading...
Loading...
Loading...
Loading...