Skip to main content

TMEM119 Antibody (HL2415) - Azide and BSA Free

Novus Biologicals, part of Bio-Techne | Catalog # NBP3-25724

Recombinant Monoclonal Antibody
Novus Biologicals, part of Bio-Techne
Catalog #
Availability
Size / Price
Qty
Loading...
NBP3-25724

Key Product Details

Species Reactivity

Mouse, Rat

Applications

Immunohistochemistry, Immunohistochemistry-Paraffin

Label

Unconjugated

Antibody Source

Recombinant Monoclonal Rabbit IgG Clone # HL2415 expressed in HEK293

Format

Azide and BSA Free

Concentration

Concentrations vary lot to lot. See vial label for concentration. If unlisted please contact technical services.

Product Specifications

Immunogen

Recombinant fragment of mouse TMEM119.

Clonality

Monoclonal

Host

Rabbit

Isotype

IgG

Theoretical MW

29 kDa.
Disclaimer note: The observed molecular weight of the protein may vary from the listed predicted molecular weight due to post translational modifications, post translation cleavages, relative charges, and other experimental factors.

Description

Novus Biologicals Rabbit TMEM119 Antibody (HL2415) - Azide and BSA Free (NBP3-25724) is a recombinant monoclonal antibody validated for use in IHC. All Novus Biologicals antibodies are covered by our 100% guarantee.

Scientific Data Images for TMEM119 Antibody (HL2415) - Azide and BSA Free

TMEM119 Antibody (HL2415) - Azide and BSA Free

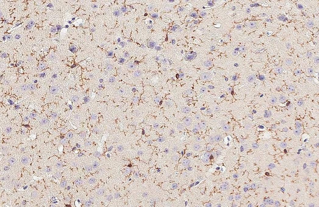
Immunohistochemistry-Paraffin: TMEM119 Antibody (HL2415) - Azide and BSA Free [NBP3-25724] -

Immunohistochemistry-Paraffin: TMEM119 Antibody (HL2415) - Azide and BSA Free [NBP3-25724] - TMEM119 antibody [HL2415] detects TMEM119 protein at cell membrane and cytoplasm by immunohistochemical analysis. Sample: Paraffin-embedded mouse brain. TMEM119 stained by TMEM119 antibody [HL2415] (NBP3-25724) diluted at 1:50. Antigen Retrieval: Citrate buffer, pH 6.0, 15 min
TMEM119 Antibody (HL2415) - Azide and BSA Free

Immunohistochemistry-Paraffin: TMEM119 Antibody (HL2415) - Azide and BSA Free [NBP3-25724] -

Immunohistochemistry-Paraffin: TMEM119 Antibody (HL2415) - Azide and BSA Free [NBP3-25724] - TMEM119 antibody [HL2415] detects TMEM119 protein at cell membrane and cytoplasm by immunohistochemical analysis. Sample: Paraffin-embedded mouse brain. Green: TMEM119 stained by TMEM119 antibody [HL2415] (NBP3-25724) diluted at 1:100. Red: beta Tubulin 3/ Tuj1 , a Cytoskeleton marker, stained by beta Tubulin 3/ Tuj1 antibody [GT11710] (NBP2-43559) diluted at 1:500. Blue: Fluoroshield with DAPI . Antigen Retrieval: Citrate buffer, pH 6.0, 15 min
TMEM119 Antibody (HL2415) - Azide and BSA Free

Immunohistochemistry-Paraffin: TMEM119 Antibody (HL2415) - Azide and BSA Free [NBP3-25724] -

Immunohistochemistry-Paraffin: TMEM119 Antibody (HL2415) - Azide and BSA Free [NBP3-25724] - TMEM119 antibody [HL2415] detects TMEM119 protein by immunohistochemical analysis. Sample: Paraffin-embedded rat brain. TMEM119 stained by TMEM119 antibody [HL2415] (NBP3-25724) diluted at 1:50. Red: beta Tubulin 3/ Tuj1, a Cytoskeleton marker, stained by beta Tubulin 3/ Tuj1 antibody [GT11710] (NBP2-43559) diluted at 1:500. Blue: Fluoroshield with DAPI . Antigen Retrieval: Citrate buffer, pH 6.0, 15 min

Applications for TMEM119 Antibody (HL2415) - Azide and BSA Free

Application
Recommended Usage

Immunohistochemistry-Paraffin

1:100-1:1000

Formulation, Preparation, and Storage

Purification

Protein A purified

Formulation

PBS

Format

Azide and BSA Free

Preservative

No Preservative

Concentration

Concentrations vary lot to lot. See vial label for concentration. If unlisted please contact technical services.

Shipping

The product is shipped with polar packs. Upon receipt, store it immediately at the temperature recommended below.

Stability & Storage

Store at 4C short term. Aliquot and store at -20C long term. Avoid freeze-thaw cycles.

Background: TMEM119

ATF4 is an approximately 38 kDa member of the bzip family of transcription factors. It plays an important role autophagy, the unfolded protein response, and the response to oxygen and nutrient deprivation. These functions are regulated by the dimerization of ATF4 with the leucine zipper protein FIAT. ATF4 contains a basic DNA-binding domain (aa 280-300) and a leucine zipper domain (aa 306-334).

Long Name

Transmembrane Protein 119

Alternate Names

OBIF

Gene Symbol

TMEM119

Additional TMEM119 Products

Product Documents for TMEM119 Antibody (HL2415) - Azide and BSA Free

Certificate of Analysis

To download a Certificate of Analysis, please enter a lot number in the search box below.

Product Specific Notices for TMEM119 Antibody (HL2415) - Azide and BSA Free

This product is for research use only and is not approved for use in humans or in clinical diagnosis. Primary Antibodies are guaranteed for 1 year from date of receipt.

Loading...
Loading...
Loading...
Loading...