Skip to main content

TMED9 Antibody (A9A8-R)

Novus Biologicals, part of Bio-Techne | Catalog # NBP3-33028

Recombinant Monoclonal Antibody
Novus Biologicals, part of Bio-Techne
Catalog #
Availability
Size / Price
Qty
Loading...
NBP3-33028

Key Product Details

Species Reactivity

Validated:

Human, Mouse, Rat

Cited:

Rat

Applications

Validated:

Immunocytochemistry/ Immunofluorescence, Immunohistochemistry, Immunohistochemistry-Paraffin, Western Blot

Cited:

Immunocytochemistry/ Immunofluorescence

Label

Unconjugated

Antibody Source

Recombinant Monoclonal Mouse IgG1 Clone # A9A8-R expressed in HEK293

Concentration

1 mg/ml

Product Specifications

Immunogen

Recombinant protein within Human TMED9 aa 31-220 / 235. (Uniprot: Q9BVK6)

Localization

Endoplasmic reticulum membrane, Golgi apparatus, Endoplasmic reticulum-Golgi intermediate compartment membrane.

Clonality

Monoclonal

Host

Mouse

Isotype

IgG1

Theoretical MW

27 kDa.
Disclaimer note: The observed molecular weight of the protein may vary from the listed predicted molecular weight due to post translational modifications, post translation cleavages, relative charges, and other experimental factors.

Description

Novus Biologicals Mouse TMED9 Antibody (A9A8-R) (NBP3-33028) is a recombinant monoclonal antibody validated for use in IHC, WB and ICC/IF. All Novus Biologicals antibodies are covered by our 100% guarantee.

Scientific Data Images for TMED9 Antibody (A9A8-R)

TMED9 Antibody (A9A8-R)

Western Blot: TMED9 Antibody (A9A8-R) [NBP3-33028]

Western Blot: TMED9 Antibody (A9A8-R) [NBP3-33028] - Western blot analysis of TMED9 on different lysates with Mouse anti-TMED9 antibody (NBP3-33028) at 1/1,000 dilution.

Lane 1: HeLa cell lysate (20 ug/Lane)
Lane 2: THP-1 cell lysate (20 ug/Lane)
Lane 3: A549 cell lysate (20 ug/Lane)
Lane 4: MCF7 cell lysate (20 ug/Lane)
Lane 5: HepG2 cell lysate (20 ug/Lane)
Lane 6: PC-12 cell lysate (20 ug/Lane)
Lane 7: NIH/3T3 cell lysate (20 ug/Lane)
Lane 8: Mouse liver tissue lysate (40 ug/Lane)
Lane 9: Rat liver tissue lysate (40 ug/Lane)

Predicted band size: 27 kDa
Observed band size: 24 kDa

Exposure time: 43 seconds;

4-20% SDS-PAGE gel.

Proteins were transferred to a PVDF membrane and blocked with 5% NFDM/TBST for 1 hour at room temperature. The primary antibody (NBP3-33028) at 1/1,000 dilution was used in 5% NFDM/TBST at 4C overnight. Anti-Mouse IgG for IP Nano-secondary antibody (NBI02H) at 1/5,000 dilution was used for 1 hour at room temperature.
TMED9 Antibody (A9A8-R)

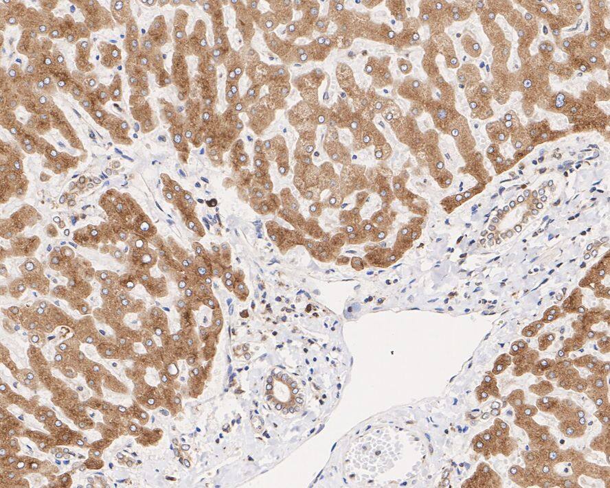
Immunohistochemistry: TMED9 Antibody (A9A8-R) [NBP3-33028]

Immunohistochemistry: TMED9 Antibody (A9A8-R) [NBP3-33028] - Immunohistochemical analysis of paraffin-embedded human liver tissue with Mouse anti-TMED9 antibody (NBP3-33028) at 1/2,000 dilution.

The section was pre-treated using heat mediated antigen retrieval with Tris-EDTA buffer (pH 9.0) for 20 minutes. The tissues were blocked in 1% BSA for 20 minutes at room temperature, washed with ddH2O and PBS, and then probed with the primary antibody (NBP3-33028) at 1/2,000 dilution for 1 hour at room temperature. The detection was performed using an HRP conjugated compact polymer system. DAB was used as the chromogen. Tissues were counterstained with hematoxylin and mounted with DPX.
TMED9 Antibody (A9A8-R)

Immunocytochemistry/ Immunofluorescence: TMED9 Antibody (A9A8-R) [NBP3-33028]

Immunocytochemistry/ Immunofluorescence: TMED9 Antibody (A9A8-R) [NBP3-33028] - Immunocytochemistry analysis of HepG2 cells labeling TMED9 with Mouse anti-TMED9 antibody (NBP3-33028) at 1/100 dilution.

Cells were fixed in 100% precooled methanol for 5 minutes at room temperature, then blocked with 1% BSA in 10% negative goat serum for 1 hour at room temperature. Cells were then incubated with Mouse anti-TMED9 antibody (NBP3-33028) at 1/100 dilution in 1% BSA in PBST overnight at 4 ℃. Goat Anti-Mouse IgG H&L (iFluor™ 488) was used as the secondary antibody at 1/1,000 dilution. PBS instead of the primary antibody was used as the secondary antibody only control. Nuclear DNA was labelled in blue with DAPI.

Applications for TMED9 Antibody (A9A8-R)

Application
Recommended Usage

Immunocytochemistry/ Immunofluorescence

1:100

Immunohistochemistry-Paraffin

1:2000

Western Blot

1:1000

Reviewed Applications

Read 1 review rated 5 using NBP3-33028 in the following applications:

Formulation, Preparation, and Storage

Purification

Protein A purified

Formulation

PBS (pH7.4), 0.1% BSA and 40% Glycerol

Preservative

0.05% Sodium Azide

Concentration

1 mg/ml

Shipping

The product is shipped with polar packs. Upon receipt, store it immediately at the temperature recommended below.

Stability & Storage

Store at 4C short term. Aliquot and store at -20C long term. Avoid freeze-thaw cycles.

Background: TMED9

Alternate Names

Glycoprotein 25L2, GP25L2, gp25L2 protein, HSGP25L2G, transmembrane emp24 domain-containing protein 9, transmembrane emp24 protein transport domain containing 9

Gene Symbol

TMED9

Additional TMED9 Products

Product Documents for TMED9 Antibody (A9A8-R)

Certificate of Analysis

To download a Certificate of Analysis, please enter a lot number in the search box below.

Product Specific Notices for TMED9 Antibody (A9A8-R)

This product is for research use only and is not approved for use in humans or in clinical diagnosis. Primary Antibodies are guaranteed for 1 year from date of receipt.

Loading...
Loading...
Loading...
Loading...