Skip to main content

TMEFF2/Tomoregulin-2 Antibody (OTI1F9)

Novus Biologicals, part of Bio-Techne | Catalog # NBP2-01863

Novus Biologicals, part of Bio-Techne
Catalog #
Availability
Size / Price
Qty
Loading...
NBP2-01863

Key Product Details

Species Reactivity

Human, Mouse

Applications

Immunohistochemistry, Immunohistochemistry-Paraffin, Western Blot

Label

Unconjugated

Antibody Source

Monoclonal Mouse IgG2A Clone # OTI1F9

Concentration

1.12 mg/ml

Product Specifications

Immunogen

Full length human recombinant protein of human TMEFF2(NP_057276) produced in HEK293T cell.

Reactivity Notes

Please note that this antibody is reactive to Mouse and derived from the same host, Mouse. Mouse-On-Mouse blocking reagent may be needed for IHC and ICC experiments to reduce high background signal. You can find these reagents under catalog numbers PK-2200-NB and MP-2400-NB. Please contact Technical Support if you have any questions.

Clonality

Monoclonal

Host

Mouse

Isotype

IgG2A

Theoretical MW

41.2 kDa.
Disclaimer note: The observed molecular weight of the protein may vary from the listed predicted molecular weight due to post translational modifications, post translation cleavages, relative charges, and other experimental factors.

Description

Novus Biologicals Mouse TMEFF2/Tomoregulin-2 Antibody (OTI1F9) (NBP2-01863) is a monoclonal antibody validated for use in IHC and WB. All Novus Biologicals antibodies are covered by our 100% guarantee.

Scientific Data Images for TMEFF2/Tomoregulin-2 Antibody (OTI1F9)

Western Blot: TMEFF2/Tomoregulin-2 Antibody (OTI1F9) [NBP2-01863]

Western Blot: TMEFF2/Tomoregulin-2 Antibody (OTI1F9) [NBP2-01863]

Western Blot: TMEFF2 Antibody (1F9) [NBP2-01863] - HEK293T cells were transfected with the pCMV6-ENTRY control (Left lane) or pCMV6-ENTRY TMEFF2 (Right lane) cDNA for 48 hrs and lysed. Equivalent amounts of cell lysates (5 ug per lane) were separated by SDS-PAGE and immunoblotted with anti-TMEFF2.
Immunohistochemistry-Paraffin: TMEFF2 Antibody (1F9) [NBP2-01863] Staining of paraffin-embedded Human tonsil using anti-TMEFF2 mouse monoclonal antibody.
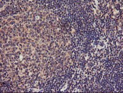
Immunohistochemistry-Paraffin: TMEFF2/Tomoregulin-2 Antibody (OTI1F9) [NBP2-01863]

Immunohistochemistry-Paraffin: TMEFF2/Tomoregulin-2 Antibody (OTI1F9) [NBP2-01863]

Immunohistochemistry-Paraffin: TMEFF2 Antibody (1F9) [NBP2-01863] - Staining of paraffin-embedded Adenocarcinoma of Human endometrium tissue using anti-TMEFF2 mouse monoclonal antibody.

Applications for TMEFF2/Tomoregulin-2 Antibody (OTI1F9)

Application
Recommended Usage

Immunohistochemistry

1:150

Immunohistochemistry-Paraffin

1:150

Western Blot

1:500-2000

Formulation, Preparation, and Storage

Purification

Immunogen affinity purified

Formulation

PBS (pH 7.3), 1.0% BSA and 50% Glycerol

Preservative

0.02% Sodium Azide

Concentration

1.12 mg/ml

Shipping

The product is shipped with polar packs. Upon receipt, store it immediately at the temperature recommended below.

Stability & Storage

Store at -20C. Avoid freeze-thaw cycles.

Background: TMEFF2/Tomoregulin-2

TMEFF2(transmembrane protein with EGF-like and two follistatin-like domains 2), a gene encoding a plasma membrane protein with two follistatin-like domains and one epidermal growth factor-like domain, had limited normal tissue distribution and was highly overexpressed in prostate cancer. The shedded form up-regulates cancer cell proliferation, probably by promoting ERK1/2 phosphorylation. Down-regulated in tumor cell lines in response to a high level of methylation in the 5' region. Clone J4B6, is derived from hybridization of mouse F0 myeloma cells with spleen cells from BALB/c mice immunized with a recombinant human TMEFF2 protein.

Long Name

Transmembrane Protein with EFG-like and two Follistatin-like Domains

Alternate Names

TENB2, Tomoregulin-2, Tomoregulin2

Entrez Gene IDs

23671 (Human)

Gene Symbol

TMEFF2

Additional TMEFF2/Tomoregulin-2 Products

Product Documents for TMEFF2/Tomoregulin-2 Antibody (OTI1F9)

Certificate of Analysis

To download a Certificate of Analysis, please enter a lot number in the search box below.

Product Specific Notices for TMEFF2/Tomoregulin-2 Antibody (OTI1F9)

This product is for research use only and is not approved for use in humans or in clinical diagnosis. Primary Antibodies are guaranteed for 1 year from date of receipt.

Loading...
Loading...
Loading...
Loading...
Loading...