TMED5 Antibody - BSA Free
Novus Biologicals, part of Bio-Techne | Catalog # NBP2-13440
Key Product Details
Species Reactivity
Human
Applications
Immunohistochemistry, Immunohistochemistry-Paraffin, Western Blot
Label
Unconjugated
Antibody Source
Polyclonal Rabbit IgG
Format
BSA Free
Concentration
Concentrations vary lot to lot. See vial label for concentration. If unlisted please contact technical services.
Product Specifications
Immunogen
This antibody was developed against a recombinant protein corresponding to the amino acids: FELILDNMGEQAQEQEDWKKYITGTDILDMKLEDILESINSIKSRLSKSGHIQTLL
Reactivity Notes
Immunogen displays the following percentage of sequence identity for non-tested species: Mouse (89%), Rat (88%)
Clonality
Polyclonal
Host
Rabbit
Isotype
IgG
Description
Novus Biologicals Rabbit TMED5 Antibody - BSA Free (NBP2-13440) is a polyclonal antibody validated for use in IHC and WB. All Novus Biologicals antibodies are covered by our 100% guarantee.
Scientific Data Images for TMED5 Antibody - BSA Free
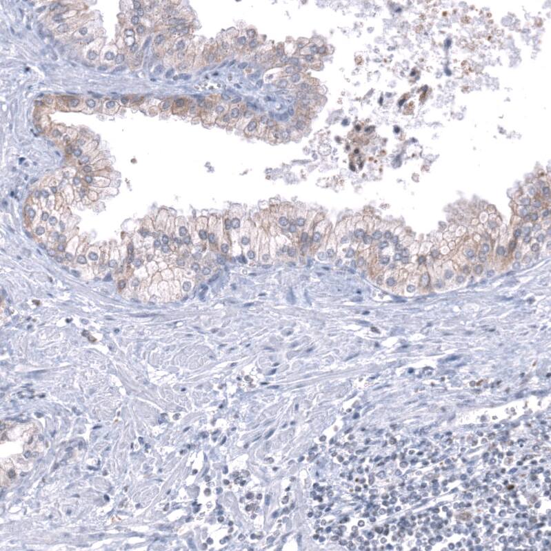
Immunohistochemistry-Paraffin: TMED5 Antibody [NBP2-13440]
Immunohistochemistry-Paraffin: TMED5 Antibody [NBP2-13440] - Staining of human prostate shows moderate granular cytoplasmic positivity in glandular cells.Immunohistochemistry-Paraffin: TMED5 Antibody [NBP2-13440]
Immunohistochemistry-Paraffin: TMED5 Antibody [NBP2-13440] - Staining of human urinary bladder shows moderate nuclear positivity in urothelial cells.Immunohistochemistry-Paraffin: TMED5 Antibody [NBP2-13440]
Immunohistochemistry-Paraffin: TMED5 Antibody [NBP2-13440] - Staining of human duodenum shows moderate granular cytoplasmic positivity in glandular cells.Applications for TMED5 Antibody - BSA Free
Application
Recommended Usage
Immunohistochemistry
1:200 - 1:500
Immunohistochemistry-Paraffin
1:200-1:500
Western Blot
0.04-0.4 ug/ml
Application Notes
For IHC-Paraffin, HIER pH 6 retrieval is recommended.
Formulation, Preparation, and Storage
Purification
Affinity purified
Formulation
PBS (pH 7.2) and 40% Glycerol
Format
BSA Free
Preservative
0.02% Sodium Azide
Concentration
Concentrations vary lot to lot. See vial label for concentration. If unlisted please contact technical services.
Shipping
The product is shipped with polar packs. Upon receipt, store it immediately at the temperature recommended below.
Stability & Storage
Store at 4C short term. Aliquot and store at -20C long term. Avoid freeze-thaw cycles.
Background: TMED5
Alternate Names
CGI-100, DKFZp781B2248, transmembrane emp24 domain-containing protein 5, transmembrane emp24 protein transport domain containing 5
Gene Symbol
TMED5
Additional TMED5 Products
Product Documents for TMED5 Antibody - BSA Free
Product Specific Notices for TMED5 Antibody - BSA Free
This product is for research use only and is not approved for use in humans or in clinical diagnosis. Primary Antibodies are guaranteed for 1 year from date of receipt.
Loading...
Loading...
Loading...
Loading...