TMEM104 Antibody - BSA Free
Novus Biologicals, part of Bio-Techne | Catalog # NBP1-92515
Key Product Details
Species Reactivity
Human
Applications
Immunohistochemistry, Immunohistochemistry-Paraffin, Immunocytochemistry/ Immunofluorescence
Label
Unconjugated
Antibody Source
Polyclonal Rabbit IgG
Format
BSA Free
Concentration
Concentrations vary lot to lot. See vial label for concentration. If unlisted please contact technical services.
Product Specifications
Immunogen
This antibody was developed against Recombinant Protein corresponding to amino acids: QLHWKRMENLKEEEDDDSSTASDSDVLIRDNYERAEKRPILSVQRRGSPNPFEITDRVEMGQMASMFFNKV
Reactivity Notes
Immunogen displays the following percentage of sequence identity for non-tested species: Mouse (85%), Rat (82%)
Clonality
Polyclonal
Host
Rabbit
Isotype
IgG
Description
Novus Biologicals Rabbit TMEM104 Antibody - BSA Free (NBP1-92515) is a polyclonal antibody validated for use in IHC and ICC/IF. All Novus Biologicals antibodies are covered by our 100% guarantee.
Scientific Data Images for TMEM104 Antibody - BSA Free
Immunocytochemistry/ Immunofluorescence: TMEM104 Antibody [NBP1-92515]
Immunocytochemistry/Immunofluorescence: TMEM104 Antibody [NBP1-92515] - Immunofluorescent staining of human cell line U-251 MG shows localization to nucleoplasm & the Golgi apparatus.Immunohistochemistry: TMEM104 Antibody - BSA Free [NBP1-92515]
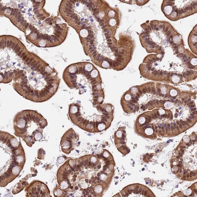
Staining of human small intestine shows strong membranous and cytoplasmic positivity in glandular cells.Immunohistochemistry: TMEM104 Antibody - BSA Free [NBP1-92515]
Staining of human lung shows strong cytoplasmic positivity in macrophages.Applications for TMEM104 Antibody - BSA Free
Application
Recommended Usage
Immunocytochemistry/ Immunofluorescence
0.25-2 ug/ml
Immunohistochemistry
1:200 - 1:500
Immunohistochemistry-Paraffin
1:200 - 1:500
Application Notes
For IHC-Paraffin, HIER pH 6 retrieval is recommended. ICC/IF, Fixation Permeabilization: Use PFA/Triton X-100.
Formulation, Preparation, and Storage
Purification
Affinity purified
Formulation
PBS (pH 7.2) and 40% Glycerol
Format
BSA Free
Preservative
0.02% Sodium Azide
Concentration
Concentrations vary lot to lot. See vial label for concentration. If unlisted please contact technical services.
Shipping
The product is shipped with polar packs. Upon receipt, store it immediately at the temperature recommended below.
Stability & Storage
Store at 4C short term. Aliquot and store at -20C long term. Avoid freeze-thaw cycles.
Background: TMEM104
Alternate Names
FLJ00021, FLJ20255, transmembrane protein 104
Gene Symbol
TMEM104
Additional TMEM104 Products
Product Documents for TMEM104 Antibody - BSA Free
Product Specific Notices for TMEM104 Antibody - BSA Free
This product is for research use only and is not approved for use in humans or in clinical diagnosis. Primary Antibodies are guaranteed for 1 year from date of receipt.
Loading...
Loading...
Loading...
Loading...