Skip to main content

TMCO6 Antibody - BSA Free

Novus Biologicals, part of Bio-Techne | Catalog # NBP3-45227

Novus Biologicals, part of Bio-Techne
Catalog #
Availability
Size / Price
Qty
Loading...
NBP3-45227

Key Product Details

Species Reactivity

Human, Mouse, Rat

Applications

Immunohistochemistry, Western Blot, ELISA

Label

Unconjugated

Antibody Source

Polyclonal Rabbit IgG

Format

BSA Free

Concentration

Please see the vial label for concentration. If unlisted please contact technical services.

Product Specifications

Immunogen

transmembrane and coiled-coil domains 6. (Uniprot# Q96DC7)

Clonality

Polyclonal

Host

Rabbit

Isotype

IgG

Description

Novus Biologicals Rabbit TMCO6 Antibody - BSA Free (NBP3-45227) is a polyclonal antibody validated for use in IHC, WB and ELISA. All Novus Biologicals antibodies are covered by our 100% guarantee.

Scientific Data Images for TMCO6 Antibody - BSA Free

TMCO6 Antibody - BSA Free

Western Blot: TMCO6 Antibody - BSA Free [NBP3-45227] -

Western Blot: TMCO6 Antibody - BSA Free [NBP3-45227] - Human testis tissue were subjected to SDS PAGE followed by western blot with (TMCO6 antibody) at dilution of 1:500
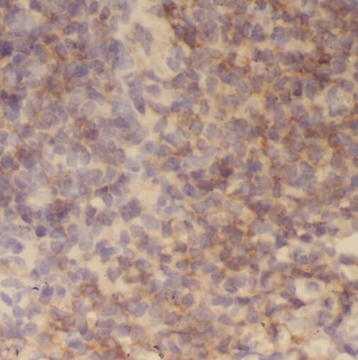
TMCO6 Antibody - BSA Free

Immunohistochemistry: TMCO6 Antibody - BSA Free [NBP3-45227] -

Immunohistochemistry: TMCO6 Antibody - BSA Free [NBP3-45227] - Immunohistochemistry of paraffin-embedded human spleen using (TMCO6 antibody) at dilution of 1:100

Applications for TMCO6 Antibody - BSA Free

Application
Recommended Usage

Immunohistochemistry

1:20-1:200

Western Blot

1:500-1:2000
Application Notes
Theoretical Molecular Weight is 50-54 kDa

Formulation, Preparation, and Storage

Purification

Immunogen affinity purified

Formulation

PBS, 50% Glycerol, pH (7.3)

Format

BSA Free

Preservative

0.02% Sodium Azide

Concentration

Please see the vial label for concentration. If unlisted please contact technical services.

Shipping

The product is shipped with polar packs. Upon receipt, store it immediately at the temperature recommended below.

Stability & Storage

Store at -20C. Avoid freeze-thaw cycles.

Background: TMCO6

Alternate Names

FLJ39769, PRO1580, transmembrane and coiled-coil domain-containing protein 6, transmembrane and coiled-coil domains 6

Gene Symbol

TMCO6

Additional TMCO6 Products

Product Documents for TMCO6 Antibody - BSA Free

Certificate of Analysis

To download a Certificate of Analysis, please enter a lot number in the search box below.

Product Specific Notices for TMCO6 Antibody - BSA Free

This product is for research use only and is not approved for use in humans or in clinical diagnosis. Primary Antibodies are guaranteed for 1 year from date of receipt.

Loading...
Loading...
Loading...
Loading...